Suppr超能文献

兔重复应用富血小板血浆后骨钙素和骨连接蛋白的表达

Osteocalcin and osteonectin expression after double application of platelet-rich plasma in rabbits.

作者信息

Ozdemir Burcu, Kurtis Bulent, Tuter Gulay, Senguven Burcu, Yildirim Benay

机构信息

Department of Periodontology, Faculty of Dentistry, Gazi University, Turkey.

出版信息

J Istanb Univ Fac Dent. 2016 Apr 1;50(2):1-9. doi: 10.17096/jiufd.40536. eCollection 2016.

Abstract

PURPOSE

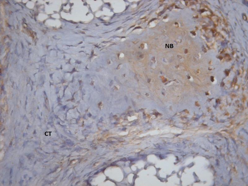
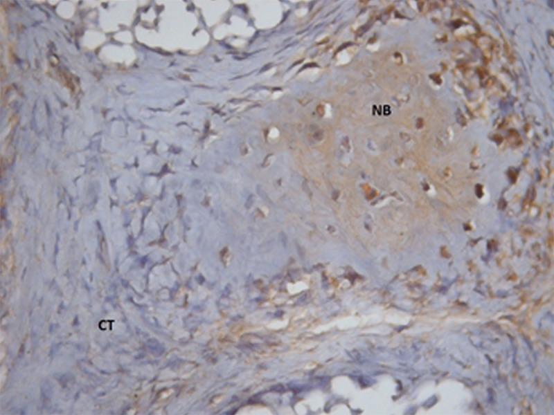
Platelet-rich plasma (PRP) is a novel method for transferring autogenous growth factors to the wound area. The aim of this study was to evaluate the efficacy of double-application of PRP (DA-PRP) on bone healing in rabbit cranial defects by examining osteonectin (ON) and osteocalcin (OC) expression.

MATERIALS AND METHODS

Twenty-eight rabbits, each with two surgically prepared calvarial bone defects, were included in this study and divided into six groups: The defects (N=56) were treated with either a single-application of PRP (SA-PRP) (n=10), a combination of SA-PRP and betatricalciumphosphate (SA-PRP+β-TCP) (n=10), only DAPRP (n=8), both DA-PRP and beta-tricalciumphosphate (DA-PRP+β-TCP) (n=8), only beta-tricalciumphosphate (β-TCP) (n=10), or controls (n=10). The animals were sacrificed at 30th day postoperatively and samples were immunohistochemically examined for ON and OC expressions.

RESULTS

It was determined that DA-PRP did not significantly improve the ON and OC percentages achieved by SA-PRP or the controls. The three groups treated with β-TCP showed a higher percentage of ON than those treated without β-TCP (p<0.05). The β-TCP treated groups and SA-PRP group demonstrated higher OC percentage than DA-PRP and control groups (p<0.05).

CONCLUSION

The present findings suggest that DAPRP did not have a significant effect on the healing of non-critical size rabbit cranial bone defects.

摘要

目的

富血小板血浆(PRP)是一种将自体生长因子转移至伤口部位的新方法。本研究旨在通过检测骨粘连蛋白(ON)和骨钙素(OC)的表达,评估富血小板血浆二次应用(DA-PRP)对兔颅骨缺损骨愈合的疗效。

材料与方法

本研究纳入28只兔子,每只兔子均有两个通过手术制备的颅骨缺损,将其分为六组:缺损(N = 56)分别接受单次应用PRP(SA-PRP)(n = 10)、SA-PRP与β-磷酸三钙联合应用(SA-PRP +β-TCP)(n = 10)、仅DA-PRP(n = 8)、DA-PRP与β-磷酸三钙联合应用(DA-PRP +β-TCP)(n = 8)、仅β-磷酸三钙(β-TCP)(n = 10)或作为对照(n = 10)。术后第30天处死动物,对样本进行免疫组织化学检测以评估ON和OC的表达。

结果

结果表明,DA-PRP并未显著提高SA-PRP或对照组所达到的ON和OC百分比。三组接受β-TCP治疗的ON百分比高于未接受β-TCP治疗的组(p<0.05)。β-TCP治疗组和SA-PRP组的OC百分比高于DA-PRP组和对照组(p<?0.05)。

结论

本研究结果表明,DA-PRP对非临界尺寸兔颅骨缺损的愈合没有显著影响。

https://cdn.ncbi.nlm.nih.gov/pmc/blobs/f036/5573525/fdf0f1a052f4/jiufd-050-001-b-e001.jpg

文献AI研究员

20分钟写一篇综述,助力文献阅读效率提升50倍。

立即体验

用中文搜PubMed

大模型驱动的PubMed中文搜索引擎

马上搜索

文档翻译

学术文献翻译模型,支持多种主流文档格式。

立即体验