Molecular Laboratory for Gene Therapy and Tooth Regeneration, Beijing Key Laboratory of Tooth Regeneration and Function Reconstruction, Capital Medical University School of Stomatology, Beijing, China.
Department of Oral and Maxillofacial Surgery, Xiangya Hospital, Central South University, Changsha, China.
Int J Biol Sci. 2017 Sep 3;13(8):1082-1091. doi: 10.7150/ijbs.20905. eCollection 2017.
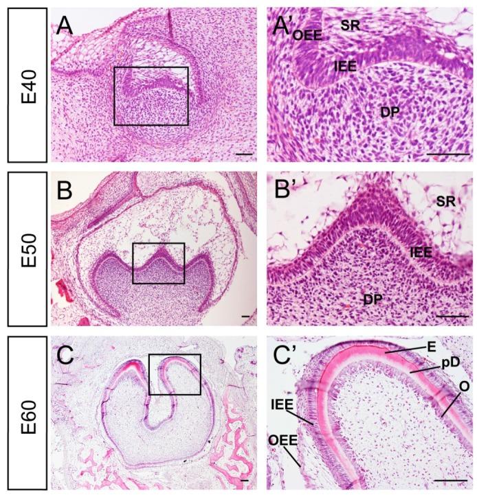
The canonical Wnt/β-catenin signaling pathway has been shown to play essential roles in tooth initiation and early tooth development. However, the role of Wnt/β-catenin signaling in cusp patterning and crown calcification in large mammals are largely unknown. In our previous study, miniature pigs were used as the animal model due to the similarity of tooth anatomy and replacement pattern between miniature pig and human. Dynamic gene expression of third deciduous molar (DM3) in miniature pig at early stages was profiled using microarray method and expression of Wnt genes was significantly correlate with odontogenesis. In the present study, dynamic expression patterns of Wnt/β-catenin signaling genes of DM3 at cap, early bell and late bell (secretory) stage were identified. We found that and were expressed in the enamel knot and underlying mesenchyme regions. Meanwhile, was expressed in the peripheral and lower parts of dental papilla, thus forming the potential Wnt signaling gradient. We also found that , and were expressed strongly in undifferentiated cells of the inner enamel epithelium (IEE), but weakly in differentiated ameloblasts. Furthermore, we found that both Wnt signaling read-out gene and the inhibitor were co-expressed in the pre-odontoblasts. In conclusion, the spatiotemporal distribution and potential gradient of Wnt signaling may contribute to cusp patterning and crown calcification. These data may yield insight into future study of precise control of crown morphogenesis and regeneration in large mammals.
经典的 Wnt/β-连环蛋白信号通路已被证明在牙齿起始和早期牙齿发育中发挥重要作用。然而,Wnt/β-连环蛋白信号在大型哺乳动物的牙尖模式形成和牙冠钙化中的作用在很大程度上尚不清楚。在我们之前的研究中,由于小型猪和人类的牙齿解剖结构和替换模式相似,因此将小型猪用作动物模型。使用微阵列方法对小型猪第三恒磨牙(DM3)早期阶段的动态基因表达进行了分析,结果表明 Wnt 基因的表达与牙发生显著相关。在本研究中,鉴定了 DM3 帽状、早期钟状和晚期钟状(分泌期)阶段 Wnt/β-连环蛋白信号基因的动态表达模式。我们发现和在釉结和其下方的间充质区域表达。同时,在牙乳头的外周和下部表达,从而形成潜在的 Wnt 信号梯度。我们还发现、和在未分化的内釉上皮细胞(IEE)中强烈表达,但在分化的成釉细胞中弱表达。此外,我们发现 Wnt 信号读取基因和抑制剂都在内釉成牙本质细胞中共同表达。总之,Wnt 信号的时空分布和潜在梯度可能有助于牙尖模式形成和牙冠钙化。这些数据可能为未来研究大型哺乳动物牙冠形态发生和再生的精确控制提供启示。