Suppr超能文献

血管抑制素-1在膀胱癌中的表达及其预后意义

The expression of vasohibin-1 and its prognostic significance in bladder cancer.

作者信息

Zhang Bo, Wu Zhouliang, Xie Wanqin, Tian Dawei, Chen Feiran, Qin Chuan, Du Zhiyong, Tang Gang, Gao Qiongqiong, Qiu Xiaoyu, Wu Changli, Tian Jing, Hu Hailong

机构信息

Department of Urology, Second Hospital of Tianjin Medical University, Tianjin 300211, P.R. China.

Department of Ultrasound, Second Hospital of Tianjin Medical University, Tianjin 300211, P.R. China.

出版信息

Exp Ther Med. 2017 Oct;14(4):3477-3484. doi: 10.3892/etm.2017.4969. Epub 2017 Aug 18.

Abstract

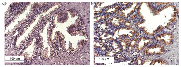
Angiogenesis is important in the development of solid tumors. Vasohibin-1 (VASH-1) is an endothelium-derived protein that acts as an inhibitor of angiogenesis in many different types of cancer. However, the expression of VASH-1 and its clinical value in bladder cancer remain unknown. The current study analyzed the expression of VASH-1, as well as the expression of the angiogenesis-related factors vascular endothelial growth factor-A, hypoxia inducible factor-1α and cluster of differentiation 34 in bladder cancer tissues from 50 patients using immunohistochemistry. The associations between the expression of these factors and the clinicopathological characteristics of the patients were assessed. The current study demonstrated that VASH-1 is primarily expressed in the cytoplasm of bladder cancer cells and in a fraction of vascular endothelial cells. Furthermore, the expression of VASH-1 was positively associated with the tumor stage (P<0.01), pathological grade (P<0.01) and distant metastasis (P<0.05) but not with patient age or sex (P>0.05). Spearman rank correlation tests indicated that levels of those four factors were positively correlated with each other. Kaplan-Meier analysis indicated that high expression of these four factors was significantly associated with lower 5-year overall survival and progression-free survival rates. Collectively, the results of the current study suggest that VASH-1 is clinically significant in bladder cancer and its high expression may predict the progression and prognosis of patients with bladder cancer. The present study also implies that VASH-1 may be a novel target for vascular targeting therapy.

摘要

血管生成在实体瘤的发展过程中至关重要。血管抑制素-1(VASH-1)是一种内皮细胞衍生蛋白,在多种不同类型的癌症中发挥血管生成抑制剂的作用。然而,VASH-1在膀胱癌中的表达及其临床价值仍不清楚。本研究采用免疫组织化学方法分析了50例膀胱癌组织中VASH-1的表达,以及血管生成相关因子血管内皮生长因子-A、缺氧诱导因子-1α和分化簇34的表达。评估了这些因子的表达与患者临床病理特征之间的关联。本研究表明,VASH-1主要表达于膀胱癌细胞的细胞质以及部分血管内皮细胞中。此外,VASH-1的表达与肿瘤分期(P<0.01)、病理分级(P<0.01)和远处转移(P<0.05)呈正相关,但与患者年龄或性别无关(P>0.05)。Spearman等级相关检验表明,这四种因子的水平彼此呈正相关。Kaplan-Meier分析表明,这四种因子的高表达与较低的5年总生存率和无进展生存率显著相关。总体而言,本研究结果表明,VASH-1在膀胱癌中具有临床意义,其高表达可能预测膀胱癌患者的病情进展和预后。本研究还提示,VASH-1可能是血管靶向治疗的一个新靶点。

https://cdn.ncbi.nlm.nih.gov/pmc/blobs/5cb5/5639433/b5c48fa1b3ca/etm-14-04-3477-g00.jpg

文献AI研究员

20分钟写一篇综述,助力文献阅读效率提升50倍。

立即体验

用中文搜PubMed

大模型驱动的PubMed中文搜索引擎

马上搜索

文档翻译

学术文献翻译模型,支持多种主流文档格式。

立即体验