Suppr超能文献

玻璃体内地塞米松植入剂(Ozurdex®)的一种新的副作用。

A New Side Effect of Intravitreal Dexamethasone Implant (Ozurdex®).

作者信息

Eris Erdem, Erdogan Gurkan, Perente Irfan, Demir Gokhan, Kepez Yildiz Burcin, Aygit Ebru Demet

机构信息

Dr. Resat Belger Beyoglu Eye Training and Research Hospital, Istanbul, Turkey.

出版信息

Case Rep Ophthalmol Med. 2017;2017:6369085. doi: 10.1155/2017/6369085. Epub 2017 Oct 2.

Abstract

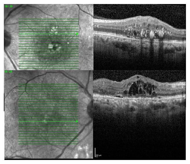
Dexamethasone implant, 0,7 mg (Ozurdex, Allergan, Inc., Irvine, CA, USA), is drug mostly used in the treatment of the diabetic macular edema and edema related to retinal vein occlusion. By reporting this case we aimed to report a new side effect of 0.7 mg intravitreal dexamethasone implant that has not been reported in the literature before.

摘要

地塞米松植入剂,0.7毫克(奥助得,爱力根公司,美国加利福尼亚州欧文市),是一种主要用于治疗糖尿病性黄斑水肿及视网膜静脉阻塞相关水肿的药物。通过报告该病例,我们旨在报道一种0.7毫克玻璃体内注射地塞米松植入剂的新副作用,此副作用此前尚未见文献报道。

https://cdn.ncbi.nlm.nih.gov/pmc/blobs/951f/5643104/5cc508848a9d/CRIOPM2017-6369085.001.jpg

文献检索

告别复杂PubMed语法,用中文像聊天一样搜索,搜遍4000万医学文献。AI智能推荐,让科研检索更轻松。

立即免费搜索

文件翻译

保留排版,准确专业,支持PDF/Word/PPT等文件格式,支持 12+语言互译。

免费翻译文档

深度研究

AI帮你快速写综述,25分钟生成高质量综述,智能提取关键信息,辅助科研写作。

立即免费体验