• 文献检索
  • 文档翻译
  • 深度研究
  • 学术资讯
  • Suppr Zotero 插件Zotero 插件
  • 邀请有礼
  • 套餐&价格
  • 历史记录
应用&插件
Suppr Zotero 插件Zotero 插件浏览器插件Mac 客户端Windows 客户端微信小程序
定价
高级版会员购买积分包购买API积分包
服务
文献检索文档翻译深度研究API 文档MCP 服务
关于我们
关于 Suppr公司介绍联系我们用户协议隐私条款
关注我们

Suppr 超能文献

核心技术专利:CN118964589B侵权必究
粤ICP备2023148730 号-1Suppr @ 2026

文献检索

告别复杂PubMed语法,用中文像聊天一样搜索,搜遍4000万医学文献。AI智能推荐,让科研检索更轻松。

立即免费搜索

文件翻译

保留排版,准确专业,支持PDF/Word/PPT等文件格式,支持 12+语言互译。

免费翻译文档

深度研究

AI帮你快速写综述,25分钟生成高质量综述,智能提取关键信息,辅助科研写作。

立即免费体验

丝切蛋白1促进膀胱癌并受TCF7L2调控。

Cofilin 1 promotes bladder cancer and is regulated by TCF7L2.

作者信息

Wang Fei, Wu Dinglan, Fu Housheng, He Fengrong, Xu Congjie, Zhou Jiaquan, Li Daoyuan, Li Guoping, Xu Jianbing, Wu Qinghui, Chen Jianxiang, Su Liangju, Wang Weifu, Zhang Shufang

机构信息

Department of Urology, People's Hospital of Hainan Province, Haikou, China.

The Clinical Innovation & Research Center (CIRC), Shenzhen Hospital, Southern Medical University, Shenzhen, China.

出版信息

Oncotarget. 2017 Sep 6;8(54):92043-92054. doi: 10.18632/oncotarget.20664. eCollection 2017 Nov 3.

DOI:10.18632/oncotarget.20664
PMID:29190896
原文链接:https://pmc.ncbi.nlm.nih.gov/articles/PMC5696162/
Abstract

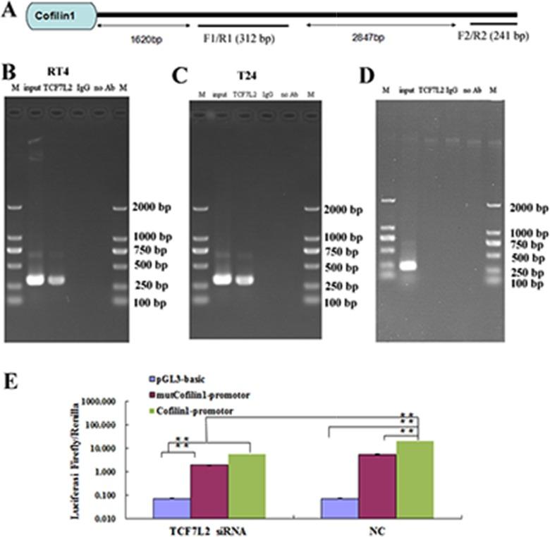
Earlier reports demonstrated that Cofilin expression is increased in bladder cancer samples, though its function remains unknown. Here, we found that Cofilin 1 expression was higher in bladder cancer tissues than in paracancerous tissues. Overexpression of Cofilin 1 promoted, while Cofilin 1 knockdown inhibited, proliferation, migration, and invasion in the T24 and RT4 bladder cancer cell lines. In addition, Cofilin 1 overexpression increased, while Cofilin 1 knockdown decreased, bladder tumor volumes in mouse xenograft experiments. Transcription factor 7-like 2 (TCF7L2) targeted the promoter of the Cofilin 1 gene, and TCF7L2 knockdown or mutations in the Cofilin 1 promoter dramatically decreased Cofilin 1 transcription. TCF7L2 promoted cell proliferation and migration and increased Cofilin 1 protein levels in RT4 and T24 cells. Thus, TCF7L2 contributed to Cofilin 1-induced promotion of bladder cancer development by binding to the Cofilin 1 promoter and increasing its expression.

摘要

早期报告显示,在膀胱癌样本中Cofilin的表达增加,但其功能仍不清楚。在此,我们发现Cofilin 1在膀胱癌组织中的表达高于癌旁组织。Cofilin 1的过表达促进了T24和RT4膀胱癌细胞系的增殖、迁移和侵袭,而Cofilin 1的敲低则抑制了这些过程。此外,在小鼠异种移植实验中,Cofilin 1的过表达增加了膀胱肿瘤体积,而Cofilin 1的敲低则减小了膀胱肿瘤体积。转录因子7样2(TCF7L2)靶向Cofilin 1基因的启动子,TCF7L2的敲低或Cofilin 1启动子中的突变显著降低了Cofilin 1的转录。TCF7L2促进了RT4和T24细胞的增殖和迁移,并增加了Cofilin 1蛋白水平。因此,TCF7L2通过与Cofilin 1启动子结合并增加其表达,促进了Cofilin 1诱导的膀胱癌发展。

https://cdn.ncbi.nlm.nih.gov/pmc/blobs/57d5/5696162/2a7267403fe6/oncotarget-08-92043-g006.jpg
https://cdn.ncbi.nlm.nih.gov/pmc/blobs/57d5/5696162/61360dc4a7d9/oncotarget-08-92043-g001.jpg
https://cdn.ncbi.nlm.nih.gov/pmc/blobs/57d5/5696162/6ea2cb2c3b21/oncotarget-08-92043-g002.jpg
https://cdn.ncbi.nlm.nih.gov/pmc/blobs/57d5/5696162/6d39b1960d64/oncotarget-08-92043-g003.jpg
https://cdn.ncbi.nlm.nih.gov/pmc/blobs/57d5/5696162/a3a123d7fd39/oncotarget-08-92043-g004.jpg
https://cdn.ncbi.nlm.nih.gov/pmc/blobs/57d5/5696162/913771666a5a/oncotarget-08-92043-g005.jpg
https://cdn.ncbi.nlm.nih.gov/pmc/blobs/57d5/5696162/2a7267403fe6/oncotarget-08-92043-g006.jpg
https://cdn.ncbi.nlm.nih.gov/pmc/blobs/57d5/5696162/61360dc4a7d9/oncotarget-08-92043-g001.jpg
https://cdn.ncbi.nlm.nih.gov/pmc/blobs/57d5/5696162/6ea2cb2c3b21/oncotarget-08-92043-g002.jpg
https://cdn.ncbi.nlm.nih.gov/pmc/blobs/57d5/5696162/6d39b1960d64/oncotarget-08-92043-g003.jpg
https://cdn.ncbi.nlm.nih.gov/pmc/blobs/57d5/5696162/a3a123d7fd39/oncotarget-08-92043-g004.jpg
https://cdn.ncbi.nlm.nih.gov/pmc/blobs/57d5/5696162/913771666a5a/oncotarget-08-92043-g005.jpg
https://cdn.ncbi.nlm.nih.gov/pmc/blobs/57d5/5696162/2a7267403fe6/oncotarget-08-92043-g006.jpg

相似文献

1
Cofilin 1 promotes bladder cancer and is regulated by TCF7L2.丝切蛋白1促进膀胱癌并受TCF7L2调控。
Oncotarget. 2017 Sep 6;8(54):92043-92054. doi: 10.18632/oncotarget.20664. eCollection 2017 Nov 3.
2
Study on the significance of Cofilin 1 overexpression in human bladder cancer.丝切蛋白1过表达在人膀胱癌中的意义研究
Tumori. 2017 Nov 23;103(6):537-542. doi: 10.5301/tj.5000569. Epub 2016 Oct 21.
3
Over-expression of cofilin-1 suppressed growth and invasion of cancer cells is associated with up-regulation of let-7 microRNA.丝切蛋白-1的过表达抑制癌细胞生长和侵袭,这与let-7微小RNA的上调有关。
Biochim Biophys Acta. 2015 May;1852(5):851-61. doi: 10.1016/j.bbadis.2015.01.007. Epub 2015 Jan 15.
4
The actin depolymerizing factor n-cofilin is essential for neural tube morphogenesis and neural crest cell migration.肌动蛋白解聚因子n-丝切蛋白对于神经管形态发生和神经嵴细胞迁移至关重要。
Dev Biol. 2005 Feb 1;278(1):231-41. doi: 10.1016/j.ydbio.2004.11.010.
5
Slug contributes to cadherin switch and malignant progression in muscle-invasive bladder cancer development.slug 有助于钙黏蛋白转换和浸润性膀胱癌发展中的恶性进展。
Urol Oncol. 2013 Nov;31(8):1751-60. doi: 10.1016/j.urolonc.2012.02.001. Epub 2012 Mar 14.
6
DIF-1 inhibits the Wnt/β-catenin signaling pathway by inhibiting TCF7L2 expression in colon cancer cell lines.DIF-1 通过抑制结肠癌细胞系中 TCF7L2 的表达来抑制 Wnt/β-catenin 信号通路。
Biochem Pharmacol. 2012 Jan 1;83(1):47-56. doi: 10.1016/j.bcp.2011.10.001. Epub 2011 Oct 8.
7
5-Aza-2'-deoxycytidine enhances maspin expression and inhibits proliferation, migration, and invasion of the bladder cancer T24 cell line.5-氮杂-2'-脱氧胞苷增强了maspin的表达,并抑制了膀胱癌T24细胞系的增殖、迁移和侵袭。
Cancer Biother Radiopharm. 2013 May;28(4):343-50. doi: 10.1089/cbr.2012.1303. Epub 2013 Apr 9.
8
miR-451 inhibits invasion and proliferation of bladder cancer by regulating EMT.微小RNA-451通过调控上皮-间质转化抑制膀胱癌的侵袭和增殖。
Int J Clin Exp Pathol. 2014 Oct 15;7(11):7653-62. eCollection 2014.
9
The mitotic kinase Aurora-A induces mammary cell migration and breast cancer metastasis by activating the Cofilin-F-actin pathway.有丝分裂激酶 Aurora-A 通过激活丝切蛋白-F-肌动蛋白通路诱导乳腺细胞迁移和乳腺癌转移。
Cancer Res. 2010 Nov 15;70(22):9118-28. doi: 10.1158/0008-5472.CAN-10-1246. Epub 2010 Nov 2.
10
MicroRNA-34a functions as an anti-metastatic microRNA and suppresses angiogenesis in bladder cancer by directly targeting CD44.微小RNA-34a作为一种抗转移微小RNA发挥作用,并通过直接靶向CD44抑制膀胱癌中的血管生成。
J Exp Clin Cancer Res. 2014 Dec 31;33(1):779. doi: 10.1186/s13046-014-0115-4.

引用本文的文献

1
Cofilin(s) and Mitochondria: Function Beyond Actin Dynamics.丝切蛋白与线粒体:肌动蛋白动力学之外的功能
Int J Mol Sci. 2025 Apr 25;26(9):4094. doi: 10.3390/ijms26094094.
2
Nicotine promotes the development of oral leukoplakia via regulating peroxiredoxin 1 and its binding proteins.尼古丁通过调节过氧化物酶 1 及其结合蛋白促进口腔白斑的发展。
Braz J Med Biol Res. 2021 May 31;54(9):e10931. doi: 10.1590/1414-431X2020e10931. eCollection 2021.
3
Unraveling the Molecular Tumor-Promoting Regulation of Cofilin-1 in Pancreatic Cancer.解析丝切蛋白-1在胰腺癌中的分子促肿瘤调控机制

本文引用的文献

1
Cofilin-1 and Other ADF/Cofilin Superfamily Members in Human Malignant Cells.人恶性细胞中的丝切蛋白-1及其他肌动蛋白解聚因子/丝切蛋白超家族成员
Int J Mol Sci. 2016 Dec 22;18(1):10. doi: 10.3390/ijms18010010.
2
Study on the significance of Cofilin 1 overexpression in human bladder cancer.丝切蛋白1过表达在人膀胱癌中的意义研究
Tumori. 2017 Nov 23;103(6):537-542. doi: 10.5301/tj.5000569. Epub 2016 Oct 21.
3
Overexpression of cofilin 1 in prostate cancer and the corresponding clinical implications.丝切蛋白1在前列腺癌中的过表达及其相应的临床意义。
Cancers (Basel). 2021 Feb 10;13(4):725. doi: 10.3390/cancers13040725.
4
Diallyl disulfide induces downregulation and inactivation of cofilin 1 differentiation via the Rac1/ROCK1/LIMK1 pathway in leukemia cells.二烯丙基二硫诱导白血病细胞中肌动蛋白调节蛋白 1 分化的下调和失活通过 Rac1/ROCK1/LIMK1 通路。
Int J Oncol. 2020 Mar;56(3):772-782. doi: 10.3892/ijo.2020.4968. Epub 2020 Jan 22.
5
miR-182-5p affects human bladder cancer cell proliferation, migration and invasion through regulating Cofilin 1.微小RNA-182-5p通过调控丝切蛋白1影响人膀胱癌细胞的增殖、迁移和侵袭。
Cancer Cell Int. 2019 Feb 28;19:42. doi: 10.1186/s12935-019-0758-5. eCollection 2019.
6
Changes in Vasodilator-Stimulated Phosphoprotein Phosphorylation, Profilin-1, and Cofilin-1 in Accreta and Protection by DHA.黏附胎盘组织中血管舒张刺激磷蛋白磷酸化、丝切蛋白-1和丝切蛋白-1的变化以及二十二碳六烯酸的保护作用
Reprod Sci. 2019 Jun;26(6):757-765. doi: 10.1177/1933719118792095. Epub 2018 Aug 9.
7
Cofilin-2 Acts as a Marker for Predicting Radiotherapy Response and Is a Potential Therapeutic Target in Nasopharyngeal Carcinoma.肌动蛋白结合蛋白 2 可作为预测鼻咽癌放疗反应的标志物,也是鼻咽癌潜在的治疗靶点。
Med Sci Monit. 2018 Apr 17;24:2317-2329. doi: 10.12659/msm.909832.
Oncol Lett. 2015 Jun;9(6):2757-2761. doi: 10.3892/ol.2015.3133. Epub 2015 Apr 21.
4
Regulation of metastasis of bladder cancer cells through the WNT signaling pathway.通过WNT信号通路调控膀胱癌细胞的转移
Tumour Biol. 2015 Nov;36(11):8839-44. doi: 10.1007/s13277-015-3563-3. Epub 2015 Jun 12.
5
Protein kinase D1 attenuates tumorigenesis in colon cancer by modulating β-catenin/T cell factor activity.蛋白激酶D1通过调节β-连环蛋白/T细胞因子活性减弱结肠癌的肿瘤发生。
Oncotarget. 2014 Aug 30;5(16):6867-84. doi: 10.18632/oncotarget.2277.
6
Cofilin drives cell-invasive and metastatic responses to TGF-β in prostate cancer.肌动蛋白丝解聚因子驱动前列腺癌细胞对 TGF-β的侵袭和转移反应。
Cancer Res. 2014 Apr 15;74(8):2362-73. doi: 10.1158/0008-5472.CAN-13-3058. Epub 2014 Feb 7.
7
Cofilin-1 overexpression and its role in tumor growth and progression in systemic malignancies.
Int J Radiat Biol. 2014 Jan;90(1):113. doi: 10.3109/09553002.2013.825065.
8
Does phosphorylation of cofilin affect the progression of human bladder cancer?肌动蛋白丝解聚因子(cofilin)磷酸化是否影响人膀胱癌的进展?
BMC Cancer. 2013 Feb 1;13:45. doi: 10.1186/1471-2407-13-45.
9
Bladder cancer: a simple model becomes complex.膀胱癌:一个简单的模型变得复杂了。
Curr Genomics. 2012 Aug;13(5):395-415. doi: 10.2174/138920212801619232.
10
Proteomic approaches identify members of cofilin pathway involved in oral tumorigenesis.蛋白质组学方法鉴定参与口腔肿瘤发生的丝切蛋白途径成员。
PLoS One. 2012;7(12):e50517. doi: 10.1371/journal.pone.0050517. Epub 2012 Dec 5.