Suppr超能文献

脑计算机断层血管造影作为脑死亡确认的辅助检查

Brain Computed Tomography Angiography as an Ancillary Test in the Confirmation of Brain Death.

作者信息

Sadeghian Homa, Raeisi Mohammad Ali, Dolati Parviz, Motiei-Langroudi Rouzbeh

机构信息

Radiology, Massachusetts General Hospital/Harvard Medical School.

Neurology, Pastor Hospital, Bam University of Medical Sciences.

出版信息

Cureus. 2017 Jul 19;9(7):e1491. doi: 10.7759/cureus.1491.

Abstract

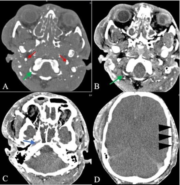
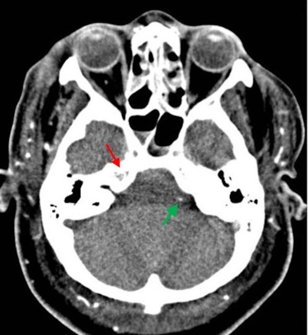
Introduction Brain death (BD) is the irreversible termination of the functioning of the brain. The diagnosis should be first made by clinical criteria and confirmed by using paraclinical confirmatory techniques (ancillary tests). While conventional brain angiography remains the standard method of choice, computed tomography angiography (CTA) has emerged as an alternative method. In this study, we tried to evaluate the accuracy of CTA for the diagnosis of BD. Methods In this study, we included nine patients with a clinical diagnosis of BD, confirmed by electroencephalography (EEG). CTA was then performed to compare the results. Results The most frequent cause for BD was multiple trauma (7/9) in our patients, followed by aneurysm rupture and brain infarct. CTA examination in all patients showed opacification of extracranial arteries and major branches of external carotid artery (ECA), including superficial temporal arteries (STAs), while no opacification was observed in the internal carotid arteries (ICA) including and beyond the cavernous segment, middle cerebral arteries (MCAs), anterior cerebral arteries (ACAs), distal vertebral arteries (VAs), and basilar artery (BA). Moreover, no opacification was observed in the internal cerebral veins (ICVs) or great cerebral vein (GCV). Conclusion The accuracy rate of CTA in the detection of intracranial circulatory arrest was 100%. CTA examinations confirmed BD diagnoses in all patients who had clinical and EEG BD diagnoses, and no confliction between CTA findings and clinical diagnoses was observed.

摘要

引言

脑死亡(BD)是大脑功能的不可逆终止。诊断应首先依据临床标准进行,并通过辅助临床确认技术(辅助检查)加以证实。虽然传统脑血管造影仍是首选的标准方法,但计算机断层血管造影(CTA)已成为一种替代方法。在本研究中,我们试图评估CTA对脑死亡诊断的准确性。

方法

在本研究中,我们纳入了9例经脑电图(EEG)确诊为临床脑死亡的患者。随后进行CTA检查以比较结果。

结果

在我们的患者中,导致脑死亡最常见的原因是多发性创伤(7/9),其次是动脉瘤破裂和脑梗死。所有患者的CTA检查均显示颅外动脉和颈外动脉(ECA)的主要分支显影,包括颞浅动脉(STA),而在包括海绵窦段及其远端的颈内动脉(ICA)、大脑中动脉(MCA)、大脑前动脉(ACA)、椎动脉远端(VA)和基底动脉(BA)中未观察到显影。此外,在大脑内静脉(ICV)或大脑大静脉(GCV)中也未观察到显影。

结论

CTA检测颅内循环停止的准确率为100%。CTA检查在所有临床和EEG诊断为脑死亡的患者中均证实了脑死亡诊断,且未观察到CTA结果与临床诊断之间存在冲突。

https://cdn.ncbi.nlm.nih.gov/pmc/blobs/9144/5605121/e1cbae63ba92/cureus-0009-00000001491-i01.jpg

相似文献

2
Computed tomography angiography as a confirmatory test for the diagnosis of brain death.
J Neurosurg. 2018 Feb;128(2):639-644. doi: 10.3171/2016.10.JNS161042. Epub 2017 Mar 17.
3
Diagnosing brain death by CT perfusion and multislice CT angiography.
Neurocrit Care. 2009;11(2):261-71. doi: 10.1007/s12028-009-9243-7. Epub 2009 Jun 30.
4
CT angiography for brain death diagnosis.
AJNR Am J Neuroradiol. 2009 Sep;30(8):1566-70. doi: 10.3174/ajnr.A1614. Epub 2009 Apr 30.
7
Assessment of Cerebral Circulatory Arrest via CT Angiography and CT Perfusion in Brain Death Confirmation.
Korean J Radiol. 2021 Mar;22(3):395-404. doi: 10.3348/kjr.2019.0859. Epub 2020 Sep 10.
8
Computed tomography angiography accuracy in brain death diagnosis.
J Neurosurg. 2019 Sep 27;133(4):1220-1228. doi: 10.3171/2019.6.JNS191107. Print 2020 Oct 1.
9
Computed tomography angiography in the diagnosis of brain death: a systematic review and meta-analysis.
Neurocrit Care. 2014 Dec;21(3):539-50. doi: 10.1007/s12028-014-9997-4.

引用本文的文献

本文引用的文献

1
Computed tomography angiography as a confirmatory test for the diagnosis of brain death.
J Neurosurg. 2018 Feb;128(2):639-644. doi: 10.3171/2016.10.JNS161042. Epub 2017 Mar 17.
2
EEG guidelines in the diagnosis of brain death.
Neurophysiol Clin. 2015 Mar;45(1):97-104. doi: 10.1016/j.neucli.2014.11.005. Epub 2015 Jan 14.
3
French recommendations on electroencephalography.
Neurophysiol Clin. 2015 Mar;45(1):1-17. doi: 10.1016/j.neucli.2014.11.002. Epub 2015 Jan 15.
4
CT Angiography in the Diagnosis of Brain Death.
Pol J Radiol. 2014 Nov 15;79:417-21. doi: 10.12659/PJR.891114. eCollection 2014.
6
Computed tomography (CT) angiography for confirmation of the clinical diagnosis of brain death.
Cochrane Database Syst Rev. 2014 Mar 31;2014(3):CD009694. doi: 10.1002/14651858.CD009694.pub2.
7
Computed tomographic angiography as a useful adjunct in the diagnosis of brain death.
J Trauma Acute Care Surg. 2013 May;74(5):1279-85. doi: 10.1097/TA.0b013e31828c46ba.
8
Technical aids in the diagnosis of brain death: a comparison of SEP, AEP, EEG, TCD and CT angiography.
Dtsch Arztebl Int. 2012 Sep;109(39):624-30. doi: 10.3238/arztebl.2012.0624. Epub 2012 Sep 28.
9
Detection of intracranial circulatory arrest in brain death using cranial CT-angiography.
Eur J Neurol. 2013 Jan;20(1):173-9. doi: 10.1111/j.1468-1331.2012.03826.x. Epub 2012 Jul 12.
10
CT angiography as a confirmatory test in brain death.
Acta Neurochir Suppl. 2012;114:311-6. doi: 10.1007/978-3-7091-0956-4_60.

文献AI研究员

20分钟写一篇综述,助力文献阅读效率提升50倍。

立即体验

用中文搜PubMed

大模型驱动的PubMed中文搜索引擎

马上搜索

文档翻译

学术文献翻译模型,支持多种主流文档格式。

立即体验