School of Pharmacy, Nantong University, Nantong 226001, China.
Int J Mol Sci. 2017 Sep 22;18(10):2029. doi: 10.3390/ijms18102029.
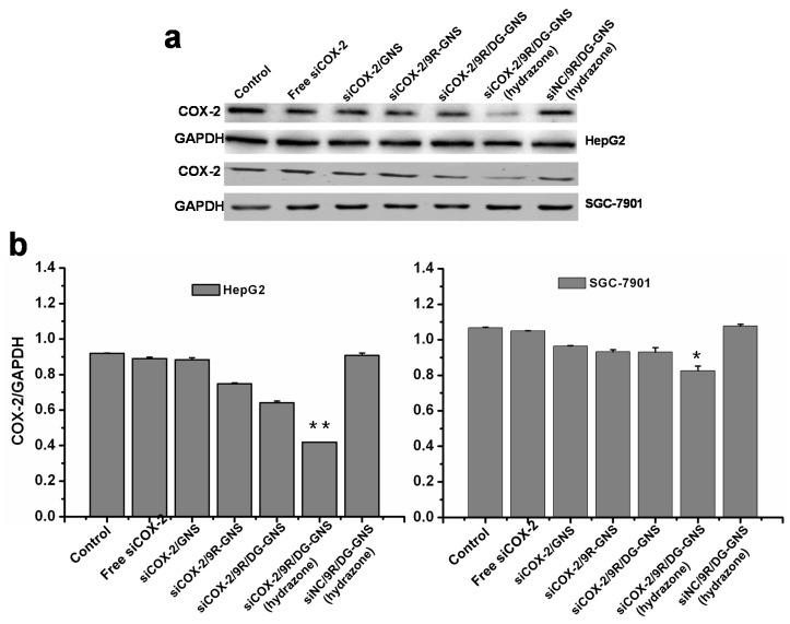
In this work, we report the engineering of gold nanostars (GNS) to deliver small interfering RNA (siRNA) into HepG2 cells. The ligand DG-PEG-Lipoic acid (LA)-Lys-9R (hydrazone) was designed to functionalize GNS, and create the nanoparticles named as 9R/DG-GNS (hydrazone). In the ligand, 2-deoxyglucose (DG) is the targeting molecule, polyethylene glycol (PEG) helps to improve the dispersity and biocompatibility, 9-poly-d-arginine (9R) is employed to provide a positive surface charge and adsorb negative siRNA, and hydrazone bonds are pH-responsive and can avoid receptor-mediated endosomal recycling. Compared to GNS alone, 9R/DG-GNS (hydrazone) showed superior transfection efficiency. The expressions of cyclooxygenase-2 (COX-2) in HepG2 and SGC7901 cells were significantly suppressed by siRNA/9R/DG-GNS (hydrazone) complex. Notably, 9R/DG-GNS (hydrazone) possessed low cytotoxicity even at high concentrations in both normal cells and tumor cells. The combination treatment of siRNA/9R/DG-GNS (hydrazone) complex inhibited the cell growth rate by more than 75%. These results verified that the pH-responsive GNS complex is a promising siRNA delivery system for cancer therapy, and it is anticipated that near-infrared absorbing GNS with good photothermal conversion efficiency can be potentially used for photothermal therapy of tumors.
在这项工作中,我们报告了金纳米星(GNS)的工程化,以将小干扰 RNA(siRNA)递送到 HepG2 细胞中。配体 DG-PEG-硫辛酸(LA)-Lys-9R(腙)被设计用于功能化 GNS,并创建命名为 9R/DG-GNS(腙)的纳米颗粒。在配体中,2-脱氧葡萄糖(DG)是靶向分子,聚乙二醇(PEG)有助于提高分散性和生物相容性,9-聚-D-精氨酸(9R)用于提供正表面电荷并吸附负 siRNA,腙键是 pH 响应的,可以避免受体介导的内体再循环。与单独的 GNS 相比,9R/DG-GNS(腙)显示出更高的转染效率。siRNA/9R/DG-GNS(腙)复合物显著抑制了 HepG2 和 SGC7901 细胞中环氧化酶-2(COX-2)的表达。值得注意的是,即使在正常细胞和肿瘤细胞中高浓度下,9R/DG-GNS(腙)也表现出低细胞毒性。siRNA/9R/DG-GNS(腙)复合物的联合治疗使细胞生长速率降低了 75%以上。这些结果验证了 pH 响应 GNS 复合物是一种有前途的用于癌症治疗的 siRNA 递送系统,并且具有良好光热转换效率的近红外吸收 GNS 有望用于肿瘤的光热治疗。