• 文献检索
  • 文档翻译
  • 深度研究
  • 学术资讯
  • Suppr Zotero 插件Zotero 插件
  • 邀请有礼
  • 套餐&价格
  • 历史记录
应用&插件
Suppr Zotero 插件Zotero 插件浏览器插件Mac 客户端Windows 客户端微信小程序
定价
高级版会员购买积分包购买API积分包
服务
文献检索文档翻译深度研究API 文档MCP 服务
关于我们
关于 Suppr公司介绍联系我们用户协议隐私条款
关注我们

Suppr 超能文献

核心技术专利:CN118964589B侵权必究
粤ICP备2023148730 号-1Suppr @ 2026

文献检索

告别复杂PubMed语法,用中文像聊天一样搜索,搜遍4000万医学文献。AI智能推荐,让科研检索更轻松。

立即免费搜索

文件翻译

保留排版,准确专业,支持PDF/Word/PPT等文件格式,支持 12+语言互译。

免费翻译文档

深度研究

AI帮你快速写综述,25分钟生成高质量综述,智能提取关键信息,辅助科研写作。

立即免费体验

与非药物相关性急性呼吸窘迫综合征相比,药物相关性急性呼吸窘迫综合征的临床特征和预后:日本单中心回顾性研究。

Clinical characteristics and prognosis of drug-associated acute respiratory distress syndrome compared with non-drug-associated acute respiratory distress syndrome: a single-centre retrospective study in Japan.

机构信息

Division of Respiratory Medicine, Saiseikai Kumamoto Hospital, Kumamoto, Japan.

Department of Radiology, Kiniki Central Hospital of Mutual Aid Association of Public School Teachers, Itami, Hyogo, Japan.

出版信息

BMJ Open. 2017 Nov 8;7(11):e015330. doi: 10.1136/bmjopen-2016-015330.

DOI:10.1136/bmjopen-2016-015330
PMID:29122783
原文链接:https://pmc.ncbi.nlm.nih.gov/articles/PMC5695405/
Abstract

OBJECTIVES

To report the clinical features and prognosis of drug-associatedacute respiratory distress syndrome (ARDS).

DESIGN

A retrospective analysis of data collected during a prospective cohort study.

SETTING

Intensive care unit in a teaching hospital.

PARTICIPANTS

A total of 197 Japanese patients with ARDS diagnosed by the Berlin definition who were admitted to the Division of Respiratory Medicine from October 2004 to December 2015 were enrolled in the study and were classified as two groups according to their causes: a drug-associated ARDS group (n=27) and a non-drug-associated ARDS group (n=170). Primary outcome measure is 28-day mortality, and the secondaryoutcome measure is ventilator-free days.

RESULTS

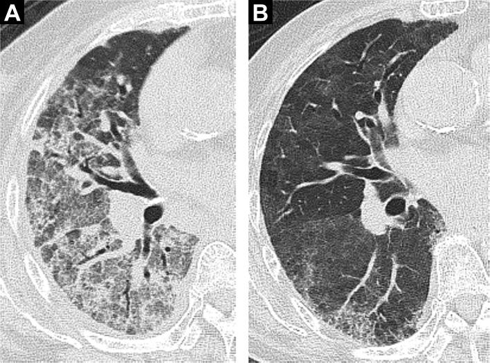
The Acute Physiology and Chronic Health Evaluation II scores were significantly lower in the drug-associated ARDS group than in the non-drug-associated ARDS group (median (IQR): 18.0 (16.5-21.0) vs 23.0 (18.0-26.0), p<0.001), and the arterial oxygen tension/fractional inspired oxygen ratio was higher (148.0 (114.1-177.5) vs 101.0 (71.5-134.0), p=0.003). In the drug-associated ARDS group, although high-resolution CT scores indicative of the extent of fibroproliferation (301.6 (244.1-339.8) vs 208.3 (183.4-271.6), p<0.001), serum lactate dehydrogenase levels (477 (365-585) vs 322 (246-434), p=0.003) and the McCabe scores (score 1/2/3, n (%): 20 (74)/4 (15)/3 (11)vs154 (91)/7 (4)/9 (5), p=0.04) were significantly higher, ventilator weaning was earlier (p<0.001) and 28-day mortality was better (p=0.043). After adjusting for potentially confounding covariates, drug-associated ARDS group was associated with lower 28-day mortality (adjusted HR (HR) 0.275; 95% CI 0.106 to 0.711; p=0.008).

CONCLUSIONS

Although more severe lung damage with fibroproliferation was observed in patients with drug-associated ARDS, ventilator weaning was earlier, and their prognosis was better than the others. Further well-designed prospective studies are needed.

摘要

目的

报告药物相关性急性呼吸窘迫综合征(ARDS)的临床特征和预后。

设计

前瞻性队列研究中数据的回顾性分析。

地点

教学医院的重症监护病房。

参与者

2004 年 10 月至 2015 年 12 月期间,根据柏林定义诊断为 ARDS 的 197 例日本 ARDS 患者被纳入研究,并根据病因分为两组:药物相关性 ARDS 组(n=27)和非药物相关性 ARDS 组(n=170)。主要结局指标为 28 天死亡率,次要结局指标为无呼吸机天数。

结果

药物相关性 ARDS 组的急性生理学和慢性健康评估 II 评分明显低于非药物相关性 ARDS 组(中位数(IQR):18.0(16.5-21.0)比 23.0(18.0-26.0),p<0.001),动脉血氧分压/吸入氧分数比更高(148.0(114.1-177.5)比 101.0(71.5-134.0),p=0.003)。在药物相关性 ARDS 组中,尽管提示纤维增生程度的高分辨率 CT 评分较高(301.6(244.1-339.8)比 208.3(183.4-271.6),p<0.001)、血清乳酸脱氢酶水平(477(365-585)比 322(246-434),p=0.003)和 McCabe 评分(评分 1/2/3,n(%):20(74)/4(15)/3(11)比 154(91)/7(4)/9(5),p=0.04)较高,但呼吸机撤机更早(p<0.001),28 天死亡率更好(p=0.043)。在调整了潜在混杂因素后,药物相关性 ARDS 组与较低的 28 天死亡率相关(调整后的 HR(HR)0.275;95%CI 0.106 至 0.711;p=0.008)。

结论

尽管药物相关性 ARDS 患者的肺部损伤更严重,伴有纤维增生,但呼吸机撤机更早,预后更好。需要进一步设计良好的前瞻性研究。

https://cdn.ncbi.nlm.nih.gov/pmc/blobs/0f6e/5695405/c6d2a80ea431/bmjopen-2016-015330f05.jpg
https://cdn.ncbi.nlm.nih.gov/pmc/blobs/0f6e/5695405/5477d37adfdd/bmjopen-2016-015330f01.jpg
https://cdn.ncbi.nlm.nih.gov/pmc/blobs/0f6e/5695405/727f4db67226/bmjopen-2016-015330f02.jpg
https://cdn.ncbi.nlm.nih.gov/pmc/blobs/0f6e/5695405/c93136929f25/bmjopen-2016-015330f03.jpg
https://cdn.ncbi.nlm.nih.gov/pmc/blobs/0f6e/5695405/2a83fcd9197f/bmjopen-2016-015330f04.jpg
https://cdn.ncbi.nlm.nih.gov/pmc/blobs/0f6e/5695405/c6d2a80ea431/bmjopen-2016-015330f05.jpg
https://cdn.ncbi.nlm.nih.gov/pmc/blobs/0f6e/5695405/5477d37adfdd/bmjopen-2016-015330f01.jpg
https://cdn.ncbi.nlm.nih.gov/pmc/blobs/0f6e/5695405/727f4db67226/bmjopen-2016-015330f02.jpg
https://cdn.ncbi.nlm.nih.gov/pmc/blobs/0f6e/5695405/c93136929f25/bmjopen-2016-015330f03.jpg
https://cdn.ncbi.nlm.nih.gov/pmc/blobs/0f6e/5695405/2a83fcd9197f/bmjopen-2016-015330f04.jpg
https://cdn.ncbi.nlm.nih.gov/pmc/blobs/0f6e/5695405/c6d2a80ea431/bmjopen-2016-015330f05.jpg

相似文献

1
Clinical characteristics and prognosis of drug-associated acute respiratory distress syndrome compared with non-drug-associated acute respiratory distress syndrome: a single-centre retrospective study in Japan.与非药物相关性急性呼吸窘迫综合征相比,药物相关性急性呼吸窘迫综合征的临床特征和预后:日本单中心回顾性研究。
BMJ Open. 2017 Nov 8;7(11):e015330. doi: 10.1136/bmjopen-2016-015330.
2
Prognostic values of the Berlin definition criteria, blood lactate level, and fibroproliferative changes on high-resolution computed tomography in ARDS patients.柏林定义标准、血乳酸水平和 ARDS 患者高分辨率 CT 上纤维增生性改变的预后价值。
BMC Pulm Med. 2019 Feb 11;19(1):37. doi: 10.1186/s12890-019-0803-0.
3
[Value of procalcitonin on predicting the severity and prognosis in patients with early ARDS: a prospective observation study].[降钙素原对早期急性呼吸窘迫综合征患者严重程度及预后的预测价值:一项前瞻性观察研究]
Zhonghua Wei Zhong Bing Ji Jiu Yi Xue. 2017 Jan;29(1):34-38. doi: 10.3760/cma.j.issn.2095-4352.2017.01.008.
4
[Analysis of characteristics and related risk factors of prognosis in elderly and young adult patients with acute respiratory distress syndrome].[老年与青年急性呼吸窘迫综合征患者预后特征及相关危险因素分析]
Zhonghua Wei Zhong Bing Ji Jiu Yi Xue. 2014 Nov;26(11):794-8. doi: 10.3760/cma.j.issn.2095-4352.2014.11.006.
5
Liposomal prostaglandin E1 (TLC C-53) in acute respiratory distress syndrome: a controlled, randomized, double-blind, multicenter clinical trial. TLC C-53 ARDS Study Group.脂质体前列腺素E1(TLC C-53)治疗急性呼吸窘迫综合征:一项对照、随机、双盲、多中心临床试验。TLC C-53急性呼吸窘迫综合征研究组
Crit Care Med. 1999 Aug;27(8):1478-85. doi: 10.1097/00003246-199908000-00013.
6
[Risk factors of the occurence and death of acute respiratory distress syndrome: a prospective multicenter cohort study].[急性呼吸窘迫综合征发生与死亡的危险因素:一项前瞻性多中心队列研究]
Zhonghua Wei Zhong Bing Ji Jiu Yi Xue. 2014 Nov;26(11):773-9. doi: 10.3760/cma.j.issn.2095-4352.2014.11.002.
7
Regional distribution of gas and tissue in acute respiratory distress syndrome. II. Physiological correlations and definition of an ARDS Severity Score. CT Scan ARDS Study Group.急性呼吸窘迫综合征中气体与组织的区域分布。II. 生理相关性及ARDS严重程度评分的定义。CT扫描ARDS研究组
Intensive Care Med. 2000 Aug;26(8):1046-56. doi: 10.1007/s001340051317.
8
[The value of lung ultrasound score on evaluating clinical severity and prognosis in patients with acute respiratory distress syndrome].[肺部超声评分在评估急性呼吸窘迫综合征患者临床严重程度及预后中的价值]
Zhonghua Wei Zhong Bing Ji Jiu Yi Xue. 2015 Jul;27(7):579-84. doi: 10.3760/cma.j.issn.2095-4352.2015.07.008.
9
Assessment of PaO₂/FiO₂ for stratification of patients with moderate and severe acute respiratory distress syndrome.评估氧合指数(PaO₂/FiO₂)用于中重度急性呼吸窘迫综合征患者的分层。
BMJ Open. 2015 Mar 27;5(3):e006812. doi: 10.1136/bmjopen-2014-006812.
10
Epidemiology, Mechanical Power, and 3-Year Outcomes in Acute Respiratory Distress Syndrome Patients Using Standardized Screening. An Observational Cohort Study.标准化筛查在急性呼吸窘迫综合征患者中的流行病学、机械动力和 3 年结局:一项观察性队列研究。
Ann Am Thorac Soc. 2019 Oct;16(10):1263-1272. doi: 10.1513/AnnalsATS.201812-910OC.

引用本文的文献

1
Diagnostic approach in acute hypoxemic respiratory failure.急性低氧性呼吸衰竭的诊断方法
J Intensive Med. 2024 Nov 8;5(2):119-126. doi: 10.1016/j.jointm.2024.09.003. eCollection 2025 Apr.
2
Clinical efficacy of invimestrocel for acute respiratory distress syndrome caused by pneumonia: Comparison with historical data using propensity score analysis.因维美司特治疗肺炎所致急性呼吸窘迫综合征的临床疗效:使用倾向评分分析与历史数据比较。
Regen Ther. 2025 Mar 8;29:35-42. doi: 10.1016/j.reth.2025.02.018. eCollection 2025 Jun.
3
Treatment rechallenge is safe and leads to better survival in pancreatic cancer patients with interstitial pneumonitis.

本文引用的文献

1
Japanese herbal medicine-induced pneumonitis: A review of 73 patients.日本草药所致肺炎:73例患者的回顾性研究
Respir Investig. 2017 Mar;55(2):138-144. doi: 10.1016/j.resinv.2016.11.007. Epub 2017 Jan 13.
2
Efficacy of azithromycin in sepsis-associated acute respiratory distress syndrome: a retrospective study and propensity score analysis.阿奇霉素在脓毒症相关急性呼吸窘迫综合征中的疗效:一项回顾性研究及倾向评分分析。
Springerplus. 2016 Jul 28;5(1):1193. doi: 10.1186/s40064-016-2866-1. eCollection 2016.
3
Acute respiratory distress syndrome mimickers lacking common risk factors of the Berlin definition.
再次治疗对于患有间质性肺炎的胰腺癌患者是安全的,并且能带来更好的生存率。
BMC Cancer. 2025 Mar 19;25(1):508. doi: 10.1186/s12885-025-13896-5.
4
The ROX index (Index combining the respiratory rate with oxygenation) is a prognostic factor for acute respiratory distress syndrome.ROX 指数(将呼吸频率与氧合指数相结合的指数)是急性呼吸窘迫综合征的预后因素。
PLoS One. 2023 Feb 27;18(2):e0282241. doi: 10.1371/journal.pone.0282241. eCollection 2023.
5
Drug-induced lung injury caused by acetaminophen in a Japanese woman: A case report.一名日本女性因对乙酰氨基酚导致的药物性肺损伤:病例报告。
World J Clin Cases. 2022 Sep 26;10(27):9936-9944. doi: 10.12998/wjcc.v10.i27.9936.
6
Predictive value of computed tomography for short-term mortality in patients with acute respiratory distress syndrome: a systematic review.计算机断层扫描对急性呼吸窘迫综合征患者短期死亡率的预测价值:系统评价。
Sci Rep. 2022 Jun 10;12(1):9579. doi: 10.1038/s41598-022-13972-x.
7
Clinical phenotypes from fatal cases of acute respiratory distress syndrome caused by pneumonia.肺炎导致的急性呼吸窘迫综合征致死病例的临床表型。
Sci Rep. 2021 Oct 8;11(1):20051. doi: 10.1038/s41598-021-99540-1.
8
A Simple-to-Use Web-Based Calculator for Survival Prediction in Acute Respiratory Distress Syndrome.一种用于急性呼吸窘迫综合征生存预测的简单易用的基于网络的计算器。
Front Med (Lausanne). 2021 Feb 16;8:604694. doi: 10.3389/fmed.2021.604694. eCollection 2021.
9
Association of high-resolution computed tomography score with ventilator weaning and 28-day mortality of patients with acute respiratory distress syndrome.高分辨率计算机断层扫描评分与急性呼吸窘迫综合征患者呼吸机撤机和 28 天死亡率的关系。
J Int Med Res. 2020 Jun;48(6):300060520912966. doi: 10.1177/0300060520912966.
10
A Scoring System with High-Resolution Computed Tomography to Predict Drug-Associated Acute Respiratory Distress Syndrome: Development and Internal Validation.基于高分辨率计算机断层扫描的药物相关性急性呼吸窘迫综合征预测评分系统:开发与内部验证。
Sci Rep. 2019 Jun 13;9(1):8601. doi: 10.1038/s41598-019-45063-9.
缺乏柏林定义常见危险因素的急性呼吸窘迫综合征类似物。
Intensive Care Med. 2016 Feb;42(2):164-72. doi: 10.1007/s00134-015-4064-y. Epub 2015 Sep 25.
4
Epidemiologic survey of Japanese patients with idiopathic pulmonary fibrosis and investigation of ethnic differences.特发性肺纤维化日本患者的流行病学调查及人种差异研究。
Am J Respir Crit Care Med. 2014 Oct 1;190(7):773-9. doi: 10.1164/rccm.201403-0566OC.
5
Consensus statement for the diagnosis and treatment of drug-induced lung injuries.药物性肺损伤诊断与治疗的共识声明。
Respir Investig. 2013 Dec;51(4):260-77. doi: 10.1016/j.resinv.2013.09.001. Epub 2013 Oct 28.
6
Comparison of the Berlin definition for acute respiratory distress syndrome with autopsy.柏林急性呼吸窘迫综合征定义与尸检比较。
Am J Respir Crit Care Med. 2013 Apr 1;187(7):761-7. doi: 10.1164/rccm.201211-1981OC.
7
Acute respiratory distress syndrome: the Berlin Definition.急性呼吸窘迫综合征:柏林定义。
JAMA. 2012 Jun 20;307(23):2526-33. doi: 10.1001/jama.2012.5669.
8
An official American Thoracic Society clinical practice guideline: the clinical utility of bronchoalveolar lavage cellular analysis in interstitial lung disease.美国胸科学会官方临床实践指南:支气管肺泡灌洗细胞分析在间质性肺疾病中的临床应用。
Am J Respir Crit Care Med. 2012 May 1;185(9):1004-14. doi: 10.1164/rccm.201202-0320ST.
9
Drug-associated acute lung injury: a population-based cohort study.药物相关性急性肺损伤:基于人群的队列研究。
Chest. 2012 Oct;142(4):845-850. doi: 10.1378/chest.11-2103.
10
Fibroproliferative changes on high-resolution CT in the acute respiratory distress syndrome predict mortality and ventilator dependency: a prospective observational cohort study.急性呼吸窘迫综合征患者高分辨率CT检查中的纤维增生性改变可预测死亡率和呼吸机依赖情况:一项前瞻性观察性队列研究
BMJ Open. 2012 Mar 1;2(2):e000545. doi: 10.1136/bmjopen-2011-000545. Print 2012.