Suppr超能文献

姜黄素对大鼠鼻粘膜创伤模型伤口愈合的影响。

The Effects of Curcumin on Wound Healing in a Rat Model of Nasal Mucosal Trauma.

作者信息

Emiroglu Gokhan, Ozergin Coskun Zerrin, Kalkan Yildiray, Celebi Erdivanli Ozlem, Tumkaya Levent, Terzi Suat, Özgür Abdulkadir, Demirci Munir, Dursun Engin

机构信息

Department of Otorhinolaryngology, Recep Tayyip Erdogan University Medical Faculty, Rize, Turkey.

Department of Histology and Embryology, Recep Tayyip Erdogan University Medical Faculty, Rize, Turkey.

出版信息

Evid Based Complement Alternat Med. 2017;2017:9452392. doi: 10.1155/2017/9452392. Epub 2017 Sep 5.

Abstract

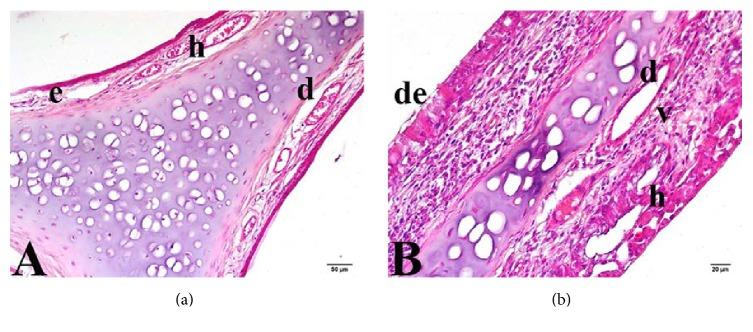
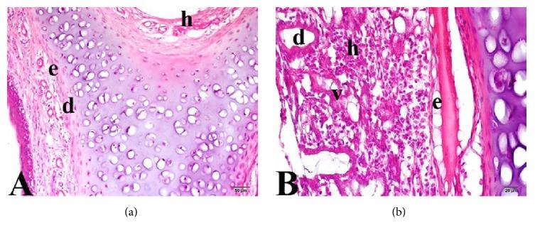
We explored the effects of topical curcumin on the healing of nasal mucosal wounds. A total of 32 Sprague-Dawley Albino rats were randomized in equal numbers into four groups, and unilateral nasal wounds were created using an interdental brush. Group 1 (the sham-control group) contained untreated rats with traumatized right-side nasal cavities; Group 2 and 3 rats were similarly traumatized and treated with topical curcumin (5 and 10 mg/mL) dissolved in dimethyl sulfoxide daily for 7 days after trauma; Group 4 rats were treated with topical dimethyl sulfoxide only. All rats were decapitated on day 15 and the healing sites evaluated by blinded observers in terms of the presence of cellular hyperplasia, goblet cell hypertrophy and degeneration, leucocytic infiltration, ciliary loss and degeneration, edema, and vascular dilation. On histopathological evaluation, all of cellular hyperplasia, leukocytic infiltration, and edema were significantly reduced in Group 3 compared with Group 1 ( = 0.001, = 0.004, and = 0.008, resp.). Thus, curcumin reduced the inflammatory response and significantly accelerated wound healing.

摘要

我们探讨了局部应用姜黄素对鼻黏膜伤口愈合的影响。将32只Sprague-Dawley白化大鼠随机等分为四组,使用牙间隙刷造成单侧鼻伤口。第1组(假手术对照组)为右侧鼻腔受创伤但未治疗的大鼠;第2组和第3组大鼠同样受创伤,并在创伤后每天用溶解于二甲基亚砜中的局部姜黄素(5和10mg/mL)治疗7天;第4组大鼠仅用局部二甲基亚砜治疗。所有大鼠在第15天断头,由不知情的观察者根据细胞增生、杯状细胞肥大和变性、白细胞浸润、纤毛丧失和变性、水肿以及血管扩张的情况评估愈合部位。在组织病理学评估中,与第1组相比,第3组的所有细胞增生、白细胞浸润和水肿均显著减少(分别为P = 0.001、P = 0.004和P = 0.008)。因此,姜黄素减轻了炎症反应并显著加速了伤口愈合。

https://cdn.ncbi.nlm.nih.gov/pmc/blobs/2930/5605863/3d122b35123e/ECAM2017-9452392.001.jpg

文献AI研究员

20分钟写一篇综述,助力文献阅读效率提升50倍。

立即体验

用中文搜PubMed

大模型驱动的PubMed中文搜索引擎

马上搜索

文档翻译

学术文献翻译模型,支持多种主流文档格式。

立即体验