Suppr超能文献

甲状腺癌与具有乳头状核特征的非侵袭性滤泡性甲状腺肿瘤超声差异的病理基础。

Pathologic basis of the sonographic differences between thyroid cancer and noninvasive follicular thyroid neoplasm with papillary-like nuclear features.

作者信息

Yang Grace C H, Fried Karen O

机构信息

Department of Pathology and Laboratory Medicine, Weill Medical College of Cornell University, New York, NY, USA.

Lenox Hill Radiology, New York, NY, USA.

出版信息

Ultrasonography. 2018 Apr;37(2):157-163. doi: 10.14366/usg.17045. Epub 2017 Aug 19.

Abstract

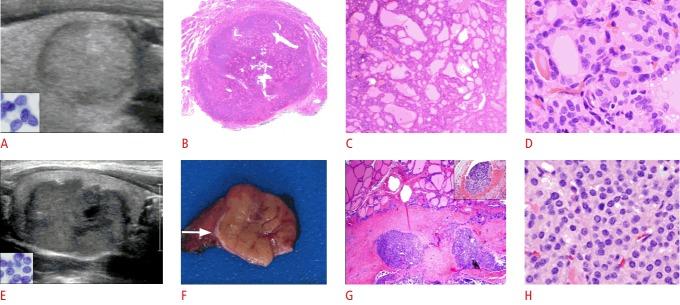
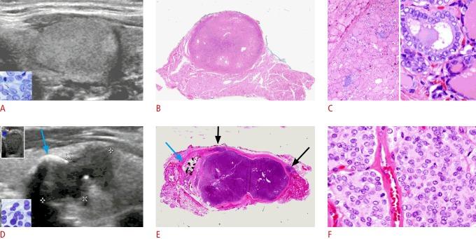
Ultrasonography is pivotal in triage thyroid biopsy in the era after the identification of noninvasive follicular thyroid neoplasm with papillary-like nuclear features (NIFTP). This pictorial essay illustrates the pathologic basis of the sonographic features that distinguish NIFTP from thyroid cancers. In this study, we present the correlations of ultrasonography to ×1 histopathology to assess shape and margin characteristics. Markedly hypoechoic nodules correlate to microfollicular/solid nodules, while isoechoic/hyperechoic thyroid nodules correlate to normofollicular/macrofollicular nodules. The ultrasound findings of NIFTP and minimally invasive encapsulated thyroid cancers are similar. Both are well-circumscribed, oval-to-round nodules with regular margins. Blurred or microlobulated margins indicate infiltrating tumors, while lobulated margins are characteristic of expansile tumors. Overtly invasive encapsulated tumors are characterized by oval-to-round nodules with irregular or lobulated margins. The ultrasound findings for infiltrative thyroid cancers show at least one of the following malignant features: marked hypoechoicity, taller-than-wide shape, microcalcifications, and blurred or microlobulated margins.

摘要

在识别出具有乳头状核特征的非侵袭性滤泡性甲状腺肿瘤(NIFTP)之后的时代,超声检查在甲状腺活检分诊中起着关键作用。这篇图文并茂的文章阐述了区分NIFTP与甲状腺癌的超声特征的病理基础。在本研究中,我们展示了超声检查与×1组织病理学之间的相关性,以评估形态和边缘特征。明显低回声结节与微滤泡/实性结节相关,而等回声/高回声甲状腺结节与正常滤泡/大滤泡结节相关。NIFTP和微小浸润性包膜甲状腺癌的超声表现相似。两者均为边界清晰、椭圆形至圆形的结节,边缘规则。边界模糊或呈微分叶状提示浸润性肿瘤,而分叶状边缘是膨胀性肿瘤的特征。明显侵袭性包膜肿瘤的特征是椭圆形至圆形结节,边缘不规则或呈分叶状。浸润性甲状腺癌的超声表现显示出以下至少一种恶性特征:明显低回声、纵横比大于1、微钙化以及边界模糊或呈微分叶状。

https://cdn.ncbi.nlm.nih.gov/pmc/blobs/27ba/5885479/3510ecf1229b/usg-17045-f1.jpg

文献AI研究员

20分钟写一篇综述,助力文献阅读效率提升50倍。

立即体验

用中文搜PubMed

大模型驱动的PubMed中文搜索引擎

马上搜索

文档翻译

学术文献翻译模型,支持多种主流文档格式。

立即体验