Suppr超能文献

Sonographic Diagnosis of Tubal Cancer with IOTA Simple Rules Plus Pattern Recognition.

作者信息

Tongsong Theera, Wanapirak Chanane, Tantipalakorn Charuwan, Tinnangwattana Dangcheewan

机构信息

Department of Obstetrics and Gynecology, Chiang Mai University, Thailand. Email:

出版信息

Asian Pac J Cancer Prev. 2017 Nov 26;18(11):3011-3015. doi: 10.22034/APJCP.2017.18.11.3011.

Abstract

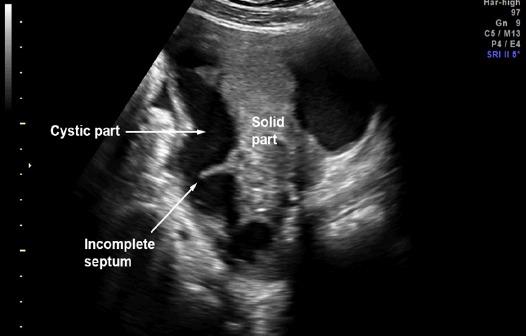
Objective: To evaluate diagnostic performance of IOTA simple rules plus pattern recognition in predicting tubal cancer. Methods: Secondary analysis was performed on prospective database of our IOTA project. The patients recruited in the project were those who were scheduled for pelvic surgery due to adnexal masses. The patients underwent ultrasound examinations within 24 hours before surgery. On ultrasound examination, the masses were evaluated using the well-established IOTA simple rules plus pattern recognition (sausage-shaped appearance, incomplete septum, visible ipsilateral ovaries) to predict tubal cancer. The gold standard diagnosis was based on histological findings or operative findings. Results: A total of 482 patients, including 15 cases of tubal cancer, were evaluated by ultrasound preoperatively. The IOTA simple rules plus pattern recognition gave a sensitivity of 86.7% (13 in 15) and specificity of 97.4%. Sausage-shaped appearance was identified in nearly all cases (14 in 15). Incomplete septa and normal ovaries could be identified in 33.3% and 40%, respectively. Conclusion: IOTA simple rules plus pattern recognition is relatively effective in predicting tubal cancer. Thus, we propose the simple scheme in diagnosis of tubal cancer as follows. First of all, the adnexal masses are evaluated with IOTA simple rules. If the B-rules could be applied, tubal cancer is reliably excluded. If the M-rules could be applied or the result is inconclusive, careful delineation of the mass with pattern recognition should be performed.

摘要
https://cdn.ncbi.nlm.nih.gov/pmc/blobs/3128/5773785/ddf549a18615/APJCP-18-3011-g001.jpg

文献AI研究员

20分钟写一篇综述,助力文献阅读效率提升50倍。

立即体验

用中文搜PubMed

大模型驱动的PubMed中文搜索引擎

马上搜索

文档翻译

学术文献翻译模型,支持多种主流文档格式。

立即体验