Suppr超能文献

孤立性肝结核瘤——病例报告

Isolated Hepatic Tuberculoma - A Case Report.

作者信息

Biswas Biplab Kr, Pal Subrata, Moulik Dhruba Jyoti, Sikdar Mrinal

机构信息

Dept. of Pathology, Bankura Sammilani Medical College,West Bengal, India.

Dept. of Pathology, College of Medicine and Sagore Dutta Hospital,West Bengal, India.

出版信息

Iran J Pathol. 2016 Fall;11(5):427-430. Epub 2016 Dec 24.

Abstract

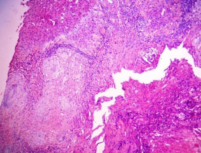
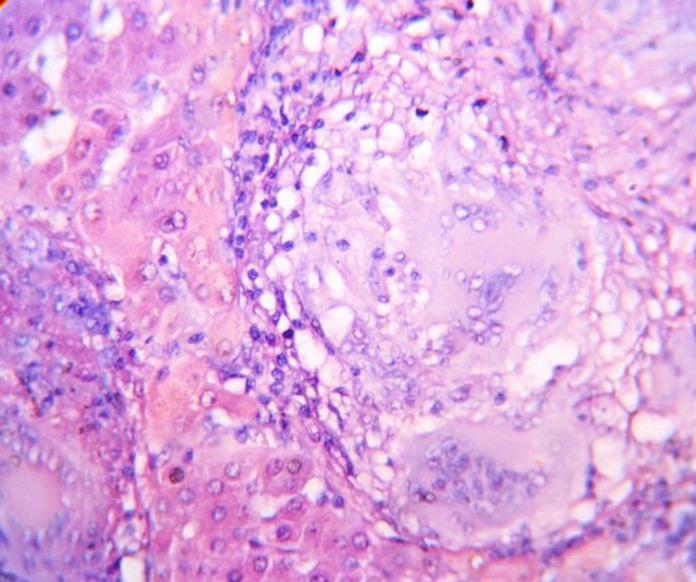
Isolated hepatic tuberculoma is localized hepatic tuberculosis (TB) without bile duct involvement, which presents as solitary or multiple nodular mass lesion of liver mimicking a neoplastic lesion in radiological evaluation. Clinical presentation and biochemical tests for liver functions show non-specific abnormality, which is not helpful for diagnosis. As the treatment, modality of isolated hepatic tuberculoma is anti-tubercular drugs. Prognosis is very good in comparison to other differential diagnoses. We are presenting such a rare case of isolated hepatic tuberculoma from tribal area of Bankura district, West Bengal, India in a 38-yr female patient presenting as fever, abdominal pain and solitary nodular lesion on radiological evaluation. Even different imaging modalities cannot make accurate diagnosis of isolated hepatic tuberculoma where simple biopsy and histopathology of the lesion can confirm the diagnosis.

摘要

孤立性肝结核瘤是局限于肝脏的结核病,不累及胆管,在影像学评估中表现为肝脏的单个或多个结节状肿块病变,类似肿瘤性病变。临床表现和肝功能生化检查显示非特异性异常,对诊断无帮助。作为治疗方法,孤立性肝结核瘤的治疗方式是抗结核药物。与其他鉴别诊断相比,预后非常好。我们在此呈现一例来自印度西孟加拉邦班库拉地区部落的罕见孤立性肝结核瘤病例,患者为一名38岁女性,表现为发热、腹痛,影像学评估显示为单个结节状病变。即使不同的影像学检查方法也无法对孤立性肝结核瘤做出准确诊断,而病变的简单活检和组织病理学检查可以确诊。

https://cdn.ncbi.nlm.nih.gov/pmc/blobs/a532/5604103/38d1c9675d2b/ijp-11-427-g001.jpg

文献检索

告别复杂PubMed语法,用中文像聊天一样搜索,搜遍4000万医学文献。AI智能推荐,让科研检索更轻松。

立即免费搜索

文件翻译

保留排版,准确专业,支持PDF/Word/PPT等文件格式,支持 12+语言互译。

免费翻译文档

深度研究

AI帮你快速写综述,25分钟生成高质量综述,智能提取关键信息,辅助科研写作。

立即免费体验