Suppr超能文献

腓骨或双踝骨折中管状钢板与解剖钢板的比较:皮肤并发症真的存在差异吗?一项在三家一级创伤中心进行的回顾性研究。

Tubular vs Profile Plate in Peroneal or Bimalleolar Fractures: is There a Real Difference in Skin Complication? A Retrospective Study in Three Level I Trauma Center.

作者信息

Petruccelli Rosario, Bisaccia Michele, Rinonapoli Giuseppe, Rollo Giuseppe, Meccariello Luigi, Falzarano Gabriele, Ceccarini Paolo, Bisaccia Olga, Giaracuni Marco, Caraffa Auro

机构信息

Orthopaedics and Traumatology Unit, Department of Surgical and Biomedical Science, S.M. Misericordia Hospital, University of Perugia, Sant'Andrea delle Fratte, Perugia, Italy.

Department of Orthopedics and Traumatology, Vito Fazzi Hospital, Lecce, Italy.

出版信息

Med Arch. 2017 Aug;71(4):265-269. doi: 10.5455/medarh.2017.71.265-269.

Abstract

INTRODUCTION

Not enough literature is available to evalute the wound complication rate of plates type in distal fibular fractures.

AIM

The aim of our study was to compare wound complications of using a third tubular plate compared to LCP distal fibula plate.

MATERIAL AND METHODS

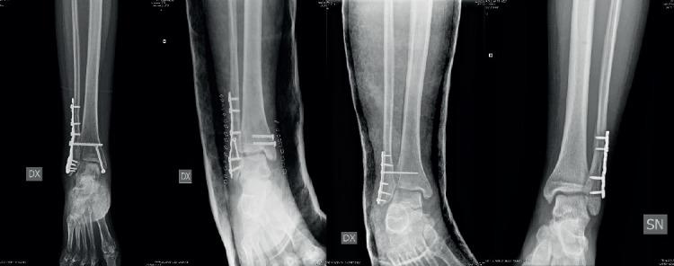
This study is a retrospective single-centre study in which was performed plating of fibula in closed ankle fractures. 93 patients were included in our study and assigned in two groups, based on using of different implant : in group A 48 patients were treated with one-third tubular and in group B 45 patients were treated with LCP distal fibula plate. There were no significant differences in the baseline characterisctics. Patients received the same surgical procedure and the same post-operative care, then they were radiologically evalueted at 1-3-12 months and clinical examination was made at 12 months using AOFAS clinical rating system. Categorical data, grouped into distinct categories, were evalueted using Chi-square test. We considered a p value < 0.05 as statistically significant.

RESULTS

The wound complications rate of the overall study group was 7.6%. There were no statistical differences in the rate of wound complications between the two groups. There were no differences between both group in percentage of hardware removal at follow-up (overall 5.4%); plate removal was performed earlier in the locking plate because of wound complications.

CONCLUSIONS

Our study has shown no difference in radiographic bone union rate, no significant differences in terms of clinical outcomes, in time of bone reduction and wound complication rate between the LCP distal fibula plate and conventional one-third tubular plate. Controversy still exists about the best method for the fracture reduction.

摘要

引言

目前尚无足够的文献来评估腓骨远端骨折中不同类型钢板的伤口并发症发生率。

目的

本研究的目的是比较使用三分之一管型钢板与锁定加压接骨板(LCP)治疗腓骨远端骨折的伤口并发症情况。

材料与方法

本研究为回顾性单中心研究,纳入闭合性踝关节骨折行腓骨钢板固定的患者。93例患者根据所使用的不同植入物分为两组:A组48例患者接受三分之一管型钢板治疗,B组45例患者接受LCP腓骨远端钢板治疗。两组患者的基线特征无显著差异。患者接受相同的手术操作和术后护理,术后分别于1个月、3个月和12个月进行影像学评估,并在12个月时使用美国足踝外科协会(AOFAS)临床评分系统进行临床检查。分类数据采用卡方检验进行评估。我们将p值<0.05视为具有统计学意义。

结果

整个研究组的伤口并发症发生率为7.6%。两组之间的伤口并发症发生率无统计学差异。两组随访时取出内固定物的比例无差异(总体为5.4%);由于伤口并发症,锁定钢板组的钢板取出时间更早。

结论

我们的研究表明,LCP腓骨远端钢板与传统的三分之一管型钢板在影像学骨愈合率、临床疗效、骨折复位时间和伤口并发症发生率方面均无差异。关于骨折复位的最佳方法仍存在争议。

https://cdn.ncbi.nlm.nih.gov/pmc/blobs/028f/5585791/8740afc6f21d/MA-71-265-g001.jpg

文献检索

告别复杂PubMed语法,用中文像聊天一样搜索,搜遍4000万医学文献。AI智能推荐,让科研检索更轻松。

立即免费搜索

文件翻译

保留排版,准确专业,支持PDF/Word/PPT等文件格式,支持 12+语言互译。

免费翻译文档

深度研究

AI帮你快速写综述,25分钟生成高质量综述,智能提取关键信息,辅助科研写作。

立即免费体验