• 文献检索
  • 文档翻译
  • 深度研究
  • 学术资讯
  • Suppr Zotero 插件Zotero 插件
  • 邀请有礼
  • 套餐&价格
  • 历史记录
应用&插件
Suppr Zotero 插件Zotero 插件浏览器插件Mac 客户端Windows 客户端微信小程序
定价
高级版会员购买积分包购买API积分包
服务
文献检索文档翻译深度研究API 文档MCP 服务
关于我们
关于 Suppr公司介绍联系我们用户协议隐私条款
关注我们

Suppr 超能文献

核心技术专利:CN118964589B侵权必究
粤ICP备2023148730 号-1Suppr @ 2026

文献检索

告别复杂PubMed语法,用中文像聊天一样搜索,搜遍4000万医学文献。AI智能推荐,让科研检索更轻松。

立即免费搜索

文件翻译

保留排版,准确专业,支持PDF/Word/PPT等文件格式,支持 12+语言互译。

免费翻译文档

深度研究

AI帮你快速写综述,25分钟生成高质量综述,智能提取关键信息,辅助科研写作。

立即免费体验

猫慢性龈口炎伴食管炎

Chronic Gingivostomatitis with Esophagitis in Cats.

作者信息

Kouki M I, Papadimitriou S A, Psalla D, Kolokotronis A, Rallis T S

机构信息

Companion Animal Clinic, Surgery and Obstetrics Unit, School of Veterinary Medicine, Aristotle University, Thessaloniki, Greece.

Laboratory of Pathology, School of Veterinary Medicine, Aristotle University, Thessaloniki, Greece.

出版信息

J Vet Intern Med. 2017 Nov;31(6):1673-1679. doi: 10.1111/jvim.14850. Epub 2017 Sep 27.

DOI:10.1111/jvim.14850
PMID:28960466
原文链接:https://pmc.ncbi.nlm.nih.gov/articles/PMC5697197/
Abstract

BACKGROUND

Chronic gingivostomatitis in cats (FCG) is a debilitating disease with potentially deleterious effects on overall health.

HYPOTHESIS/OBJECTIVES: Little is known about the pathophysiology and overall impact of FCG. The aims of our study were to investigate whether gingivostomatitis occurs concurrently with esophagitis, if FCG treatment contributes to esophagitis and if esophagitis exacerbates signs of FCG.

ANIMALS

Fifty-eight cats with clinical signs of FCG and 12 healthy control cats exhibiting no signs of oral disease, all client-owned.

METHODS

Prospective study. Physical, oral and endoscopic examinations were performed on all cats. Measurements of salivary and esophageal lumen pH were obtained from both groups. Biopsies were acquired from sites of esophageal inflammation in cats with FCG and from normal-appearing esophageal mucosa in control cats.

RESULTS

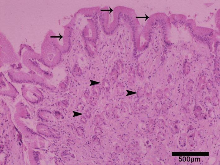
The majority of cats with clinical signs of FCG exhibited some degree of esophagitis especially in the proximal (44/58) and distal (53/58) parts (P < 0.001) with or without columnar metaplasia, compared to controls. All cats lacked signs related to gastrointestinal disease. Salivary and esophageal lumen pH were not statistically different compared to controls.

CONCLUSIONS AND CLINICAL IMPORTANCE

Feline chronic gingivostomatitis seems to occur concurrently with esophagitis. Esophagitis also should be managed in cats with chronic gingivostomatitis because it may aggravate the existing condition.

摘要

背景

猫慢性龈口炎(FCG)是一种使人衰弱的疾病,可能对整体健康产生有害影响。

假设/目标:关于FCG的病理生理学和总体影响知之甚少。我们研究的目的是调查龈口炎是否与食管炎同时发生,FCG治疗是否会导致食管炎,以及食管炎是否会加重FCG的症状。

动物

58只患有FCG临床症状的猫和12只无口腔疾病迹象的健康对照猫,均为客户拥有。

方法

前瞻性研究。对所有猫进行体格、口腔和内镜检查。两组均测量唾液和食管腔pH值。从患有FCG的猫的食管炎症部位和对照猫外观正常的食管黏膜获取活检组织。

结果

与对照组相比,大多数有FCG临床症状的猫表现出一定程度的食管炎,尤其是在近端(44/58)和远端(53/58)部分(P<0.001),有或无柱状化生。所有猫均无胃肠道疾病相关体征。与对照组相比,唾液和食管腔pH值无统计学差异。

结论及临床意义

猫慢性龈口炎似乎与食管炎同时发生。对于患有慢性龈口炎的猫也应治疗食管炎,因为它可能会加重现有病情。

https://cdn.ncbi.nlm.nih.gov/pmc/blobs/7259/5697197/8610398b05a4/JVIM-31-1673-g003.jpg
https://cdn.ncbi.nlm.nih.gov/pmc/blobs/7259/5697197/d1de78f0a338/JVIM-31-1673-g001.jpg
https://cdn.ncbi.nlm.nih.gov/pmc/blobs/7259/5697197/f3c418678d7b/JVIM-31-1673-g002.jpg
https://cdn.ncbi.nlm.nih.gov/pmc/blobs/7259/5697197/8610398b05a4/JVIM-31-1673-g003.jpg
https://cdn.ncbi.nlm.nih.gov/pmc/blobs/7259/5697197/d1de78f0a338/JVIM-31-1673-g001.jpg
https://cdn.ncbi.nlm.nih.gov/pmc/blobs/7259/5697197/f3c418678d7b/JVIM-31-1673-g002.jpg
https://cdn.ncbi.nlm.nih.gov/pmc/blobs/7259/5697197/8610398b05a4/JVIM-31-1673-g003.jpg

相似文献

1
Chronic Gingivostomatitis with Esophagitis in Cats.猫慢性龈口炎伴食管炎
J Vet Intern Med. 2017 Nov;31(6):1673-1679. doi: 10.1111/jvim.14850. Epub 2017 Sep 27.
2
Concurrent oral shedding of feline calicivirus and feline herpesvirus 1 in cats with chronic gingivostomatitis.慢性龈口炎猫同时口腔排泌猫杯状病毒和猫疱疹病毒1型
Oral Microbiol Immunol. 2003 Apr;18(2):131-4. doi: 10.1034/j.1399-302x.2003.00033.x.
3
Clinical, pathological, immunohistochemical and molecular characterization of feline chronic gingivostomatitis.猫慢性龈口炎的临床、病理、免疫组化及分子特征
J Feline Med Surg. 2017 Apr;19(4):403-409. doi: 10.1177/1098612X16628578. Epub 2016 Jul 9.
4
Relevance of feline calicivirus, feline immunodeficiency virus, feline leukemia virus, feline herpesvirus and Bartonella henselae in cats with chronic gingivostomatitis.猫杯状病毒、猫免疫缺陷病毒、猫白血病病毒、猫疱疹病毒和汉氏巴尔通体在患有慢性龈口炎的猫中的相关性。
Berl Munch Tierarztl Wochenschr. 2010 Sep-Oct;123(9-10):369-76.
5
Feline chronic gingivostomatitis is more prevalent in shared households and its risk correlates with the number of cohabiting cats.猫慢性龈口炎在多猫共居的家庭中更为普遍,其风险与同居猫的数量相关。
J Feline Med Surg. 2019 Dec;21(12):1165-1171. doi: 10.1177/1098612X18823584. Epub 2019 Jan 21.
6
The influence of oral bacteria on tissue levels of Toll-like receptor and cytokine mRNAs in feline chronic gingivostomatitis and oral health.口腔细菌对猫慢性龈口炎及口腔健康中Toll样受体和细胞因子mRNA组织水平的影响。
Vet Immunol Immunopathol. 2013 Feb 15;151(3-4):263-74. doi: 10.1016/j.vetimm.2012.11.016. Epub 2012 Dec 12.
7
Clinical, radiographic and histopathologic features of early-onset gingivitis and periodontitis in cats (1997-2022).猫早发性牙龈炎和牙周炎的临床、放射影像学和组织病理学特征(1997-2022 年)。
J Feline Med Surg. 2023 Jan;25(1):1098612X221148577. doi: 10.1177/1098612X221148577.
8
Surgical therapy in chronic feline gingivostomatitis (FCGS).慢性猫牙龈炎口炎(FCGS)的手术治疗
Vet Res Commun. 2008 Sep;32 Suppl 1:S231-4. doi: 10.1007/s11259-008-9153-8.
9
Salivary and serum immunoglobulin levels in cats with chronic gingivostomatitis.患有慢性龈口炎的猫的唾液和血清免疫球蛋白水平
Vet Rec. 2003 Feb 1;152(5):125-9. doi: 10.1136/vr.152.5.125.
10
A pilot study to evaluate the serum Alpha-1 acid glycoprotein response in cats suffering from feline chronic gingivostomatitis.一项评估患有猫慢性龈口炎的猫血清α-1酸性糖蛋白反应的初步研究。
BMC Vet Res. 2020 Oct 15;16(1):390. doi: 10.1186/s12917-020-02590-2.

引用本文的文献

1
Clinical and histopathological investigation of the possible occurrence of tracheobronchial disease in cats with chronic gingivostomatitis.对患有慢性龈口炎的猫气管支气管疾病可能发生情况的临床和组织病理学研究。
Front Vet Sci. 2025 Jun 26;12:1624016. doi: 10.3389/fvets.2025.1624016. eCollection 2025.
2
Salivary peptidomic profiling of chronic gingivostomatitis in cats by matrix-assisted laser desorption/ionization-time-of-flight mass spectrometry and nanoscale liquid chromatography-tandem mass spectrometry.通过基质辅助激光解吸/电离飞行时间质谱和纳米级液相色谱-串联质谱对猫慢性龈口炎进行唾液肽组学分析。
J Vet Intern Med. 2025 Jan-Feb;39(1):e17247. doi: 10.1111/jvim.17247. Epub 2024 Nov 22.
3

本文引用的文献

1
Prevalence of Gastroesophageal Reflux in Cats During Anesthesia and Effect of Omeprazole on Gastric pH.猫麻醉期间胃食管反流的患病率及奥美拉唑对胃pH值的影响
J Vet Intern Med. 2017 May;31(3):734-742. doi: 10.1111/jvim.14704. Epub 2017 Apr 19.
2
The esophageal microbiota in health and disease.健康与疾病中的食管微生物群。
Ann N Y Acad Sci. 2016 Oct;1381(1):21-33. doi: 10.1111/nyas.13127. Epub 2016 Jul 14.
3
Advances in the endoscopic diagnosis and treatment of Barrett's neoplasia.巴雷特肿瘤的内镜诊断与治疗进展
Feline chronic gingivostomatitis current concepts in clinical management.
猫慢性龈口炎:临床管理的新理念。
J Feline Med Surg. 2023 Aug;25(8):1098612X231186834. doi: 10.1177/1098612X231186834.
4
Mesenchymal stromal cell therapy for feline chronic gingivostomatitis: Long term experience.间充质基质细胞疗法治疗猫慢性龈口炎:长期经验
Front Vet Sci. 2023 Apr 14;10:1171922. doi: 10.3389/fvets.2023.1171922. eCollection 2023.
5
Characterization of Oral Microbiota in Cats: Novel Insights on the Potential Role of Fungi in Feline Chronic Gingivostomatitis.猫口腔微生物群的特征:关于真菌在猫慢性龈口炎中潜在作用的新见解。
Pathogens. 2021 Jul 17;10(7):904. doi: 10.3390/pathogens10070904.
6
Expression of cannabinoid and cannabinoid-related receptors in the oral mucosa of healthy cats and cats with chronic gingivostomatitis.健康猫和患有慢性龈口炎的猫口腔黏膜中大麻素和大麻素相关受体的表达。
J Feline Med Surg. 2021 Aug;23(8):679-691. doi: 10.1177/1098612X20970510. Epub 2020 Nov 11.
7
An Update on Feline Chronic Gingivostomatitis.猫慢性龈口炎的最新进展
Vet Clin North Am Small Anim Pract. 2020 Sep;50(5):973-982. doi: 10.1016/j.cvsm.2020.04.002. Epub 2020 Apr 18.
8
Mesenchymal stem cells therapy in companion animals: useful for immune-mediated diseases?间充质干细胞治疗伴侣动物:对免疫介导性疾病有效吗?
BMC Vet Res. 2019 Oct 22;15(1):358. doi: 10.1186/s12917-019-2087-2.
9
Inter- and intra-observer reliability of quantitative sensory testing performed with the SMall animal ALGOmeter (SMALGO) to evaluate pain associated with feline gingivostomatitis.使用 SMall animal ALGOmeter(SMALGO)进行定量感觉测试评估猫牙龈炎相关疼痛的观察者间和观察者内可靠性。
J Feline Med Surg. 2020 Apr;22(4):271-276. doi: 10.1177/1098612X19837343. Epub 2019 Mar 22.
F1000Res. 2016 Jan 28;5. doi: 10.12688/f1000research.6996.1. eCollection 2016.
4
Cross-species comparison of mammalian saliva using an LC-MALDI based proteomic approach.使用基于液相色谱-基质辅助激光解吸电离的蛋白质组学方法对哺乳动物唾液进行跨物种比较。
Proteomics. 2015 May;15(9):1598-607. doi: 10.1002/pmic.201400083. Epub 2015 Mar 9.
5
Salivary pH: A diagnostic biomarker.唾液酸碱度:一种诊断生物标志物。
J Indian Soc Periodontol. 2013 Jul;17(4):461-5. doi: 10.4103/0972-124X.118317.
6
The influence of oral bacteria on tissue levels of Toll-like receptor and cytokine mRNAs in feline chronic gingivostomatitis and oral health.口腔细菌对猫慢性龈口炎及口腔健康中Toll样受体和细胞因子mRNA组织水平的影响。
Vet Immunol Immunopathol. 2013 Feb 15;151(3-4):263-74. doi: 10.1016/j.vetimm.2012.11.016. Epub 2012 Dec 12.
7
Oesophageal disease in 33 cats.33只猫的食管疾病
J Feline Med Surg. 2011 Aug;13(8):564-9. doi: 10.1016/j.jfms.2011.04.004. Epub 2011 Jul 20.
8
Identification of bacteria associated with feline chronic gingivostomatitis using culture-dependent and culture-independent methods.采用依赖培养和非依赖培养方法鉴定与猫慢性龈口炎相关的细菌。
Vet Microbiol. 2011 Feb 24;148(1):93-8. doi: 10.1016/j.vetmic.2010.08.002. Epub 2010 Aug 17.
9
Feline esophagus and gastroesophageal reflux.猫的食管和胃食管反流。
AJR Am J Roentgenol. 2010 Apr;194(4):972-6. doi: 10.2214/AJR.09.3352.
10
Inflammatory mediators in gastroesophageal reflux disease: impact on esophageal motility, fibrosis, and carcinogenesis.胃食管反流病中的炎症介质:对食管动力、纤维化和癌变的影响。
Am J Physiol Gastrointest Liver Physiol. 2010 May;298(5):G571-81. doi: 10.1152/ajpgi.00454.2009. Epub 2010 Mar 18.