• 文献检索
  • 文档翻译
  • 深度研究
  • 学术资讯
  • Suppr Zotero 插件Zotero 插件
  • 邀请有礼
  • 套餐&价格
  • 历史记录
应用&插件
Suppr Zotero 插件Zotero 插件浏览器插件Mac 客户端Windows 客户端微信小程序
定价
高级版会员购买积分包购买API积分包
服务
文献检索文档翻译深度研究API 文档MCP 服务
关于我们
关于 Suppr公司介绍联系我们用户协议隐私条款
关注我们

Suppr 超能文献

核心技术专利:CN118964589B侵权必究
粤ICP备2023148730 号-1Suppr @ 2026

文献检索

告别复杂PubMed语法,用中文像聊天一样搜索,搜遍4000万医学文献。AI智能推荐,让科研检索更轻松。

立即免费搜索

文件翻译

保留排版,准确专业,支持PDF/Word/PPT等文件格式,支持 12+语言互译。

免费翻译文档

深度研究

AI帮你快速写综述,25分钟生成高质量综述,智能提取关键信息,辅助科研写作。

立即免费体验

吸烟对慢性牙周炎患者牙龈组织中炎症细胞浸润亚型的影响。

The effect of smoking on inflammatory cell infiltrate subtypes in gingival tissue of patients with chronic periodontitis.

作者信息

Radvar Mehrdad, Shafaee Hooman, Mohtasham Nooshin, Shiezadeh Farid, Zamanpour Mona

机构信息

Associate Professor, Dental Research Center, Mashhad University of Medical Sciences, Mashhad, Iran.

Assistant Professor, Dental Research Center, Mashhad University of Medical Sciences, Mashhad, Iran.

出版信息

Electron Physician. 2017 Aug 25;9(8):4961-4967. doi: 10.19082/4961. eCollection 2017 Aug.

DOI:10.19082/4961
PMID:28979729
原文链接:https://pmc.ncbi.nlm.nih.gov/articles/PMC5614279/
Abstract

BACKGROUND

Examinations on blood samples and gingival crevicular fluid of subjects with chronic periodontitis showed that smoking increased production of cytokines.

OBJECTIVE

To evaluate the expression of immune markers on mononuclear inflammatory cell infiltrate at periodontitis and healthy tissue among smoking and non-smoking subjects.

METHODS

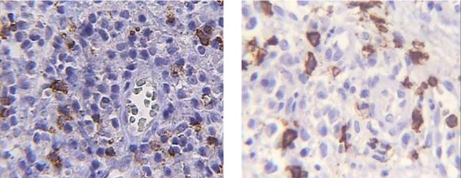
This case-control study was performed on 41 patients who referred to a clinic of periodontology at a Mashhad dental school in Iran in 2016. The participants were all of Iranian Khorasanian ethnicity with age range of 35-65 years. Gingival biopsies were obtained during routine periodontal flap procedure. Immunohistochemistry using markers of CD20, CD3, CD68, and CD45RO was carried out. Data was analyzed by SPSS version 15, using one-way ANOVA and Tukey HSD test.

RESULTS

Nonsmoker subjects showed significantly greater numbers of CD20+, CD68+, CD3+ cells compared to smoker subjects, both at healthy and periodontitis tissue biopsies (p<0.00), whereas there was no significant difference in terms of CD45RO (p=0.120).

CONCLUSION

Cigarette smoking, results in infiltrative mononuclear chronic inflammatory cells reduction in connective periodontium.

摘要

背景

对慢性牙周炎患者的血液样本和龈沟液进行检测发现,吸烟会增加细胞因子的产生。

目的

评估吸烟和不吸烟受试者牙周炎组织及健康组织中单核炎性细胞浸润上免疫标志物的表达情况。

方法

本病例对照研究于2016年对转诊至伊朗马什哈德一所牙科学院牙周病诊所的41例患者开展。参与者均为伊朗霍拉桑族,年龄在35 - 65岁之间。在常规牙周翻瓣手术过程中获取牙龈活检组织。采用CD20、CD3、CD68和CD45RO标志物进行免疫组织化学检测。使用SPSS 15.0版软件进行数据分析,采用单因素方差分析和Tukey HSD检验。

结果

在健康组织和牙周炎组织活检中,不吸烟受试者的CD20 +、CD68 +、CD3 +细胞数量均显著多于吸烟受试者(p < 0.00),而CD45RO方面无显著差异(p = 0.120)。

结论

吸烟会导致牙周结缔组织中浸润性单核慢性炎症细胞减少。

https://cdn.ncbi.nlm.nih.gov/pmc/blobs/e0aa/5614279/a97509990143/EPJ-09-4961-g002.jpg
https://cdn.ncbi.nlm.nih.gov/pmc/blobs/e0aa/5614279/219a2da4752a/EPJ-09-4961-g001.jpg
https://cdn.ncbi.nlm.nih.gov/pmc/blobs/e0aa/5614279/a97509990143/EPJ-09-4961-g002.jpg
https://cdn.ncbi.nlm.nih.gov/pmc/blobs/e0aa/5614279/219a2da4752a/EPJ-09-4961-g001.jpg
https://cdn.ncbi.nlm.nih.gov/pmc/blobs/e0aa/5614279/a97509990143/EPJ-09-4961-g002.jpg

相似文献

1
The effect of smoking on inflammatory cell infiltrate subtypes in gingival tissue of patients with chronic periodontitis.吸烟对慢性牙周炎患者牙龈组织中炎症细胞浸润亚型的影响。
Electron Physician. 2017 Aug 25;9(8):4961-4967. doi: 10.19082/4961. eCollection 2017 Aug.
2
The actin-bundling protein L-plastin: a novel local inflammatory marker associated with periodontitis.肌动蛋白成束蛋白L-丝聚蛋白:一种与牙周炎相关的新型局部炎症标志物。
J Periodontal Res. 2015 Jun;50(3):337-46. doi: 10.1111/jre.12212. Epub 2014 Jul 12.
3
Levels of interleukin-1 beta, -8, and -10 and RANTES in gingival crevicular fluid and cell populations in adult periodontitis patients and the effect of periodontal treatment.成年牙周炎患者龈沟液中白细胞介素-1β、-8、-10和调节激活正常T细胞表达和分泌的趋化因子水平及细胞群,以及牙周治疗的效果
J Periodontol. 2000 Oct;71(10):1535-45. doi: 10.1902/jop.2000.71.10.1535.
4
The effect of low-level laser therapy as an adjunct to non-surgical periodontal treatment on gingival crevicular fluid levels of transforming growth factor-beta 1, tissue plasminogen activator and plasminogen activator inhibitor 1 in smoking and non-smoking chronic periodontitis patients: A split-mouth, randomized control study.低水平激光疗法作为非手术牙周治疗的辅助手段对吸烟和非吸烟慢性牙周炎患者龈沟液中转化生长因子-β1、组织纤溶酶原激活物和纤溶酶原激活物抑制剂 1 水平的影响:一项分口、随机对照研究。
J Periodontal Res. 2017 Oct;52(5):872-882. doi: 10.1111/jre.12457. Epub 2017 Apr 10.
5
The effect of smoking on inflammatory and bone remodeling markers in gingival crevicular fluid and subgingival microbiota following periodontal therapy.吸烟对牙周治疗后龈沟液中炎症和骨改建标志物及龈下菌群的影响。
J Periodontal Res. 2017 Aug;52(4):713-724. doi: 10.1111/jre.12438. Epub 2017 Mar 17.
6
The effect of smoking on gingival crevicular fluid peptidoglycan recognition protein-1 level following initial periodontal therapy in chronic periodontitis.吸烟对慢性牙周炎初始牙周治疗后龈沟液肽聚糖识别蛋白-1水平的影响。
Oral Dis. 2020 Jan;26(1):166-172. doi: 10.1111/odi.13207. Epub 2019 Oct 21.
7
Does smoking affect gingival crevicular fluid LL-37 levels following non-surgical periodontal treatment in chronic periodontitis?吸烟是否会影响慢性牙周炎非手术牙周治疗后龈沟液中LL-37的水平?
Arch Oral Biol. 2016 Jan;61:98-105. doi: 10.1016/j.archoralbio.2015.10.018. Epub 2015 Oct 27.
8
Identification of the osteoprotegerin/receptor activator of nuclear factor-kappa B ligand system in gingival crevicular fluid and tissue of patients with chronic periodontitis.慢性牙周炎患者龈沟液和组织中骨保护素/核因子-κB 受体激活剂配体系统的鉴定
J Periodontal Res. 2006 Aug;41(4):354-60. doi: 10.1111/j.1600-0765.2006.00883.x.
9
Effect of scaling and root planing on interleukin-1β, interleukin-8 and MMP-8 levels in gingival crevicular fluid from chronic periodontitis patients.龈下刮治和根面平整对慢性牙周炎患者龈沟液中白细胞介素-1β、白细胞介素-8 和基质金属蛋白酶-8 水平的影响。
J Periodontal Res. 2012 Dec;47(6):681-8. doi: 10.1111/j.1600-0765.2012.01480.x. Epub 2012 Apr 18.
10
Levels of high-mobility group box-1 in gingival crevicular fluid in nonsmokers and smokers with chronic periodontitis.龈沟液中高迁移率族蛋白 B1 在不吸烟和吸烟慢性牙周炎患者中的水平。
J Formos Med Assoc. 2017 Dec;116(12):933-939. doi: 10.1016/j.jfma.2017.01.006. Epub 2017 Feb 13.

引用本文的文献

1
Importin 8 is involved in human periodontitis by the NF-κB pathway.输入蛋白8通过核因子κB通路参与人类牙周炎的发生。
Int J Clin Exp Pathol. 2019 Mar 1;12(3):711-716. eCollection 2019.
2
Cyclophilin a increases CD68 cell infiltration in rat experimental periodontitis.亲环素 A 增加大鼠实验性牙周炎中 CD68 细胞的浸润。
J Mol Histol. 2018 Apr;49(2):157-164. doi: 10.1007/s10735-018-9755-6. Epub 2018 Jan 9.

本文引用的文献

1
A haplotype block downstream of plasminogen is associated with chronic and aggressive periodontitis.纤溶酶原下游的单体型块与慢性和侵袭性牙周炎有关。
J Clin Periodontol. 2017 Oct;44(10):962-970. doi: 10.1111/jcpe.12749. Epub 2017 Sep 11.
2
Resveratrol Inhibits Periodontitis-Related Bone Loss in Rats Subjected to Cigarette Smoke Inhalation.白藜芦醇抑制吸烟大鼠牙周炎相关骨丢失。
J Periodontol. 2017 Aug;88(8):788-798. doi: 10.1902/jop.2017.170025. Epub 2017 May 11.
3
The effect of smoking on inflammatory and bone remodeling markers in gingival crevicular fluid and subgingival microbiota following periodontal therapy.
吸烟对牙周治疗后龈沟液中炎症和骨改建标志物及龈下菌群的影响。
J Periodontal Res. 2017 Aug;52(4):713-724. doi: 10.1111/jre.12438. Epub 2017 Mar 17.
4
Assessment of Periodontal Health Status in Smokers and Smokeless Tobacco Users: A Cross-Sectional Study.吸烟者和无烟烟草使用者牙周健康状况评估:一项横断面研究。
J Clin Diagn Res. 2016 Oct;10(10):ZC143-ZC146. doi: 10.7860/JCDR/2016/22160.8700. Epub 2016 Oct 1.
5
The impact of smoking on levels of chronic periodontitis-associated biomarkers.吸烟对慢性牙周炎相关生物标志物水平的影响。
Exp Mol Pathol. 2016 Aug;101(1):110-5. doi: 10.1016/j.yexmp.2016.07.004. Epub 2016 Jul 20.
6
Tooth loss and alveolar bone crest loss during supportive periodontal therapy in patients with generalized aggressive periodontitis: retrospective study with follow-up of 8 to 15 years.广泛侵袭性牙周炎患者在支持性牙周治疗期间的牙齿丧失和牙槽嵴顶丧失:8至15年随访的回顾性研究
J Clin Periodontol. 2016 Dec;43(12):1109-1115. doi: 10.1111/jcpe.12596. Epub 2016 Oct 7.
7
Evaluation of anticardiolipin antibodies in tobacco users and non-tobacco users with severe chronic periodontal disease.重度慢性牙周病吸烟者与非吸烟者抗心磷脂抗体的评估。
J Int Soc Prev Community Dent. 2016 May-Jun;6(3):256-60. doi: 10.4103/2231-0762.183115. Epub 2016 May 30.
8
Lymphocyte Apoptosis in Smokers and Non-Smokers Following Different Intensity of Exercises and Relation with Lactate.不同强度运动后吸烟者与非吸烟者的淋巴细胞凋亡及其与乳酸的关系
Int J Exerc Sci. 2011 Jul 15;4(3):204-216. doi: 10.70252/PRLF3377. eCollection 2011.
9
Periodontal Status and Whole Salivary Cytokine Profile Among Smokers and Never-Smokers With and Without Prediabetes.有和没有糖尿病前期的吸烟者与从不吸烟者的牙周状况及全唾液细胞因子谱
J Periodontol. 2015 Jul;86(7):890-8. doi: 10.1902/jop.2015.140593. Epub 2015 Feb 12.
10
Current perspective of the impact of smoking on the progression and treatment of periodontitis.目前对吸烟影响牙周炎进展和治疗的观点。
Periodontol 2000. 2015 Feb;67(1):187-210. doi: 10.1111/prd.12063.