• 文献检索
  • 文档翻译
  • 深度研究
  • 学术资讯
  • Suppr Zotero 插件Zotero 插件
  • 邀请有礼
  • 套餐&价格
  • 历史记录
应用&插件
Suppr Zotero 插件Zotero 插件浏览器插件Mac 客户端Windows 客户端微信小程序
定价
高级版会员购买积分包购买API积分包
服务
文献检索文档翻译深度研究API 文档MCP 服务
关于我们
关于 Suppr公司介绍联系我们用户协议隐私条款
关注我们

Suppr 超能文献

核心技术专利:CN118964589B侵权必究
粤ICP备2023148730 号-1Suppr @ 2026

文献检索

告别复杂PubMed语法,用中文像聊天一样搜索,搜遍4000万医学文献。AI智能推荐,让科研检索更轻松。

立即免费搜索

文件翻译

保留排版,准确专业,支持PDF/Word/PPT等文件格式,支持 12+语言互译。

免费翻译文档

深度研究

AI帮你快速写综述,25分钟生成高质量综述,智能提取关键信息,辅助科研写作。

立即免费体验

COX5B作为高级别胶质瘤患者新型生物标志物的鉴定。

Identification of COX5B as a novel biomarker in high-grade glioma patients.

作者信息

Hu Tieyi, Xi Jiazhuang

机构信息

Department of Neurology.

Department of Public Health, The People's Hospital of Dazu District Chongqing, Chongqing, People's Republic of China.

出版信息

Onco Targets Ther. 2017 Nov 15;10:5463-5470. doi: 10.2147/OTT.S139243. eCollection 2017.

DOI:10.2147/OTT.S139243
PMID:29180880
原文链接:https://pmc.ncbi.nlm.nih.gov/articles/PMC5695267/
Abstract

BACKGROUND

Malignant glioma is the second leading cause of cancer-related death worldwide, and is known to exhibit a high degree of heterogeneity in its deregulation of different oncogenic pathways. The molecular subclasses of human glioma are not well known. Thus, it is crucial to identify vital oncogenic pathways in glioma with significant relationships to patient survival.

METHODS

In this study, we devised a bioinformatics strategy to map patterns of oncogenic pathway activation in glioma, from the Gene Expression Omnibus (GEO). Bioinformatics analysis revealed that 749 genes were differentially expressed and classified into different glioma grades.

RESULTS

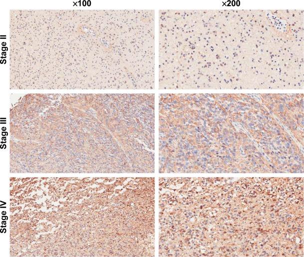
Using gene expression signatures, we identified three oncogenic pathways (MAPK signaling pathway, Wnt signaling pathway, and ErbB signaling pathway) deregulated in the majority of human glioma. Following gene microarray analysis, the gene expression profile in the differential grade glioma was further validated by bioinformatic analyses, with coexpression network construction. Furthermore, we found that cytochrome c oxidase subunit Vb (COX5B), the terminal enzyme of the electron transport chain, was the central gene in a coexpression network that transfers electrons from reduced cytochrome c to oxygen and, in the process, generates an electrochemical gradient across the mitochondrial inner membrane. The expression level of COX5B was then detected in 87 glioma tissues as well as adjacent normal tissues using immunohistochemistry. We found that COX5B was significantly upregulated in 67 of 87 (77.0%) glioma and glioblastoma tissues, compared with adjacent tissue (<0.01). Furthermore, statistical analysis showed the COX5B expression level was significantly associated with clinical stage and lymph node status, while there were no correlations between COX5B expression and age or tumor size.

CONCLUSION

These data indicate that COX5B may be implicated in glioma pathogenesis and as a biomarker for identification of the pathological grade of glioma.

摘要

背景

恶性胶质瘤是全球癌症相关死亡的第二大主要原因,已知其在不同致癌途径的失调方面表现出高度异质性。人类胶质瘤的分子亚类尚不清楚。因此,确定与患者生存有显著关系的胶质瘤重要致癌途径至关重要。

方法

在本研究中,我们设计了一种生物信息学策略,以绘制来自基因表达综合数据库(GEO)的胶质瘤致癌途径激活模式。生物信息学分析显示,749个基因差异表达并分为不同的胶质瘤级别。

结果

利用基因表达特征,我们确定了在大多数人类胶质瘤中失调的三种致癌途径(丝裂原活化蛋白激酶信号通路、Wnt信号通路和表皮生长因子受体信号通路)。基因芯片分析后,通过构建共表达网络的生物信息学分析进一步验证了不同级别胶质瘤中的基因表达谱。此外,我们发现细胞色素c氧化酶亚基Vb(COX5B),即电子传递链的末端酶,是共表达网络中的核心基因,该网络将电子从还原型细胞色素c转移到氧,并在此过程中在线粒体内膜上产生电化学梯度。然后使用免疫组织化学在87个胶质瘤组织以及相邻正常组织中检测COX5B的表达水平。我们发现,与相邻组织相比(<0.01),87个胶质瘤和胶质母细胞瘤组织中有67个(77.0%)的COX5B显著上调。此外,统计分析表明COX5B表达水平与临床分期和淋巴结状态显著相关,而COX5B表达与年龄或肿瘤大小之间无相关性。

结论

这些数据表明,COX5B可能参与胶质瘤发病机制,并作为识别胶质瘤病理级别的生物标志物。

https://cdn.ncbi.nlm.nih.gov/pmc/blobs/0e1a/5695267/3a4416a5f5c8/ott-10-5463Fig5.jpg
https://cdn.ncbi.nlm.nih.gov/pmc/blobs/0e1a/5695267/bf433b00018c/ott-10-5463Fig1.jpg
https://cdn.ncbi.nlm.nih.gov/pmc/blobs/0e1a/5695267/68b601bd1fad/ott-10-5463Fig2.jpg
https://cdn.ncbi.nlm.nih.gov/pmc/blobs/0e1a/5695267/e54a3e66f126/ott-10-5463Fig3.jpg
https://cdn.ncbi.nlm.nih.gov/pmc/blobs/0e1a/5695267/a34af731c85e/ott-10-5463Fig4.jpg
https://cdn.ncbi.nlm.nih.gov/pmc/blobs/0e1a/5695267/3a4416a5f5c8/ott-10-5463Fig5.jpg
https://cdn.ncbi.nlm.nih.gov/pmc/blobs/0e1a/5695267/bf433b00018c/ott-10-5463Fig1.jpg
https://cdn.ncbi.nlm.nih.gov/pmc/blobs/0e1a/5695267/68b601bd1fad/ott-10-5463Fig2.jpg
https://cdn.ncbi.nlm.nih.gov/pmc/blobs/0e1a/5695267/e54a3e66f126/ott-10-5463Fig3.jpg
https://cdn.ncbi.nlm.nih.gov/pmc/blobs/0e1a/5695267/a34af731c85e/ott-10-5463Fig4.jpg
https://cdn.ncbi.nlm.nih.gov/pmc/blobs/0e1a/5695267/3a4416a5f5c8/ott-10-5463Fig5.jpg

相似文献

1
Identification of COX5B as a novel biomarker in high-grade glioma patients.COX5B作为高级别胶质瘤患者新型生物标志物的鉴定。
Onco Targets Ther. 2017 Nov 15;10:5463-5470. doi: 10.2147/OTT.S139243. eCollection 2017.
2
An integrated transcriptomic and computational analysis for biomarker identification in human glioma.一项用于人类胶质瘤生物标志物识别的综合转录组学和计算分析。
Tumour Biol. 2016 Jun;37(6):7185-92. doi: 10.1007/s13277-015-4585-6. Epub 2015 Dec 14.
3
Differential effectiveness of yeast cytochrome c oxidase subunit genes results from differences in expression not function.酵母细胞色素c氧化酶亚基基因的差异有效性源于表达差异而非功能差异。
Mol Cell Biol. 1987 Oct;7(10):3520-6. doi: 10.1128/mcb.7.10.3520-3526.1987.
4
High expression of COX5B is associated with poor prognosis in breast cancer.COX5B 高表达与乳腺癌预后不良相关。
Future Oncol. 2017 Aug;13(19):1711-1719. doi: 10.2217/fon-2017-0058. Epub 2017 Jun 8.
5
[Screening function enrichment and related signaling pathways bioinformatics analysis of differentially expressed gene in glioma].[胶质瘤中差异表达基因的筛选功能富集及相关信号通路生物信息学分析]
Zhonghua Yi Xue Za Zhi. 2019 Aug 6;99(29):2311-2314. doi: 10.3760/cma.j.issn.0376-2491.2019.29.013.
6
Systematic expression analysis of the mitochondrial respiratory chain protein subunits identifies COX5B as a prognostic marker in clear cell renal cell carcinoma.线粒体呼吸链蛋白亚基的系统表达分析确定COX5B为透明细胞肾细胞癌的预后标志物。
Int J Urol. 2019 Sep;26(9):910-916. doi: 10.1111/iju.14040. Epub 2019 Jul 7.
7
Phylogenetic footprinting of the human cytochrome c oxidase subunit VB promoter.人类细胞色素c氧化酶亚基VB启动子的系统发育足迹分析
Arch Biochem Biophys. 1996 Sep 1;333(1):152-62. doi: 10.1006/abbi.1996.0376.
8
COX5B-Mediated Bioenergetic Alteration Regulates Tumor Growth and Migration by Modulating AMPK-UHMK1-ERK Cascade in Hepatoma.COX5B介导的生物能量改变通过调节肝癌中的AMPK-UHMK1-ERK级联反应来调控肿瘤生长和迁移。
Cancers (Basel). 2020 Jun 22;12(6):1646. doi: 10.3390/cancers12061646.
9
Differential Expression of Circular RNAs in Glioblastoma Multiforme and Its Correlation with Prognosis.环状RNA在多形性胶质母细胞瘤中的差异表达及其与预后的相关性
Transl Oncol. 2017 Apr;10(2):271-279. doi: 10.1016/j.tranon.2016.12.006. Epub 2017 Feb 23.
10
CKS2 (CDC28 protein kinase regulatory subunit 2) is a prognostic biomarker in lower grade glioma: a study based on bioinformatic analysis and immunohistochemistry.CKS2(CDC28 蛋白激酶调节亚基 2)是低级别胶质瘤的预后生物标志物:基于生物信息学分析和免疫组织化学的研究。
Bioengineered. 2021 Dec;12(1):5996-6009. doi: 10.1080/21655979.2021.1972197.

引用本文的文献

1
The Pathogenic Mechanism of in .[疾病名称]中[病原体名称]的致病机制 (你提供的原文不完整,缺少关键信息,这是根据格式补全后的翻译示意)
Microorganisms. 2024 Jun 15;12(6):1208. doi: 10.3390/microorganisms12061208.
2
Identification and validation of the mitochondrial function related hub genes by unsupervised machine learning and multi-omics analyses in lung adenocarcinoma.通过无监督机器学习和多组学分析鉴定和验证肺腺癌中线粒体功能相关的枢纽基因
Heliyon. 2022 Dec 1;8(12):e11966. doi: 10.1016/j.heliyon.2022.e11966. eCollection 2022 Dec.
3
The expression of ASAP3 and NOTCH3 and the clinicopathological characteristics of adult glioma patients.

本文引用的文献

1
KIAA0247 suppresses the proliferation, angiogenesis and promote apoptosis of human glioma through inactivation of the AKT and Stat3 signaling pathway.KIAA0247通过使AKT和Stat3信号通路失活来抑制人胶质瘤的增殖、血管生成并促进其凋亡。
Oncotarget. 2016 Dec 27;7(52):87100-87113. doi: 10.18632/oncotarget.13527.
2
Silver nanoparticles enhance the sensitivity of temozolomide on human glioma cells.银纳米颗粒增强替莫唑胺对人胶质瘤细胞的敏感性。
Oncotarget. 2017 Jan 31;8(5):7533-7539. doi: 10.18632/oncotarget.13503.
3
FGFR-TACC gene fusions in human glioma.
成人胶质瘤患者中ASAP3和NOTCH3的表达及临床病理特征
Open Med (Wars). 2022 Oct 31;17(1):1724-1741. doi: 10.1515/med-2022-0585. eCollection 2022.
4
promotes metastasis in glioma macrophages, neutrophils, and fibroblasts and is a potential prognostic biomarker.促进胶质瘤中巨噬细胞、中性粒细胞和成纤维细胞的转移,是一种潜在的预后生物标志物。
Front Immunol. 2022 Oct 7;13:974346. doi: 10.3389/fimmu.2022.974346. eCollection 2022.
5
COX5B-Mediated Bioenergetic Alterations Modulate Cell Growth and Anticancer Drug Susceptibility by Orchestrating Claudin-2 Expression in Colorectal Cancers.COX5B介导的生物能量改变通过调控结直肠癌中Claudin-2的表达来调节细胞生长和抗癌药物敏感性。
Biomedicines. 2021 Dec 28;10(1):60. doi: 10.3390/biomedicines10010060.
6
The role of metabolic ecosystem in cancer progression - metabolic plasticity and mTOR hyperactivity in tumor tissues.代谢生态系统在癌症进展中的作用——肿瘤组织中的代谢可塑性和 mTOR 过度活跃。
Cancer Metastasis Rev. 2021 Dec;40(4):989-1033. doi: 10.1007/s10555-021-10006-2. Epub 2022 Jan 14.
7
Multiple Mechanisms Regulate Eukaryotic Cytochrome C Oxidase.多种机制调节真核细胞色素 C 氧化酶。
Cells. 2021 Feb 28;10(3):514. doi: 10.3390/cells10030514.
8
Role of cytochrome c oxidase nuclear-encoded subunits in health and disease.细胞色素 c 氧化酶核编码亚基在健康和疾病中的作用。
Physiol Res. 2020 Dec 22;69(6):947-965. doi: 10.33549/physiolres.934446. Epub 2020 Nov 2.
9
COX5B-Mediated Bioenergetic Alteration Regulates Tumor Growth and Migration by Modulating AMPK-UHMK1-ERK Cascade in Hepatoma.COX5B介导的生物能量改变通过调节肝癌中的AMPK-UHMK1-ERK级联反应来调控肿瘤生长和迁移。
Cancers (Basel). 2020 Jun 22;12(6):1646. doi: 10.3390/cancers12061646.
10
The Encystment-Related MicroRNAs and Its Regulation Molecular Mechanism in Revealed by High Throughput Small RNA Sequencing.高通量小 RNA 测序揭示的 中的囊泡形成相关 microRNAs 及其调控分子机制。
Int J Mol Sci. 2020 Mar 26;21(7):2309. doi: 10.3390/ijms21072309.
人类胶质瘤中的FGFR-TACC基因融合
Neuro Oncol. 2017 Apr 1;19(4):475-483. doi: 10.1093/neuonc/now240.
4
Targeting the hedgehog transcription factors GLI1 and GLI2 restores sensitivity to vemurafenib-resistant human melanoma cells.靶向刺猬转录因子GLI1和GLI2可恢复对维莫非尼耐药的人黑色素瘤细胞的敏感性。
Oncogene. 2017 Mar 30;36(13):1849-1861. doi: 10.1038/onc.2016.348. Epub 2016 Oct 17.
5
Role of STAT3 in Genesis and Progression of Human Malignant Gliomas.STAT3 在人类恶性脑胶质瘤发生和发展中的作用。
Mol Neurobiol. 2017 Oct;54(8):5780-5797. doi: 10.1007/s12035-016-0103-0. Epub 2016 Sep 22.
6
Olig2-Dependent Reciprocal Shift in PDGF and EGF Receptor Signaling Regulates Tumor Phenotype and Mitotic Growth in Malignant Glioma.血小板衍生生长因子(PDGF)和表皮生长因子(EGF)受体信号传导中依赖少突胶质细胞转录因子2(Olig2)的相互转变调节恶性胶质瘤的肿瘤表型和有丝分裂生长
Cancer Cell. 2016 May 9;29(5):669-683. doi: 10.1016/j.ccell.2016.03.027.
7
Establishment of human iPSC-based models for the study and targeting of glioma initiating cells.建立基于人诱导多能干细胞的模型用于研究和靶向胶质瘤起始细胞。
Nat Commun. 2016 Feb 22;7:10743. doi: 10.1038/ncomms10743.
8
Integrated genomic characterization of IDH1-mutant glioma malignant progression.异柠檬酸脱氢酶1(IDH1)突变型胶质瘤恶性进展的综合基因组特征分析
Nat Genet. 2016 Jan;48(1):59-66. doi: 10.1038/ng.3457. Epub 2015 Nov 30.
9
Detection of human brain tumor infiltration with quantitative stimulated Raman scattering microscopy.利用定量受激拉曼散射显微镜检测人脑肿瘤浸润
Sci Transl Med. 2015 Oct 14;7(309):309ra163. doi: 10.1126/scitranslmed.aab0195.
10
Secreted and O-GlcNAcylated MIF binds to the human EGF receptor and inhibits its activation.分泌型且经O-连接的N-乙酰葡糖胺化修饰的巨噬细胞迁移抑制因子与人类表皮生长因子受体结合并抑制其激活。
Nat Cell Biol. 2015 Oct;17(10):1348-55. doi: 10.1038/ncb3222. Epub 2015 Aug 17.