Suppr超能文献

2型糖尿病患者牙龈上皮和颊黏膜细胞的细胞形态计量分析

Cytomorphometric analysis of gingival epithelium and buccal mucosa cells in type 2 diabetes mellitus patients.

作者信息

Sahu Manisha, Suryawanshi Hema, Nayak Sushruth, Kumar Pramod

机构信息

Department of Oral Pathology and Microbiology, Chhattisgarh Dental College and Research Institute, Rajnandgaon, Chhattisgarh, India.

Department of Oral Pathology and Microbiology, MM College of Dental Science and Research, Mullana, Ambala, Haryana, India.

出版信息

J Oral Maxillofac Pathol. 2017 May-Aug;21(2):224-228. doi: 10.4103/jomfp.JOMFP_152_16.

Abstract

BACKGROUND

The global prevalence of type 2 diabetes continues to rise. Interest has been increasing recently in noninvasive diagnostic procedure. Hence, an attempt has been made by the present study to analyze the changes in cytomorphometry in exfoliated buccal and gingival mucosa cells in type 2 diabetic patients.

AIM

The aim of this study was to analyze the cytomorphometric changes in exfoliated cells of gingiva and buccal mucosa as an adjunct to diagnosis of diabetes.

MATERIALS AND METHODS

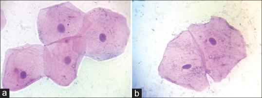
In the present study, fifty known type 2 diabetic patients were taken as study group, and the control group was comprised of fifty healthy individuals. Smear was prepared from buccal mucosa and gingival epithelium of both study and control groups and was stained by rapid Papanicolaou (Pap) stain. Stained smears were subjected to cytomorphometric analysis using Lynx Biolux (Lawrence and Mayo) image analysis software. In each Pap smear, 100 cells were evaluated for nuclear area (NA), cytoplasmic area (CA) and cytoplasm to nuclear ratio (CNR).

RESULTS

Mean NA was significantly higher ( < 0.05) in study group whereas mean CA did not exhibit any statistically significant difference ( > 0.05). The mean CNR was significantly lower in the study group ( < 0.05).

CONCLUSION

This study contributes to the general understanding of the alterations in the cellular pattern of buccal and gingival mucosa cells in diabetic patients and can be used as an additional tool to aid in the evaluation of oral mucosal alterations in diabetes mellitus.

摘要

背景

2型糖尿病的全球患病率持续上升。近年来,人们对非侵入性诊断程序的兴趣日益增加。因此,本研究试图分析2型糖尿病患者颊部和牙龈黏膜脱落细胞的细胞形态计量学变化。

目的

本研究的目的是分析牙龈和颊黏膜脱落细胞的细胞形态计量学变化,作为糖尿病诊断的辅助手段。

材料与方法

在本研究中,将50名已知的2型糖尿病患者作为研究组,对照组由50名健康个体组成。从研究组和对照组的颊黏膜和牙龈上皮制备涂片,并用快速巴氏(Pap)染色法染色。使用Lynx Biolux(劳伦斯和梅奥)图像分析软件对染色涂片进行细胞形态计量学分析。在每张巴氏涂片中,对100个细胞进行核面积(NA)、细胞质面积(CA)和细胞质与核比率(CNR)的评估。

结果

研究组的平均NA显著更高(<0.05),而平均CA没有表现出任何统计学上的显著差异(>0.05)。研究组的平均CNR显著更低(<0.05)。

结论

本研究有助于对糖尿病患者颊部和牙龈黏膜细胞模式改变的总体理解,并可作为辅助评估糖尿病口腔黏膜改变的额外工具。

https://cdn.ncbi.nlm.nih.gov/pmc/blobs/6e78/5596672/5a56ab9851a9/JOMFP-21-224-g001.jpg

相似文献

1
Cytomorphometric analysis of gingival epithelium and buccal mucosa cells in type 2 diabetes mellitus patients.
J Oral Maxillofac Pathol. 2017 May-Aug;21(2):224-228. doi: 10.4103/jomfp.JOMFP_152_16.
2
Exfoliative cytology of buccal squames: A quantitative cytomorphometric analysis of patients with diabetes.
J Int Soc Prev Community Dent. 2014 Sep;4(3):182-7. doi: 10.4103/2231-0762.142024.
4
Cytomorphometric Analysis of Exfoliated Buccal Mucosal Cells and DNA Repair Proficiency in Peripheral Lymphocytes in Type 1 Diabetes Mellitus.
J Pharm Bioallied Sci. 2023 Jul;15(Suppl 1):S529-S534. doi: 10.4103/jpbs.jpbs_636_22. Epub 2023 Jul 5.
7
Comparative Evaluation of Buccal Exfoliated Cells in Individuals with Diabetes Mellitus and Healthy Controls: A Cytomorphometric Analysis.
J Microsc Ultrastruct. 2023 Mar 22;11(3):185-189. doi: 10.4103/jmau.jmau_82_22. eCollection 2023 Jul-Sep.
9
Cytological and Cytomorphometric Study of Exfoliated Cells of the Oral Mucosa in Diabetic Patients.
J Pharm Bioallied Sci. 2020 Aug;12(Suppl 1):S86-S90. doi: 10.4103/jpbs.JPBS_32_20. Epub 2020 Aug 28.

引用本文的文献

1
Estimation of Candida, Glycogen Content and Cytomorphometric Analysis of Oral Exfoliated Cells in Diabetes Mellitus - A Prospective Case Control Study.
Indian J Otolaryngol Head Neck Surg. 2025 Jul;77(7):2535-2542. doi: 10.1007/s12070-025-05550-0. Epub 2025 May 22.
2
Cytomorphometric Analysis of Exfoliated Buccal Mucosal Cells and DNA Repair Proficiency in Peripheral Lymphocytes in Type 1 Diabetes Mellitus.
J Pharm Bioallied Sci. 2023 Jul;15(Suppl 1):S529-S534. doi: 10.4103/jpbs.jpbs_636_22. Epub 2023 Jul 5.
3
Cytomorphometric Assessment of Buccal Mucosa Cells and Blood Sugar Status in Diabetic Patients in Zahedan (2019).
Med J Islam Repub Iran. 2021 Dec 18;35:168. doi: 10.47176/mjiri.35.168. eCollection 2021.
5
Effect of glucose mediated oxidative stress on apoptotic gene expression in gingival mesenchymal stem cells.
BMC Oral Health. 2021 Dec 18;21(1):653. doi: 10.1186/s12903-021-02007-y.
6
Cytological and Cytomorphometric Study of Exfoliated Cells of the Oral Mucosa in Diabetic Patients.
J Pharm Bioallied Sci. 2020 Aug;12(Suppl 1):S86-S90. doi: 10.4103/jpbs.JPBS_32_20. Epub 2020 Aug 28.
7
Influence of Apelin-13 on osteoporosis in Type-2 diabetes mellitus: A clinical study.
Pak J Med Sci. 2018 Jan-Feb;34(1):159-163. doi: 10.12669/pjms.341.14135.

本文引用的文献

1
Oral Manifestations and Complications of Diabetes Mellitus: A review.
Sultan Qaboos Univ Med J. 2011 May;11(2):179-86. Epub 2011 May 15.
5
Diabetes and oral health: an overview.
J Am Dent Assoc. 2003 Oct;134 Spec No:4S-10S. doi: 10.14219/jada.archive.2003.0367.
6
Diabetes mellitus: an emerging risk factor for oral cancer?
J Can Dent Assoc. 2007 Jul-Aug;73(6):501-3.
7
Applications of the oral scraped (exfoliative) cytology in oral cancer and precancer.
Med Oral Patol Oral Cir Bucal. 2005 Mar-Apr;10(2):95-102.
8
Exfoliative cytology of the oral mucosa in type II diabetic patients: morphology and cytomorphometry.
J Oral Pathol Med. 2003 Oct;32(9):538-43. doi: 10.1034/j.1600-0714.2003.00162.x.
9
Oral exfoliative cytology: review of methods of assessment.
J Oral Pathol Med. 1997 May;26(5):201-5. doi: 10.1111/j.1600-0714.1997.tb01224.x.

文献AI研究员

20分钟写一篇综述,助力文献阅读效率提升50倍。

立即体验

用中文搜PubMed

大模型驱动的PubMed中文搜索引擎

马上搜索

文档翻译

学术文献翻译模型,支持多种主流文档格式。

立即体验