Suppr超能文献

SARS CoV-2(Delta 变异株)感染家猫的动力学和免疫发病机制。

SARS CoV-2 (Delta Variant) Infection Kinetics and Immunopathogenesis in Domestic Cats.

机构信息

Department of Veterinary Pathobiology, College of Veterinary Medicine, Oklahoma State University, Stillwater, OK 74078, USA.

Department of Animal and Food Sciences, Ferguson College of Agriculture, Oklahoma State University, Stillwater, OK 74075, USA.

出版信息

Viruses. 2022 Jun 1;14(6):1207. doi: 10.3390/v14061207.

Abstract

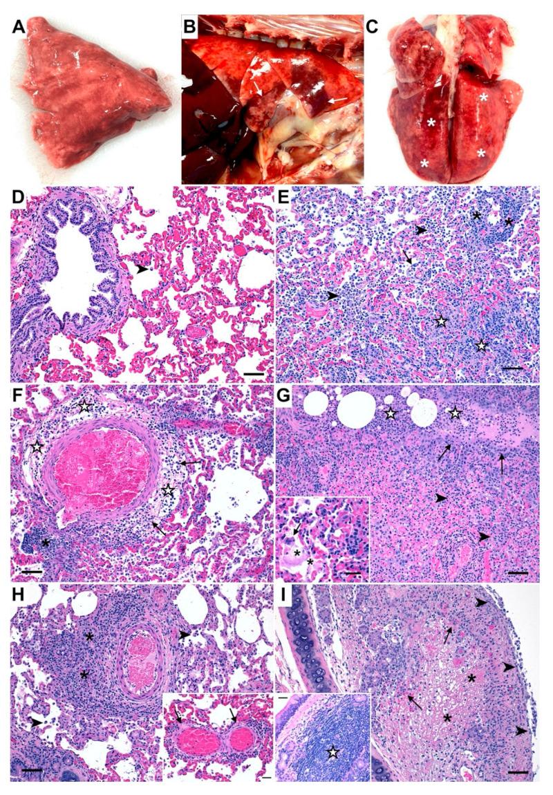
Continued emergence of SARS-CoV-2 variants highlights the critical need for adaptable and translational animal models for acute COVID-19. Limitations to current animal models for SARS CoV-2 (e.g., transgenic mice, non-human primates, ferrets) include subclinical to mild lower respiratory disease, divergence from clinical COVID-19 disease course, and/or the need for host genetic modifications to permit infection. We therefore established a feline model to study COVID-19 disease progression and utilized this model to evaluate infection kinetics and immunopathology of the rapidly circulating Delta variant (B.1.617.2) of SARS-CoV-2. In this study, specific-pathogen-free domestic cats ( = 24) were inoculated intranasally and/or intratracheally with SARS CoV-2 (B.1.617.2). Infected cats developed severe clinical respiratory disease and pulmonary lesions at 4- and 12-days post-infection (dpi), even at 1/10 the dose of previously studied wild-type SARS-CoV-2. Infectious virus was isolated from nasal secretions of delta-variant infected cats in high amounts at multiple timepoints, and viral antigen was co-localized in ACE2-expressing cells of the lungs (pneumocytes, vascular endothelium, peribronchial glandular epithelium) and strongly associated with severe pulmonary inflammation and vasculitis that were more pronounced than in wild-type SARS-CoV-2 infection. RNA sequencing of infected feline lung tissues identified upregulation of multiple gene pathways associated with cytokine receptor interactions, chemokine signaling, and viral protein-cytokine interactions during acute infection with SARS-CoV-2. Weighted correlation network analysis (WGCNA) of differentially expressed genes identified several distinct clusters of dysregulated hub genes that are significantly correlated with both clinical signs and lesions during acute infection. Collectively, the results of these studies help to delineate the role of domestic cats in disease transmission and response to variant emergence, establish a flexible translational model to develop strategies to prevent the spread of SARS-CoV-2, and identify potential targets for downstream therapeutic development.

摘要

持续出现的 SARS-CoV-2 变体凸显了对急性 COVID-19 具有适应性和转化性的动物模型的迫切需求。目前用于 SARS-CoV-2 的动物模型(例如转基因小鼠、非人类灵长类动物、雪貂)存在局限性,包括亚临床至轻度下呼吸道疾病、与临床 COVID-19 病程的差异,以及/或需要宿主遗传修饰以允许感染。因此,我们建立了一种猫科动物模型来研究 COVID-19 疾病进展,并利用该模型评估 SARS-CoV-2 快速循环的 Delta 变体(B.1.617.2)的感染动力学和免疫病理学。在这项研究中,特定病原体自由的家猫(n=24)经鼻内和/或气管内接种 SARS-CoV-2(B.1.617.2)。感染猫在感染后 4-12 天(dpi)发展出严重的临床呼吸道疾病和肺部病变,即使剂量为之前研究的野生型 SARS-CoV-2 的 1/10。Delta 变体感染猫的鼻腔分泌物中可大量分离出传染性病毒,病毒抗原在肺部的 ACE2 表达细胞(肺泡细胞、血管内皮细胞、支气管周围腺上皮细胞)中共同定位,并与更严重的肺部炎症和血管炎强烈相关,比野生型 SARS-CoV-2 感染更明显。感染猫肺部组织的 RNA 测序鉴定出多个与细胞因子受体相互作用、趋化因子信号传导和病毒蛋白-细胞因子相互作用相关的基因途径上调,在 SARS-CoV-2 急性感染期间。差异表达基因的加权相关网络分析(WGCNA)鉴定出几个不同的失调枢纽基因簇,这些基因簇与急性感染期间的临床症状和病变显著相关。总之,这些研究的结果有助于阐明家猫在疾病传播和对变体出现的反应中的作用,建立一个灵活的转化模型来制定预防 SARS-CoV-2 传播的策略,并确定下游治疗开发的潜在靶点。

https://cdn.ncbi.nlm.nih.gov/pmc/blobs/6f1b/9230585/038170ecfdd8/viruses-14-01207-g001.jpg

文献AI研究员

20分钟写一篇综述,助力文献阅读效率提升50倍。

立即体验

用中文搜PubMed

大模型驱动的PubMed中文搜索引擎

马上搜索

文档翻译

学术文献翻译模型,支持多种主流文档格式。

立即体验