Suppr超能文献

肺动脉高压作为线粒体疾病的一种表现:一例病例报告及文献综述

Pulmonary hypertension as a manifestation of mitochondrial disease: A case report and review of the literature.

作者信息

Xu Shan, Xu Xiaoling, Zhang Jisong, Ying Kejing, Shao Yuquan, Zhang Ruifeng

机构信息

aDepartment of Respiratory Medicine bDepartment of Neurologic Medicine, Sir Run Run Shaw Hospital, Medical School of Zhejiang University, Hangzhou, China.

出版信息

Medicine (Baltimore). 2017 Nov;96(46):e8716. doi: 10.1097/MD.0000000000008716.

Abstract

BACKGROUND

Mitochondrial diseases are a group of multisystem heterogeneous diseases caused by pathologic dysfunction of the mitochondrial respiratory chain. A wide range of clinical expression has been described. However, pulmonary hypertension has rarely been described in association with mitochondrial disease until the past decade, and there is no currently recognized treatment for the pulmonary hypertension complicated with mitochondrial disorder.

PATIENT CONCERNS

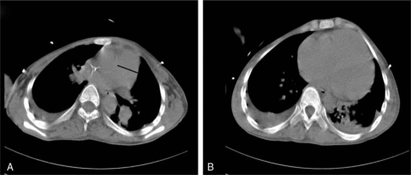
We reported the case of a 15-year-old boy who presented with shortness of breath and exercise limitation after a cold, and the diagnosis of pulmonary hypertension was confirmed by right heart catheter. Other examinations, such as blood tests, high- resolution chest computed tomography scan, and pulmonary function test, excluded other associated diseases as causes of pulmonary hypertension.

DIAGNOSES AND OUTCOMES

The initial diagnosis was idiopathic pulmonary arterial hypertension and an injection of vasodilator (Treprostinil) was given. However, the dyspnea and fatigue subsequently got worsened. Tracing back his family history, together with the electromyography, nerve conduction studies, and the result of muscle biopsy, mitochondrial disease was confirmed. After treatment with vitamin E, vitamin B2, ATP, and coenzyme Q10, the patient's condition improved.

CONCLUSION

Pulmonary hypertension should be considered as another potential manifestation of mitochondrial disease. Both mechanism and treatment for pulmonary hypertension complicated with mitochondrial disease are unclear. Further study is necessary.

摘要

背景

线粒体疾病是一组由线粒体呼吸链病理功能障碍引起的多系统异质性疾病。已有广泛的临床表现描述。然而,直到过去十年,肺动脉高压与线粒体疾病相关的情况很少被描述,目前对于合并线粒体疾病的肺动脉高压尚无公认的治疗方法。

患者情况

我们报告了一名15岁男孩的病例,他感冒后出现呼吸急促和运动受限,经右心导管检查确诊为肺动脉高压。其他检查,如血液检查、高分辨率胸部计算机断层扫描和肺功能测试,排除了其他作为肺动脉高压病因的相关疾病。

诊断与结果

最初诊断为特发性肺动脉高压,并给予血管扩张剂(曲前列尼尔)注射。然而,随后呼吸困难和疲劳加重。追溯其家族史,结合肌电图、神经传导研究和肌肉活检结果,确诊为线粒体疾病。经维生素E、维生素B2、三磷酸腺苷和辅酶Q10治疗后,患者病情改善。

结论

肺动脉高压应被视为线粒体疾病的另一种潜在表现。合并线粒体疾病的肺动脉高压的机制和治疗均不明确。有必要进一步研究。

https://cdn.ncbi.nlm.nih.gov/pmc/blobs/60a3/5704856/ccb8b5a31350/medi-96-e8716-g001.jpg

文献AI研究员

20分钟写一篇综述,助力文献阅读效率提升50倍。

立即体验

用中文搜PubMed

大模型驱动的PubMed中文搜索引擎

马上搜索

文档翻译

学术文献翻译模型,支持多种主流文档格式。

立即体验