Suppr超能文献

PERK信号调节的蛋白质翻译促进登革2型病毒感染的蚊细胞的生存能力并延长病毒复制。

PERK Signal-Modulated Protein Translation Promotes the Survivability of Dengue 2 Virus-Infected Mosquito Cells and Extends Viral Replication.

作者信息

Hou Jiun-Nan, Chen Tien-Huang, Chiang Yi-Hsuan, Peng Jing-Yun, Yang Tsong-Han, Cheng Chih-Chieh, Sofiyatun Eny, Chiu Cheng-Hsun, Chiang-Ni Chuan, Chen Wei-June

机构信息

Graduate Institute of Biomedical Sciences, Chang Gung University, Kwei-San, Tao-Yuan 33332, Taiwan.

Department of Public Health and Parasitology, Chang Gung University, Kwei-San, Tao-Yuan 33332, Taiwan.

出版信息

Viruses. 2017 Sep 20;9(9):262. doi: 10.3390/v9090262.

Abstract

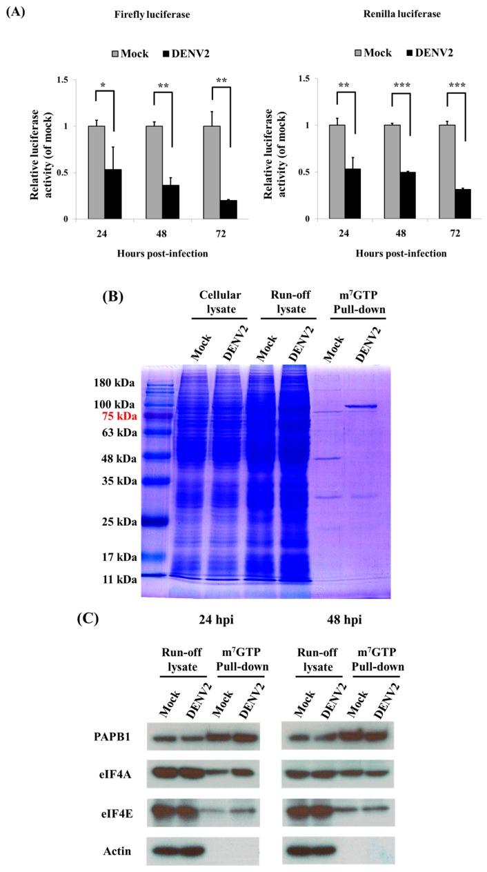
Survival of mosquitoes from dengue virus (DENV) infection is a prerequisite of viral transmission to the host. This study aimed to see how mosquito cells can survive the infection during prosperous replication of the virus. In C6/36 cells, global protein translation was shut down after infection by DENV type 2 (DENV2). However, it returned to a normal level when infected cells were treated with an inhibitor of the protein kinase RNA (PKR)-like ER kinase (PERK) signaling pathway. Based on a 7-Methylguanosine 5'-triphosphate (m7GTP) pull-down assay, the eukaryotic translation initiation factor 4F (eIF4F) complex was also identified in DENV2-infected cells. This suggests that most mosquito proteins are synthesized via canonical cap-dependent translation. When the PERK signal pathway was inhibited, both accumulation of reactive oxygen species and changes in the mitochondrial membrane potential increased. This suggested that ER stress response was alleviated through the PERK-mediated shutdown of global proteins in DENV2-infected C6/36 cells. In the meantime, the activities of caspases-9 and -3 and the apoptosis-related cell death rate increased in C6/36 cells with PERK inhibition. This reflected that the PERK-signaling pathway is involved in determining cell survival, presumably by reducing DENV2-induced ER stress. Looking at the PERK downstream target, α-subunit of eukaryotic initiation factor 2 (eIF2α), an increased phosphorylation status was only shown in infected C6/36 cells. This indicated that recruitment of ribosome binding to the mRNA 5'-cap structure could have been impaired in cap-dependent translation. It turned out that shutdown of cellular protein translation resulted in a pro-survival effect on mosquito cells in response to DENV2 infection. As synthesis of viral proteins was not affected by the PERK signal pathway, an alternate mode other than cap-dependent translation may be utilized. This finding provides insights into elucidating how the PERK signal pathway modulates dynamic translation of proteins and helps mosquito cells survive continuous replication of the DENV2. It was ecologically important for virus amplification in mosquitoes and transmission to humans.

摘要

登革病毒(DENV)感染的蚊子存活是病毒传播给宿主的前提条件。本研究旨在观察蚊子细胞在病毒大量复制期间如何在感染中存活。在C6/36细胞中,2型登革病毒(DENV2)感染后整体蛋白质翻译被关闭。然而,当用蛋白激酶RNA(PKR)样内质网激酶(PERK)信号通路抑制剂处理感染细胞时,其恢复到正常水平。基于7-甲基鸟苷5'-三磷酸(m7GTP)下拉分析,在DENV2感染的细胞中也鉴定出真核翻译起始因子4F(eIF4F)复合物。这表明大多数蚊子蛋白质是通过典型的帽依赖性翻译合成的。当PERK信号通路被抑制时,活性氧的积累和线粒体膜电位的变化都增加了。这表明通过PERK介导的DENV2感染的C6/36细胞中整体蛋白质关闭,内质网应激反应得到缓解。与此同时,在PERK抑制的C6/36细胞中,半胱天冬酶-9和-3的活性以及凋亡相关的细胞死亡率增加。这反映出PERK信号通路可能通过减轻DENV2诱导的内质网应激参与决定细胞存活。观察PERK下游靶点真核起始因子2(eIF2α)的α亚基,仅在感染的C6/36细胞中显示出磷酸化状态增加。这表明在帽依赖性翻译中核糖体与mRNA 5'-帽结构的结合可能受到损害。结果表明,细胞蛋白质翻译的关闭对DENV2感染的蚊子细胞产生了促存活作用。由于病毒蛋白的合成不受PERK信号通路的影响,可能利用了帽依赖性翻译以外的另一种模式。这一发现为阐明PERK信号通路如何调节蛋白质的动态翻译以及帮助蚊子细胞在DENV2的持续复制中存活提供了见解。这对蚊子体内病毒的扩增和传播给人类具有重要的生态学意义。

https://cdn.ncbi.nlm.nih.gov/pmc/blobs/9b78/5618028/5749d06a60b0/viruses-09-00262-g001a.jpg

文献AI研究员

20分钟写一篇综述,助力文献阅读效率提升50倍。

立即体验

用中文搜PubMed

大模型驱动的PubMed中文搜索引擎

马上搜索

文档翻译

学术文献翻译模型,支持多种主流文档格式。

立即体验