Suppr超能文献

口腔猫免疫缺陷病毒感染的发病机制。

Pathogenesis of oral FIV infection.

作者信息

Miller Craig, Boegler Karen, Carver Scott, MacMillan Martha, Bielefeldt-Ohmann Helle, VandeWoude Sue

机构信息

Department of Microbiology, Immunology, and Pathology, Colorado State University, Fort Collins, Colorado.

School of Zoology, University of Tasmania, Hobart, Tasmania, Australia.

出版信息

PLoS One. 2017 Sep 21;12(9):e0185138. doi: 10.1371/journal.pone.0185138. eCollection 2017.

Abstract

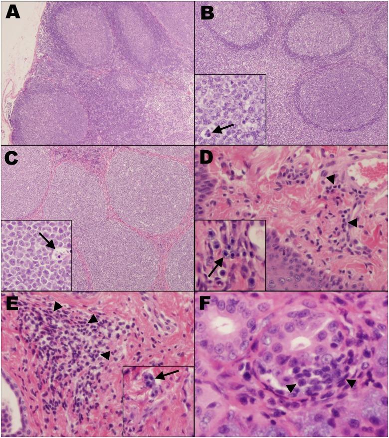
Feline immunodeficiency virus (FIV) is the feline analogue of human immunodeficiency virus (HIV) and features many hallmarks of HIV infection and pathogenesis, including the development of concurrent oral lesions. While HIV is typically transmitted via parenteral transmucosal contact, recent studies prove that oral transmission can occur, and that saliva from infected individuals contains significant amounts of HIV RNA and DNA. While it is accepted that FIV is primarily transmitted by biting, few studies have evaluated FIV oral infection kinetics and transmission mechanisms over the last 20 years. Modern quantitative analyses applied to natural FIV oral infection could significantly further our understanding of lentiviral oral disease and transmission. We therefore characterized FIV salivary viral kinetics and antibody secretions to more fully document oral viral pathogenesis. Our results demonstrate that: (i) saliva of FIV-infected cats contains infectious virus particles, FIV viral RNA at levels equivalent to circulation, and lower but significant amounts of FIV proviral DNA; (ii) the ratio of FIV RNA to DNA is significantly higher in saliva than in circulation; (iii) FIV viral load in oral lymphoid tissues (tonsil, lymph nodes) is significantly higher than mucosal tissues (buccal mucosa, salivary gland, tongue); (iv) salivary IgG antibodies increase significantly over time in FIV-infected cats, while salivary IgA levels remain static; and, (v) saliva from naïve Specific Pathogen Free cats inhibits FIV growth in vitro. Collectively, these results suggest that oral lymphoid tissues serve as a site for enhanced FIV replication, resulting in accumulation of FIV particles and FIV-infected cells in saliva. Failure to induce a virus-specific oral mucosal antibody response, and/or viral capability to overcome inhibitory components in saliva may perpetuate chronic oral cavity infection. Based upon these findings, we propose a model of oral FIV pathogenesis and suggest alternative diagnostic modalities and translational approaches to study oral HIV infection.

摘要

猫免疫缺陷病毒(FIV)是人类免疫缺陷病毒(HIV)的猫科类似物,具有HIV感染和发病机制的许多特征,包括并发口腔病变的发展。虽然HIV通常通过肠胃外经粘膜接触传播,但最近的研究证明口腔传播也可能发生,并且受感染个体的唾液中含有大量的HIV RNA和DNA。虽然人们普遍认为FIV主要通过咬伤传播,但在过去20年中,很少有研究评估FIV口腔感染动力学和传播机制。应用于自然FIV口腔感染的现代定量分析可以显著增进我们对慢病毒口腔疾病和传播的理解。因此,我们对FIV唾液病毒动力学和抗体分泌进行了表征,以更全面地记录口腔病毒发病机制。我们的结果表明:(i)FIV感染猫的唾液中含有传染性病毒颗粒、与循环水平相当的FIV病毒RNA以及含量较低但显著的FIV前病毒DNA;(ii)唾液中FIV RNA与DNA的比率显著高于循环中的比率;(iii)口腔淋巴组织(扁桃体、淋巴结)中的FIV病毒载量显著高于粘膜组织(颊粘膜、唾液腺、舌头);(iv)FIV感染猫的唾液IgG抗体随时间显著增加,而唾液IgA水平保持不变;以及,(v)未感染特定病原体的猫的唾液在体外抑制FIV生长。总体而言,这些结果表明口腔淋巴组织是FIV复制增强的部位,导致FIV颗粒和FIV感染细胞在唾液中积累。未能诱导病毒特异性口腔粘膜抗体反应和/或病毒克服唾液中抑制成分的能力可能会使慢性口腔感染持续存在。基于这些发现,我们提出了一种口腔FIV发病机制模型,并提出了研究口腔HIV感染的替代诊断方法和转化方法。

https://cdn.ncbi.nlm.nih.gov/pmc/blobs/0022/5608358/9eaa64ac9b5d/pone.0185138.g001.jpg

文献AI研究员

20分钟写一篇综述,助力文献阅读效率提升50倍。

立即体验

用中文搜PubMed

大模型驱动的PubMed中文搜索引擎

马上搜索

文档翻译

学术文献翻译模型,支持多种主流文档格式。

立即体验