• 文献检索
  • 文档翻译
  • 深度研究
  • 学术资讯
  • Suppr Zotero 插件Zotero 插件
  • 邀请有礼
  • 套餐&价格
  • 历史记录
应用&插件
Suppr Zotero 插件Zotero 插件浏览器插件Mac 客户端Windows 客户端微信小程序
定价
高级版会员购买积分包购买API积分包
服务
文献检索文档翻译深度研究API 文档MCP 服务
关于我们
关于 Suppr公司介绍联系我们用户协议隐私条款
关注我们

Suppr 超能文献

核心技术专利:CN118964589B侵权必究
粤ICP备2023148730 号-1Suppr @ 2026

文献检索

告别复杂PubMed语法,用中文像聊天一样搜索,搜遍4000万医学文献。AI智能推荐,让科研检索更轻松。

立即免费搜索

文件翻译

保留排版,准确专业,支持PDF/Word/PPT等文件格式,支持 12+语言互译。

免费翻译文档

深度研究

AI帮你快速写综述,25分钟生成高质量综述,智能提取关键信息,辅助科研写作。

立即免费体验

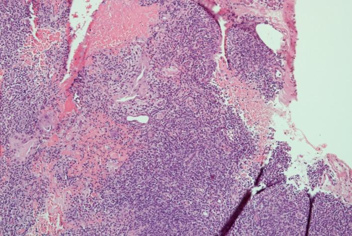
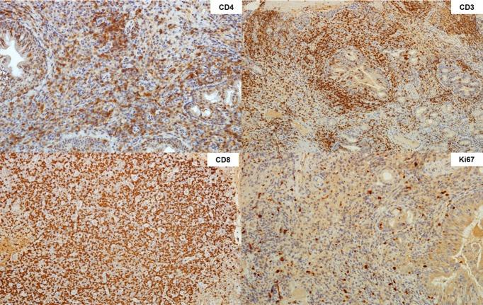
Mucosal leishmaniasis mimicking T-cell lymphoma in a patient receiving monoclonal antibody against TNFα.

作者信息

Nicodemo Antonio Carlos, Duailibi Daniel Fernandes, Feriani Diego, Duarte Maria Irma Seixas, Amato Valdir Sabbaga

机构信息

Department of Infectious Diseases, University of São Paulo Medical School, Sao Paulo, Brazil.

Department of Infectious and Parasitic Diseases, Clinical Hospital, University of São Paulo Medical School, Sao Paulo, Brazil.

出版信息

PLoS Negl Trop Dis. 2017 Sep 21;11(9):e0005807. doi: 10.1371/journal.pntd.0005807. eCollection 2017 Sep.

DOI:10.1371/journal.pntd.0005807
PMID:28934199
原文链接:https://pmc.ncbi.nlm.nih.gov/articles/PMC5608166/
Abstract
摘要
https://cdn.ncbi.nlm.nih.gov/pmc/blobs/ab3e/5608166/7fbe0892cf70/pntd.0005807.g002.jpg
https://cdn.ncbi.nlm.nih.gov/pmc/blobs/ab3e/5608166/3ef53fae3eea/pntd.0005807.g001.jpg
https://cdn.ncbi.nlm.nih.gov/pmc/blobs/ab3e/5608166/7fbe0892cf70/pntd.0005807.g002.jpg
https://cdn.ncbi.nlm.nih.gov/pmc/blobs/ab3e/5608166/3ef53fae3eea/pntd.0005807.g001.jpg
https://cdn.ncbi.nlm.nih.gov/pmc/blobs/ab3e/5608166/7fbe0892cf70/pntd.0005807.g002.jpg

相似文献

1
Mucosal leishmaniasis mimicking T-cell lymphoma in a patient receiving monoclonal antibody against TNFα.一名接受抗TNFα单克隆抗体治疗的患者出现类似T细胞淋巴瘤的黏膜利什曼病。
PLoS Negl Trop Dis. 2017 Sep 21;11(9):e0005807. doi: 10.1371/journal.pntd.0005807. eCollection 2017 Sep.
2
Invasive fungal infections in pediatric patients treated with tumor necrosis alpha (TNF-α) inhibitors.接受肿瘤坏死因子α(TNF-α)抑制剂治疗的儿科患者中的侵袭性真菌感染。
Mycoses. 2017 Apr;60(4):222-229. doi: 10.1111/myc.12576. Epub 2016 Oct 21.
3
Anti-tumor necrosis factor-alpha therapy provokes latent leishmaniasis in a patient with rheumatoid arthritis.抗肿瘤坏死因子-α治疗引发一名类风湿性关节炎患者的潜伏性利什曼病。
Ann Clin Lab Sci. 2009 Spring;39(2):192-5.
4
Efficacy and Safety of Liposomal Amphotericin B for the Treatment of Mucosal Leishmaniasis from the New World: A Retrospective Study.脂质体两性霉素 B 治疗新大陆黏膜利什曼病的疗效和安全性:一项回顾性研究。
Am J Trop Med Hyg. 2015 Dec;93(6):1214-8. doi: 10.4269/ajtmh.15-0033. Epub 2015 Oct 19.
5
Liposomal amphotericin B treatment of Old World cutaneous and mucosal leishmaniasis: A literature review.脂质体两性霉素B治疗旧世界皮肤和黏膜利什曼病:文献综述
Acta Trop. 2018 Jun;182:246-250. doi: 10.1016/j.actatropica.2018.03.016. Epub 2018 Mar 14.
6
Liposomal formulation of amphotericin B for the treatment of mucosal leishmaniasis in HIV-negative patients.脂质体制剂两性霉素 B 治疗 HIV 阴性患者的黏膜利什曼病。
Trans R Soc Trop Med Hyg. 2014 Mar;108(3):176-8. doi: 10.1093/trstmh/tru011.
7
Mucocutaneous leishmaniasis: mucosal manifestations in an endemic country.黏膜皮肤利什曼病:一个流行国家的黏膜表现
Int J Infect Dis. 2013 Nov;17(11):e1088-9. doi: 10.1016/j.ijid.2013.05.013. Epub 2013 Jul 16.
8
[Multifocal cutaneous leishmaniasis due to Leishmania infantum under adalimumab therapy].
Ann Dermatol Venereol. 2009 Nov;136(11):815-6. doi: 10.1016/j.annder.2009.05.008. Epub 2009 Oct 9.
9
A prolonged incubation period in zosteriform Leishmania panamensis.
Cutis. 2014 Feb;93(2):E5-6.
10
Atypical mucocutaneous involvement with Leishmania donovani.杜氏利什曼原虫的非典型皮肤黏膜受累情况。
Natl Med J India. 2012 May-Jun;25(3):148-50.

引用本文的文献

1
Visceral Leishmaniasis Following A+AVD Treatment in a Patient with Classical Hodgkin's Lymphoma: A Case Report and Review of the Literature.经典型霍奇金淋巴瘤患者接受A+AVD治疗后发生内脏利什曼病:一例报告并文献复习
J Clin Med. 2024 Sep 27;13(19):5756. doi: 10.3390/jcm13195756.
2
The BRCT Domain from the Homologue of the Oncogene PES1 in (LmjPES) Promotes Malignancy and Drug Resistance in Mammalian Cells.(LmjPES)同源物中的 BRCT 结构域促进哺乳动物细胞的恶性转化和耐药性。
Int J Mol Sci. 2022 Oct 30;23(21):13203. doi: 10.3390/ijms232113203.
3
Rhino-Orbital-Cerebral Mycosis and Extranodal Natural Killer or/and T-Cell Lymphoma, Nasal Type.

本文引用的文献

1
Deregulation of MicroRNAs in Gastric Lymphomagenesis Induced in the d3Tx Mouse Model of Infection.在 d3Tx 感染小鼠模型诱导的胃淋巴瘤发生中 microRNAs 的失调。
Front Cell Infect Microbiol. 2017 May 16;7:185. doi: 10.3389/fcimb.2017.00185. eCollection 2017.
2
A New Animal Model of Gastric Lymphomagenesis: APRIL Transgenic Mice Infected by Helicobacter Species.一种新的胃淋巴瘤发生动物模型:感染幽门螺杆菌的增殖诱导配体转基因小鼠
Am J Pathol. 2017 Jul;187(7):1473-1484. doi: 10.1016/j.ajpath.2017.03.004. Epub 2017 Apr 29.
3
Reactivation of cutaneous and mucocutaneous tegumentary leishmaniasis in rheumatoid arthritis patients: an emerging problem?
鼻眶脑型真菌病与鼻型结外自然杀伤细胞或/和T细胞淋巴瘤
Front Med (Lausanne). 2022 Jun 17;9:851208. doi: 10.3389/fmed.2022.851208. eCollection 2022.
4
Visceral leishmaniasis in patients with lymphoma: Case reports and review of the literature.淋巴瘤患者的内脏利什曼病:病例报告及文献综述
Medicine (Baltimore). 2020 Nov 6;99(45):e22787. doi: 10.1097/MD.0000000000022787.
5
Cutaneous leishmaniasis mimicking cutaneous lymphoma.酷似皮肤淋巴瘤的皮肤利什曼病。
IDCases. 2019 Jun 24;17:e00580. doi: 10.1016/j.idcr.2019.e00580. eCollection 2019.
6
Secondary Prophylaxis with Liposomal Amphotericin B in a Patient with Mucosal Leishmaniasis Undergoing Immunobiological Therapy for Active Ankylosing Spondylitis.在接受免疫生物治疗的活动性强直性脊柱炎患者中,采用脂质体两性霉素 B 进行黏膜利什曼病的二级预防。
Am J Trop Med Hyg. 2019 Aug;101(2):402-403. doi: 10.4269/ajtmh.19-0066.
类风湿关节炎患者皮肤和黏膜皮肤型利什曼病的再激活:一个新出现的问题?
Rev Inst Med Trop Sao Paulo. 2017 Apr 3;59:e6. doi: 10.1590/S1678-9946201759006.
4
Mucosa-Associated Lymphoid-Tissue Lymphoma of the Cecum and Rectum: A Case Report.盲肠和直肠黏膜相关淋巴组织淋巴瘤:一例报告
Ann Coloproctol. 2017 Feb;33(1):35-38. doi: 10.3393/ac.2017.33.1.35. Epub 2017 Feb 28.
5
Usefulness of kDNA PCR in the diagnosis of visceral leishmaniasis reactivation in co-infected patients.kDNA聚合酶链反应在合并感染患者内脏利什曼病再激活诊断中的应用价值。
Rev Inst Med Trop Sao Paulo. 2013 Nov-Dec;55(6):429-31. doi: 10.1590/S0036-46652013000600011.
6
Tissue damage and immunity in cutaneous leishmaniasis.皮肤利什曼病中的组织损伤与免疫。
Parasite Immunol. 2012 Dec;34(12):551-61. doi: 10.1111/pim.12007.
7
Cutaneous leishmaniasis in a patient with ankylosing spondylitis using adalimumab.一名使用阿达木单抗治疗的强直性脊柱炎患者发生皮肤利什曼病。
Rev Bras Reumatol. 2012 May-Jun;52(3):447-52.
8
Can we use a lower dose of liposomal amphotericin B for the treatment of mucosal American leishmaniasis?我们能否使用更低剂量的脂质体两性霉素 B 来治疗黏膜型皮肤利什曼病?
Am J Trop Med Hyg. 2011 Nov;85(5):818-9. doi: 10.4269/ajtmh.2011.11-0287.
9
Short report: persistence of tumor necrosis factor-alpha in situ after lesion healing in mucosal leishmaniasis.简短报告:黏膜利什曼病病变愈合后肿瘤坏死因子-α在原位的持续存在。
Am J Trop Med Hyg. 2003 May;68(5):527-8. doi: 10.4269/ajtmh.2003.68.527.
10
Mucosal leishmaniasis: in situ characterization of the host inflammatory response, before and after treatment.黏膜利什曼病:治疗前后宿主炎症反应的原位特征
Acta Trop. 2003 Jan;85(1):39-49. doi: 10.1016/s0001-706x(02)00260-7.