Suppr超能文献

硒对银纳米颗粒的抗氧化及肝脏保护作用

Antioxidant and hepatoprotective role of selenium against silver nanoparticles.

作者信息

Ansar Sabah, Alshehri Saad M, Abudawood Manal, Hamed Sherifa S, Ahamad Tansir

机构信息

Clinical Laboratory Sciences, Applied Medical Science, King Saud University, Riyadh, Saudi Arabia.

Department of Chemistry, College of Science, King Saud University, Riyadh, Saudi Arabia.

出版信息

Int J Nanomedicine. 2017 Oct 24;12:7789-7797. doi: 10.2147/IJN.S136748. eCollection 2017.

Abstract

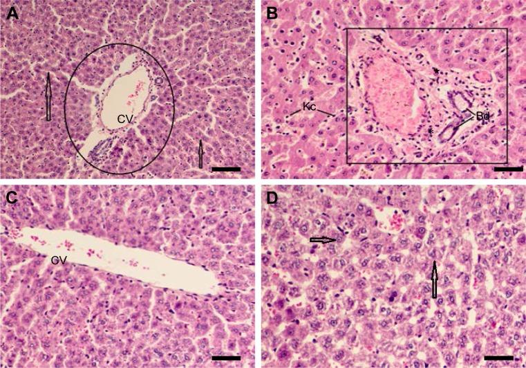
Silver nanoparticles (AgNPs) have attracted the most interest in terms of their potential biomedical and industrial applications. However, these nanoparticles have shown their toxic behavior toward environment, living tissues, and organisms. Selenium (Se), an essential trace element, is necessary for various metabolic processes, including protection against oxidative stress and immune function. The present study was undertaken to evaluate the effect of Se against AgNP-induced hepatic oxidative stress. AgNPs were synthesized and then prepared nanoparticles were characterized using various analytical techniques such as UV-visible spectroscopy, X-ray diffraction, and transmission electron microscopy. Rats were administered AgNPs intraperitoneally (5 mg/kg/day) and Se (0.2 mg/kg) was given by gavage. AgNP administration induced hepatic damage as indicated by the serum marker enzymes with reduction in levels of glutathione, and decrease in activities of SOD, CAT, and GSH-peroxidase (<0.05). Decrease in levels of total antioxidant capacity (TAC) and increase in level of C-reactive protein (CRP) was also observed in AgNP-treated group compared to control group. However, Se markedly attenuated AgNP-induced biochemical alterations, levels of TAC, CRP, and serum transaminases (AST, ALT) (<0.05). Taken together, these findings suggest that administration of AgNPs produces hepatotoxicity in rats, whereas Se supplementation attenuates these effects.

摘要

银纳米颗粒(AgNPs)因其潜在的生物医学和工业应用而备受关注。然而,这些纳米颗粒已显示出对环境、活组织和生物体的毒性行为。硒(Se)作为一种必需的微量元素,对于包括抗氧化应激和免疫功能保护在内的各种代谢过程是必需的。本研究旨在评估硒对AgNP诱导的肝脏氧化应激的影响。合成了AgNPs,然后使用各种分析技术如紫外可见光谱、X射线衍射和透射电子显微镜对制备的纳米颗粒进行表征。大鼠腹腔注射AgNPs(5mg/kg/天),通过灌胃给予硒(0.2mg/kg)。血清标志物酶表明,AgNP给药诱导了肝损伤,同时谷胱甘肽水平降低,超氧化物歧化酶、过氧化氢酶和谷胱甘肽过氧化物酶活性下降(<0.05)。与对照组相比,AgNP处理组还观察到总抗氧化能力(TAC)水平降低和C反应蛋白(CRP)水平升高。然而,硒显著减轻了AgNP诱导的生化改变、TAC、CRP和血清转氨酶(AST、ALT)水平(<0.05)。综上所述,这些发现表明,AgNPs给药会在大鼠中产生肝毒性,而补充硒可减轻这些影响。

https://cdn.ncbi.nlm.nih.gov/pmc/blobs/d411/5661492/5de4c2b11eda/ijn-12-7789Fig1.jpg

文献AI研究员

20分钟写一篇综述,助力文献阅读效率提升50倍。

立即体验

用中文搜PubMed

大模型驱动的PubMed中文搜索引擎

马上搜索

文档翻译

学术文献翻译模型,支持多种主流文档格式。

立即体验