Suppr超能文献

对模式海葵星状海葵产卵后性腺区域的成熟、受精及状态的组织学研究。

Histological study on maturation, fertilization and the state of gonadal region following spawning in the model sea anemone, Nematostella vectensis.

作者信息

Moiseeva Elizabeth, Rabinowitz Claudette, Paz Guy, Rinkevich Baruch

机构信息

Israel Oceanography and Limnological Research, National Institute of Oceanography, Tel-Shikmona, Haifa, Israel.

出版信息

PLoS One. 2017 Aug 10;12(8):e0182677. doi: 10.1371/journal.pone.0182677. eCollection 2017.

Abstract

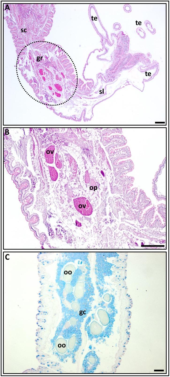
The starlet sea-anemone Nematostella vectensis has emerged as a model organism in developmental biology. Still, our understanding of various biological features, including reproductive biology of this model species are in its infancy. Consequently, through histological sections, we study here key stages of the oogenesis (oocyte maturation/fertilization), as the state of the gonad region immediately after natural spawning. Germ cells develop in a secluded mesenterial gastrodermal zone, where the developing oocytes are surrounded by mucoid glandular cells and trophocytes (accessory cells). During vitellogenesis, the germinal vesicle in oocytes migrates towards the animal pole and the large polarized oocytes begin to mature, characterized by karyosphere formation. Then, the karyosphere breaks down, the chromosomes form the metaphase plate I and the eggs are extruded from the animal enclosed in a sticky, jelly-like mucoid mass, along with numerous nematosomes. Fertilization occurs externally at metaphase II via swimming sperm extruded by males during natural spawning. The polar bodies are ejected from the eggs and are situated within a narrow space between the egg's vitelline membrane and the adjacent edge of the jelly coat. The cortical reaction occurs only at the polar bodies' ejection site. Several spermatozoa can penetrate the same egg. Fertilization is accompanied by a strong ooplasmatic segregation. Immediately after spawning, the gonad region holds many previtellogenic and vitellogenic oocytes, though no oocytes with karyosphere. Above are the first histological descriptions for egg maturation, meiotic chromosome's status at fertilization, fertilization and the gonadal region's state following spawning, also documenting for the first time the ejection of the polar body.

摘要

星状海葵(Nematostella vectensis)已成为发育生物学中的一种模式生物。然而,我们对包括该模式物种生殖生物学在内的各种生物学特征的了解仍处于起步阶段。因此,我们通过组织切片研究了卵子发生(卵母细胞成熟/受精)的关键阶段,即自然产卵后性腺区域的状态。生殖细胞在一个隐蔽的肠系膜胃皮层区域发育,发育中的卵母细胞被黏液腺细胞和滋养细胞(辅助细胞)包围。在卵黄发生过程中,卵母细胞中的生发泡向动物极迁移,大的极化卵母细胞开始成熟,其特征是形成核球。然后,核球解体,染色体形成中期板I,卵子从动物极挤出,包裹在粘性的、果冻状的黏液团中,同时还有许多线虫小体。受精在自然产卵时由雄性挤出的游动精子在中期II外部发生。极体从卵子中排出,位于卵子卵黄膜和果冻层相邻边缘之间的狭窄空间内。皮质反应仅发生在极体排出部位。几个精子可以穿透同一个卵子。受精伴随着强烈的卵质分离。产卵后,性腺区域有许多卵黄发生前和卵黄发生期的卵母细胞,但没有带有核球的卵母细胞。以上是对卵子成熟、受精时减数分裂染色体状态、受精以及产卵后性腺区域状态的首次组织学描述,同时也首次记录了极体的排出。

https://cdn.ncbi.nlm.nih.gov/pmc/blobs/8a80/5552035/809aab4c7ea5/pone.0182677.g001.jpg

文献AI研究员

20分钟写一篇综述,助力文献阅读效率提升50倍。

立即体验

用中文搜PubMed

大模型驱动的PubMed中文搜索引擎

马上搜索

文档翻译

学术文献翻译模型,支持多种主流文档格式。

立即体验