• 文献检索
  • 文档翻译
  • 深度研究
  • 学术资讯
  • Suppr Zotero 插件Zotero 插件
  • 邀请有礼
  • 套餐&价格
  • 历史记录
应用&插件
Suppr Zotero 插件Zotero 插件浏览器插件Mac 客户端Windows 客户端微信小程序
定价
高级版会员购买积分包购买API积分包
服务
文献检索文档翻译深度研究API 文档MCP 服务
关于我们
关于 Suppr公司介绍联系我们用户协议隐私条款
关注我们

Suppr 超能文献

核心技术专利:CN118964589B侵权必究
粤ICP备2023148730 号-1Suppr @ 2026

文献检索

告别复杂PubMed语法,用中文像聊天一样搜索,搜遍4000万医学文献。AI智能推荐,让科研检索更轻松。

立即免费搜索

文件翻译

保留排版,准确专业,支持PDF/Word/PPT等文件格式,支持 12+语言互译。

免费翻译文档

深度研究

AI帮你快速写综述,25分钟生成高质量综述,智能提取关键信息,辅助科研写作。

立即免费体验

免疫功能正常患者的肺诺卡菌病:附2例报告

[Pulmonary nocardiosis in immunocompetent patients: about 2 cases].

作者信息

Rhofir Yasmina, Zahraoui Rachida, Tiress Nabil, Naji-Amrani Hicham, Soualhi Mouna, Bourkadi Jamal Eddine

机构信息

Service de Pneumo-Phtisiologie, Hôpital Moulay Youssef, Rabat, Maroc.

Service de Pneumo-Phtisiologie, Hôpital Militaire d'Instruction Mohamed V, Rabat, Maroc.

出版信息

Pan Afr Med J. 2017 Jun 29;27:149. doi: 10.11604/pamj.2017.27.149.12862. eCollection 2017.

DOI:10.11604/pamj.2017.27.149.12862
PMID:28904677
原文链接:https://pmc.ncbi.nlm.nih.gov/articles/PMC5567944/
Abstract

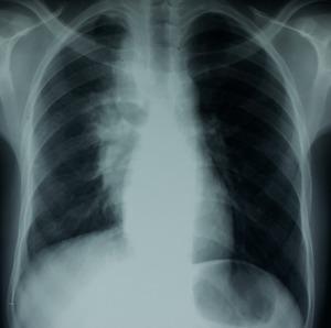
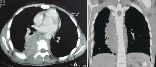
Nocardiosis is a rare but severe infection caused by bacteria of the genus nocardia, which belong to the order actinomycetales. If they can affect immunocompetent adult, nocardioses are pathologies affecting the individuals with weakened immune system. Pulmonary involvement is the most common manifestation, its correct management is based on diagnosis, which is often delayed due to non-specific symptoms and inconclusive specimens. We here report two cases of nocardiosis in immunocompetent patients. The first case concerns a 24-year old man with a history of smoking and alcoholism, hospitalized for chest pain and hemoptysis of low abundance evolving for two months, associated with the occurrence of dorsal subcutaneous fistulized abscess. Radiological assessment showed right mediastino-pulmonary tissue mass associated with adjacent costal lysis and dissemination in rights paravertebral tissues. Bacteriological sampling remained negative motivating ultrasound-guided biopsy of the lesion, which confirmed the diagnosis of nocardia infection. The second case concerns a 22-year old man with a history of pleural tuberculosis treated 8 years ago and of relapse of tuberculosis in 2011 (mediastinal abscess). He was admitted to hospital due to suspicion of relapse of tuberculosis based on chronic cough with alteration of general state and hepatosplenomegaly. Chest CT scan showed alveolar condensations with pleurisy. During his hospitalization, purulent subcutaneous swellings occurred. Bacteriological analysis of the pus confirmed the diagnosis of nocardiosis. Nocardia strains were resistant to all antibiotics except for colistin and bactrim. This study aims to highlight the clinical and radiological aspects of pulmonary nocardiosis, focusing on diagnostic and therapeutic difficulties especially in a country with a high prevalence of tuberculosis and a very low incidence of nocardiosis.

摘要

诺卡菌病是一种由诺卡菌属细菌引起的罕见但严重的感染,诺卡菌属属于放线菌目。如果诺卡菌病能够影响免疫功能正常的成年人,那么它通常是影响免疫系统较弱个体的疾病。肺部受累是最常见的表现形式,其正确的治疗基于诊断,但由于症状不具特异性且标本检查结果不明确,诊断往往会延迟。我们在此报告两例免疫功能正常患者的诺卡菌病病例。第一例是一名24岁有吸烟和酗酒史的男性,因胸痛和少量咯血持续两个月入院,伴有背部皮下瘘管性脓肿。影像学评估显示右纵隔-肺组织肿块,伴有相邻肋骨溶解及右侧椎旁组织播散。细菌学采样结果为阴性,于是对病变进行超声引导下活检,确诊为诺卡菌感染。第二例是一名22岁男性,8年前有胸膜结核病史,2011年有结核病复发(纵隔脓肿)。因基于慢性咳嗽、全身状况改变及肝脾肿大怀疑结核病复发而入院。胸部CT扫描显示有肺泡实变伴胸膜炎。住院期间出现了脓性皮下肿胀。脓液细菌学分析确诊为诺卡菌病。诺卡菌菌株对除黏菌素和复方新诺明外的所有抗生素均耐药。本研究旨在突出肺部诺卡菌病的临床和影像学特征,重点关注诊断和治疗方面的困难,尤其是在结核病高发且诺卡菌病发病率极低的国家。

https://cdn.ncbi.nlm.nih.gov/pmc/blobs/d2a5/5567944/8c82ab8a4c2f/PAMJ-27-149-g005.jpg
https://cdn.ncbi.nlm.nih.gov/pmc/blobs/d2a5/5567944/1bfe5f002d9f/PAMJ-27-149-g001.jpg
https://cdn.ncbi.nlm.nih.gov/pmc/blobs/d2a5/5567944/b1cea4232147/PAMJ-27-149-g002.jpg
https://cdn.ncbi.nlm.nih.gov/pmc/blobs/d2a5/5567944/8e73330de1d0/PAMJ-27-149-g003.jpg
https://cdn.ncbi.nlm.nih.gov/pmc/blobs/d2a5/5567944/56fc83007397/PAMJ-27-149-g004.jpg
https://cdn.ncbi.nlm.nih.gov/pmc/blobs/d2a5/5567944/8c82ab8a4c2f/PAMJ-27-149-g005.jpg
https://cdn.ncbi.nlm.nih.gov/pmc/blobs/d2a5/5567944/1bfe5f002d9f/PAMJ-27-149-g001.jpg
https://cdn.ncbi.nlm.nih.gov/pmc/blobs/d2a5/5567944/b1cea4232147/PAMJ-27-149-g002.jpg
https://cdn.ncbi.nlm.nih.gov/pmc/blobs/d2a5/5567944/8e73330de1d0/PAMJ-27-149-g003.jpg
https://cdn.ncbi.nlm.nih.gov/pmc/blobs/d2a5/5567944/56fc83007397/PAMJ-27-149-g004.jpg
https://cdn.ncbi.nlm.nih.gov/pmc/blobs/d2a5/5567944/8c82ab8a4c2f/PAMJ-27-149-g005.jpg

相似文献

1
[Pulmonary nocardiosis in immunocompetent patients: about 2 cases].免疫功能正常患者的肺诺卡菌病:附2例报告
Pan Afr Med J. 2017 Jun 29;27:149. doi: 10.11604/pamj.2017.27.149.12862. eCollection 2017.
2
Case report: pulmonary nocardiosis caused by Nocardia exalbida in an immunocompetent patient.病例报告:免疫功能正常患者由嗜沫诺卡菌引起的肺部奴卡菌病。
BMC Infect Dis. 2021 Aug 9;21(1):776. doi: 10.1186/s12879-021-06416-w.
3
Endobronchial pulmonary nocardiosis.支气管内肺诺卡菌病
Mt Sinai J Med. 2006 May;73(3):617-9.
4
Fulminant Nocardiosis Due to a Multidrug-Resistant Isolate in a 12-Year-Old Immunocompetent Child.12 岁免疫功能正常儿童感染多重耐药诺卡菌致暴发性诺卡菌病
Pediatrics. 2018 Feb;141(2). doi: 10.1542/peds.2016-3131.
5
A case of an immunocompetent young man obtaining community-acquired disseminated Nocardia brasiliensis.一例免疫功能正常的年轻男性获得社区获得性播散性巴西奴卡菌病。
Heart Lung. 2014 Mar-Apr;43(2):164-7. doi: 10.1016/j.hrtlng.2013.12.002.
6
[Thoracic nocardiosis with thoracic manifestations in two immunocompetent patients].[两名免疫功能正常患者出现胸部表现的胸诺卡菌病]
Harefuah. 2013 Dec;152(12):716-7, 752.
7
Mild Pulmonary Nocardiosis Caused by Nocardia terpenica in an Immunocompetent Patient.免疫功能正常患者感染棒状诺卡菌引起的轻度肺部诺卡菌病。
Intern Med. 2023 Oct 1;62(19):2911-2917. doi: 10.2169/internalmedicine.9740-22. Epub 2023 Feb 15.
8
Pulmonary nocardiosis--a rare case of pulmonary nocardiosis in an immunocompetent patient.肺诺卡菌病——一例免疫功能正常患者患肺诺卡菌病的罕见病例。
J Indian Med Assoc. 2013 Mar;111(3):194-5, 197.
9
[Clinical analysis of 26 cases of nocardiosis].26例诺卡菌病临床分析
Zhonghua Jie He He Hu Xi Za Zhi. 2010 Sep;33(9):651-5.
10
[Disseminated nocardiosis in 3 immunocompetent patients].[3例免疫功能正常患者的播散性诺卡菌病]
Rev Med Chil. 1995 Oct;123(10):1263-9.

本文引用的文献

1
[Nocardiosis: A retrospective case series of 19 patients].[诺卡菌病:19例患者的回顾性病例系列]
Rev Med Interne. 2017 Feb;38(2):81-89. doi: 10.1016/j.revmed.2016.08.015. Epub 2016 Sep 19.
2
[Empyema by Nocardia asteroides].[星形诺卡菌所致脓胸]
Pan Afr Med J. 2014 Aug 28;18:346. doi: 10.11604/pamj.2014.18.346.5132. eCollection 2014.
3
Differentiation between Nocardia spp. and Mycobacterium spp.: Critical aspects for bacteriological diagnosis.诺卡菌属与分枝杆菌属的鉴别:细菌学诊断的关键要点
Rev Inst Med Trop Sao Paulo. 2014 Sep-Oct;56(5):397-401. doi: 10.1590/s0036-46652014000500005.
4
Pulmonary nocardiosis: a clinical analysis of 59 cases.肺诺卡菌病:59例临床分析
Respir Investig. 2014 May;52(3):160-6. doi: 10.1016/j.resinv.2013.09.004. Epub 2013 Nov 7.
5
[Pulmonary nocardiosis and sarcoidosis].[肺诺卡菌病与结节病]
Rev Pneumol Clin. 2013 Jun;69(3):139-43. doi: 10.1016/j.pneumo.2012.12.001. Epub 2013 Feb 21.
6
[Nocardial pulmonary infection].诺卡菌性肺部感染
Rev Mal Respir. 2007 Mar;24(3 Pt 1):353-7. doi: 10.1016/s0761-8425(07)91069-4.
7
Nocardiosis in Srinagarind Hospital, Thailand: review of 70 cases from 1996-2001.泰国诗里拉吉医院的诺卡菌病:1996年至2001年70例病例回顾
Int J Infect Dis. 2005 May;9(3):154-8. doi: 10.1016/j.ijid.2004.06.011.