Suppr超能文献

Nevus Lipomatosus Superficialis on the Left Proximal Arm.

作者信息

Leung Alexander K C, Barankin Benjamin

机构信息

Department of Pediatrics, The University of Calgary, Calgary, AB, Canada T2M 0H5.

The Alberta Children's Hospital, Calgary, AB, Canada T2M 0H5.

出版信息

Case Rep Dermatol Med. 2017;2017:6908750. doi: 10.1155/2017/6908750. Epub 2017 Sep 13.

Abstract

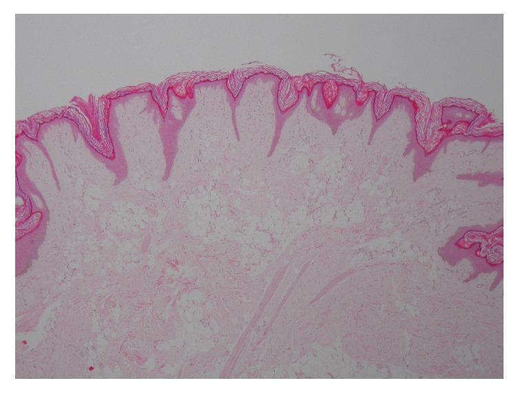
We report a 58-year-old woman with a solitary type of nevus lipomatosus superficialis on the left proximal arm. To our knowledge, the occurrence of a solitary type of nevus lipomatosus superficialis on the arm has very rarely been reported. A perusal of the literature revealed but one case, to which we are going to add another one. Recognition of this clinical manifestation is important so that a proper diagnosis can be made.

摘要
https://cdn.ncbi.nlm.nih.gov/pmc/blobs/87d7/5615980/74d8802035b6/CRIDM2017-6908750.001.jpg

相似文献

1
Nevus Lipomatosus Superficialis on the Left Proximal Arm.
Case Rep Dermatol Med. 2017;2017:6908750. doi: 10.1155/2017/6908750. Epub 2017 Sep 13.
2
Nevus lipomatosus cutaneous superficialis on the shoulder: A case report with MRI findings.
Radiol Case Rep. 2019 Aug 13;14(10):1259-1263. doi: 10.1016/j.radcr.2019.07.009. eCollection 2019 Oct.
3
Nevus lipomatosus cutaneous superficialis.
An Bras Dermatol. 2017 Sep-Oct;92(5):711-713. doi: 10.1590/abd1806-4841.20175217.
5
Solitary nevus lipomatosus superficialis on the forehead.
Ann Plast Surg. 1986 Apr;16(4):356-8. doi: 10.1097/00000637-198604000-00011.
6
Nevus Lipomatosus Cutaneous Superficialis Mimicking an Acrochordon.
Cureus. 2021 Feb 25;13(2):e13554. doi: 10.7759/cureus.13554.
7
Nevus lipomatosus superficialis.
Singapore Med J. 2009 May;50(5):e161-2.
9
Nevus lipomatosus cutaneous superficialis.
An Bras Dermatol. 2016 Sep-Oct;91(5 suppl 1):114-115. doi: 10.1590/abd1806-4841.20164570.
10
Giant Nevus Lipomatosus Cutaneous Superficialis on the Buttock.
Plast Reconstr Surg Glob Open. 2018 Nov 21;6(11):e1918. doi: 10.1097/GOX.0000000000001918. eCollection 2018 Nov.

引用本文的文献

1
Giant Nevus Lipomatosus Cutaneous Superficialis on the Buttock.
Plast Reconstr Surg Glob Open. 2018 Nov 21;6(11):e1918. doi: 10.1097/GOX.0000000000001918. eCollection 2018 Nov.

本文引用的文献

1
Nevus Lipomatosus Cutaneous Superficialis - A Rare Hamartoma: Report of Two Cases.
J Clin Diagn Res. 2016 Oct;10(10):WD01-WD02. doi: 10.7860/JCDR/2016/19126.8595. Epub 2016 Oct 1.
2
Nevus Lipomatosus Cutaneous Superficialis: A Report of Two Cases.
Indian J Dermatol. 2016 Jan-Feb;61(1):123. doi: 10.4103/0019-5154.174153.
4
Nevus lipomatosus superficialis unseen or unrecognized: a report of eight cases.
J Cutan Med Surg. 2013 Sep-Oct;17(5):335-9. doi: 10.2310/7750.2013.12125.
5
Nevus lipomatosus cutaneous superficialis: Report of eight cases.
Dermatol Ther (Heidelb). 2011 Dec;1(2):25-30. doi: 10.1007/s13555-011-0006-y. Epub 2011 Sep 9.
6
Naevus lipomatosus superficialis: a case report with a 2p24 deletion.
Br J Dermatol. 2007 Feb;156(2):380-1. doi: 10.1111/j.1365-2133.2006.07622.x.
8
Solitary nevus lipomatosus superficialis on the forehead.
Ann Plast Surg. 1986 Apr;16(4):356-8. doi: 10.1097/00000637-198604000-00011.
10
Solitary nevus lipomatosus cutaneous superficialis of the knee.
Arch Dermatol. 1978 Aug;114(8):1226-7. doi: 10.1001/archderm.1978.01640200078023.

文献AI研究员

20分钟写一篇综述,助力文献阅读效率提升50倍。

立即体验

用中文搜PubMed

大模型驱动的PubMed中文搜索引擎

马上搜索

文档翻译

学术文献翻译模型,支持多种主流文档格式。

立即体验