Suppr超能文献

一个在胎儿和肿瘤细胞中表达增强的人类核糖体蛋白基因的克隆与特性分析

Cloning and characterization of a human ribosomal protein gene with enhanced expression in fetal and neoplastic cells.

作者信息

Ou J H, Yen T S, Wang Y F, Kam W K, Rutter W J

机构信息

Hormone Research Institute, University of California, San Francisco 94143.

出版信息

Nucleic Acids Res. 1987 Nov 11;15(21):8919-34. doi: 10.1093/nar/15.21.8919.

Abstract

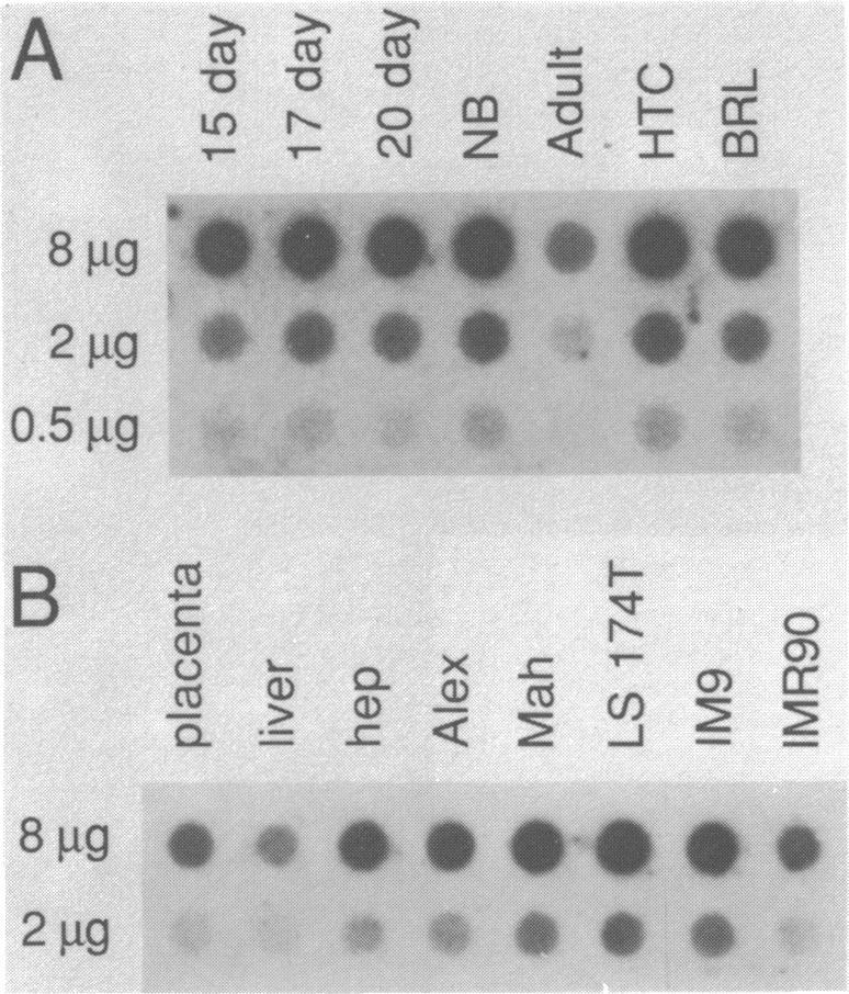
Hepatocellular carcinoma is strongly associated with hepatitis B virus carrier patients who usually have HBV sequences integrated in the chromosomal DNA of liver cells. To assess the possible effects of HBV regulatory sequences (e.g., the enhancer) on expression of neighboring host genes we have screened for cellular genes that are both overexpressed and adjacent to integrated HBV sequences in hepatocellular carcinoma cells. The cloned cDNA for one such gene encodes a protein similar to the E. coli L-3 ribosomal protein which is thought to play a role in mRNA binding to the ribosome. The protein encoded by the cDNA localizes to the nucleolus and is also found in ribosomes; possibly it is the mammalian homologue of L-3 (MRL3). The expression of MRL3 is higher in colon carcinoma and lymphoma cell lines than in normal liver, placenta and diploid fibroblasts, and is also higher in fetal than in adult liver. Therefore, MRL3 overexpression seems to be a property of rapidly dividing cells and is not directly linked to oncogenesis.

摘要

肝细胞癌与乙型肝炎病毒携带者密切相关,这些携带者的肝细胞染色体DNA中通常整合有乙肝病毒序列。为了评估乙肝病毒调控序列(如增强子)对邻近宿主基因表达的可能影响,我们筛选了在肝癌细胞中既过度表达又与整合的乙肝病毒序列相邻的细胞基因。一个此类基因的克隆cDNA编码一种类似于大肠杆菌L-3核糖体蛋白的蛋白质,该蛋白被认为在mRNA与核糖体的结合中起作用。cDNA编码的蛋白质定位于核仁,也存在于核糖体中;它可能是L-3的哺乳动物同源物(MRL3)。MRL3在结肠癌细胞系和淋巴瘤细胞系中的表达高于正常肝脏、胎盘和二倍体成纤维细胞,在胎儿肝脏中的表达也高于成人肝脏。因此,MRL3的过度表达似乎是快速分裂细胞的一个特性,与肿瘤发生没有直接联系。

https://cdn.ncbi.nlm.nih.gov/pmc/blobs/4f77/306413/a23751bbbf8c/nar00265-0348-a.jpg

文献检索

告别复杂PubMed语法,用中文像聊天一样搜索,搜遍4000万医学文献。AI智能推荐,让科研检索更轻松。

立即免费搜索

文件翻译

保留排版,准确专业,支持PDF/Word/PPT等文件格式,支持 12+语言互译。

免费翻译文档

深度研究

AI帮你快速写综述,25分钟生成高质量综述,智能提取关键信息,辅助科研写作。

立即免费体验