Suppr超能文献

鲫鱼(Carassius carassius L.)肤色变异潜在分子机制的比较转录组和DNA甲基化分析

Comparative Transcriptome and DNA methylation analyses of the molecular mechanisms underlying skin color variations in Crucian carp (Carassius carassius L.).

作者信息

Zhang Yongqin, Liu Jinhui, Fu Wen, Xu Wenting, Zhang Huiqin, Chen Shujuan, Liu Wenbin, Peng Liangyue, Xiao Yamei

机构信息

State Key Laboratory of Developmental Biology of Freshwater Fish, Hunan Normal University, Changsha, Hunan, 410081, China.

School of Life Sciences, Hunan Normal University, Changsha, Hunan, 410081, China.

出版信息

BMC Genet. 2017 Nov 9;18(1):95. doi: 10.1186/s12863-017-0564-9.

Abstract

BACKGROUND

Crucian carp is a popular ornamental strain in Asia with variants in body color. To further explore the genetic mechanisms underlying gray and red body color formation in crucian carp, the skin transcriptomes and partial DNA methylation sites were obtained from red crucian carp (RCC) and white crucian carp (WCC). Here, we show significant differences in mRNA expression and DNA methylation sites between skin tissues of RCC and WCC.

RESULTS

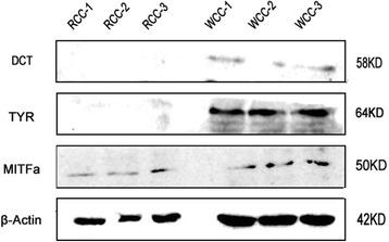
Totals of 3434 and 3683 unigenes had significantly lower and higher expression in WCC, respectively, compared with unigenes expressed in RCC. Some potential genes for body color development were further identified by quantitative polymerase chain reaction, such as mitfa, tyr, tyrp1, and dct, which were down-regulated, and foxd3, hpda, ptps, and gch1, which were up-regulated. A KEGG pathway analysis indicated that the differentially expressed genes were mainly related to mitogen activated protein kinase (MAPK), Wnt, cell cycle, and endocytosis signaling pathways, as well as variations in melanogenesis in crucian carp. In addition, some differentially expressed DNA methylation site genes were related to pigmentation, including mitfa, tyr, dct, foxd3, and hpda. The differentially expressed DNA methylation sites were mainly involved in signaling pathways, including MAPK, cAMP, endocytosis, melanogenesis, and Hippo.

CONCLUSIONS

Our study provides the results of comparative transcriptome and DNA methylation analyses between RCC and WCC skin tissues and reveals that the molecular mechanism of body color variation in crucian carp is strongly related to disruptions in gene expression and DNA methylation during pigmentation.

摘要

背景

鲫鱼是亚洲一种受欢迎的具有体色变异的观赏品种。为了进一步探究鲫鱼灰色和红色体色形成的遗传机制,我们从红鲫(RCC)和白鲫(WCC)中获取了皮肤转录组和部分DNA甲基化位点。在此,我们展示了RCC和WCC皮肤组织之间mRNA表达和DNA甲基化位点的显著差异。

结果

与RCC中表达的单基因相比,WCC中分别有3434个和3683个单基因表达显著降低和升高。通过定量聚合酶链反应进一步鉴定了一些体色发育的潜在基因,如下调的mitfa、tyr、tyrp1和dct,以及上调的foxd3、hpda、ptps和gch1。KEGG通路分析表明,差异表达基因主要与丝裂原活化蛋白激酶(MAPK)、Wnt、细胞周期和内吞信号通路以及鲫鱼黑色素生成的变化有关。此外,一些差异表达的DNA甲基化位点基因与色素沉着有关,包括mitfa、tyr、dct、foxd3和hpda。差异表达的DNA甲基化位点主要参与信号通路,包括MAPK、cAMP、内吞、黑色素生成和Hippo。

结论

我们的研究提供了RCC和WCC皮肤组织之间转录组和DNA甲基化比较分析的结果,并揭示鲫鱼体色变异的分子机制与色素沉着过程中基因表达和DNA甲基化的破坏密切相关。

https://cdn.ncbi.nlm.nih.gov/pmc/blobs/73f2/5680753/68f8b7b7be09/12863_2017_564_Fig1_HTML.jpg

文献检索

告别复杂PubMed语法,用中文像聊天一样搜索,搜遍4000万医学文献。AI智能推荐,让科研检索更轻松。

立即免费搜索

文件翻译

保留排版,准确专业,支持PDF/Word/PPT等文件格式,支持 12+语言互译。

免费翻译文档

深度研究

AI帮你快速写综述,25分钟生成高质量综述,智能提取关键信息,辅助科研写作。

立即免费体验