Suppr超能文献

通过直接16S核糖体核糖核酸测序和基质辅助激光解吸/电离飞行时间质谱法诊断异基因造血细胞移植受者的肺外军团菌病

Diagnosis of Extrapulmonary Legionellosis in Allogeneic Hematopoietic Cell Transplant Recipients by Direct 16S Ribosomal Ribonucleic Acid Sequencing and Matrix-Assisted Laser Desorption/Ionization Time-of-Flight Mass Spectrometry.

作者信息

Franco-Garcia Alexandra, Varughese Tilly A, Lee Yeon Joo, Papanicolaou Genovefa, Rosenblum Marc K, Hollmann Travis J, Koehne Guenther, Boulad Farid, Babady N Esther, Tang Yi-Wei, Seo Susan K

机构信息

Infectious Diseases Service, Department of Medicine.

Department of Pathology.

出版信息

Open Forum Infect Dis. 2017 Jul 13;4(3):ofx140. doi: 10.1093/ofid/ofx140. eCollection 2017 Summer.

Abstract

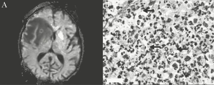
Identifying extrapulmonary legionellosis is difficult due to the lack of clinical suspicion and limitations of conventional microbiologic methods. We present a case series of hematopoietic cell transplant recipients with extrapulmonary legionellosis diagnosed via molecular diagnostics: 16S ribosomal ribonucleic acid gene Sanger sequencing and matrix-assisted laser desorption/ionization time-of-flight mass spectrometry.

摘要

由于缺乏临床怀疑以及传统微生物学方法的局限性,肺外军团菌病的诊断较为困难。我们报告了一系列通过分子诊断确诊为肺外军团菌病的造血细胞移植受者病例:16S核糖体核糖核酸基因桑格测序和基质辅助激光解吸/电离飞行时间质谱分析。

https://cdn.ncbi.nlm.nih.gov/pmc/blobs/ddf2/5570015/547f6895fffa/ofx14001.jpg

文献检索

告别复杂PubMed语法,用中文像聊天一样搜索,搜遍4000万医学文献。AI智能推荐,让科研检索更轻松。

立即免费搜索

文件翻译

保留排版,准确专业,支持PDF/Word/PPT等文件格式,支持 12+语言互译。

免费翻译文档

深度研究

AI帮你快速写综述,25分钟生成高质量综述,智能提取关键信息,辅助科研写作。

立即免费体验