• 文献检索
  • 文档翻译
  • 深度研究
  • 学术资讯
  • Suppr Zotero 插件Zotero 插件
  • 邀请有礼
  • 套餐&价格
  • 历史记录
应用&插件
Suppr Zotero 插件Zotero 插件浏览器插件Mac 客户端Windows 客户端微信小程序
定价
高级版会员购买积分包购买API积分包
服务
文献检索文档翻译深度研究API 文档MCP 服务
关于我们
关于 Suppr公司介绍联系我们用户协议隐私条款
关注我们

Suppr 超能文献

核心技术专利:CN118964589B侵权必究
粤ICP备2023148730 号-1Suppr @ 2026

文献检索

告别复杂PubMed语法,用中文像聊天一样搜索,搜遍4000万医学文献。AI智能推荐,让科研检索更轻松。

立即免费搜索

文件翻译

保留排版,准确专业,支持PDF/Word/PPT等文件格式,支持 12+语言互译。

免费翻译文档

深度研究

AI帮你快速写综述,25分钟生成高质量综述,智能提取关键信息,辅助科研写作。

立即免费体验

毛细血管内皮细胞的长期培养。

Long-term culture of capillary endothelial cells.

作者信息

Folkman J, Haudenschild C C, Zetter B R

出版信息

Proc Natl Acad Sci U S A. 1979 Oct;76(10):5217-21. doi: 10.1073/pnas.76.10.5217.

DOI:10.1073/pnas.76.10.5217
PMID:291937
原文链接:https://pmc.ncbi.nlm.nih.gov/articles/PMC413111/
Abstract

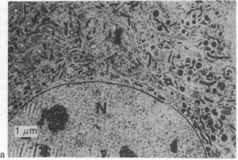
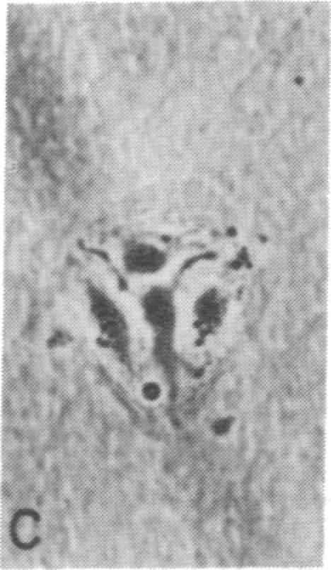
Capillary endothelial cells from rats, calves, and humans, have been carried in long-term culture. Bovine capillary endothelial cells have been cloned and maintained by serial passage for longer than 8 months. This prolonged culture was accomplished by using tumor-conditioned medium, gelatin-coated plates, and a method of enriching cells in primary culture. Cultured bovine capillary endothelial cells produce Factor VIII antigen and angiotensin-converting enzyme, but do not have Weibel-Palade bodies. Human cells do contain Weibel-Palade bodies. Capillary endothelial cells are distinguished from aortic endothelial cells by their requirement for conditioned medium. Bovine capillary endothelial cells in regular medium grow slowly with a mean doubling time of 67 hr and eventually die. In tumor-conditioned medium, these cells grow rapidly with a doubling time of 28 hr and continue to proliferate for as long as the tumor-conditioned medium is present. In contrast, bovine aortic endothelial cells grow as rapidly in regular medium as in tumor-conditioned medium. This method allows the production of pure capillary endothelial cells that may prove useful for studies of tumor angiogenesis, metastatic mechanisms, and the role of capillary endothelium in other pathologic states.

摘要

大鼠、小牛和人类的毛细血管内皮细胞已进行长期培养。牛毛细血管内皮细胞已被克隆,并通过连续传代维持了8个月以上。这种长期培养是通过使用肿瘤条件培养基、明胶包被的培养板以及一种在原代培养中富集细胞的方法来实现的。培养的牛毛细血管内皮细胞产生因子VIII抗原和血管紧张素转换酶,但没有魏贝尔-帕拉德小体。人类细胞确实含有魏贝尔-帕拉德小体。毛细血管内皮细胞与主动脉内皮细胞的区别在于它们对条件培养基的需求。在常规培养基中,牛毛细血管内皮细胞生长缓慢,平均倍增时间为67小时,最终死亡。在肿瘤条件培养基中,这些细胞生长迅速,倍增时间为28小时,只要有肿瘤条件培养基存在,就会继续增殖。相比之下,牛主动脉内皮细胞在常规培养基中和在肿瘤条件培养基中生长速度一样快。这种方法可以产生纯的毛细血管内皮细胞,这可能对肿瘤血管生成、转移机制以及毛细血管内皮在其他病理状态中的作用的研究有用。

https://cdn.ncbi.nlm.nih.gov/pmc/blobs/73f9/413111/0f8fe1a6ad28/pnas00010-0480-d.jpg
https://cdn.ncbi.nlm.nih.gov/pmc/blobs/73f9/413111/1f961674d746/pnas00010-0479-a.jpg
https://cdn.ncbi.nlm.nih.gov/pmc/blobs/73f9/413111/03946f903072/pnas00010-0479-b.jpg
https://cdn.ncbi.nlm.nih.gov/pmc/blobs/73f9/413111/d629d32b4b2e/pnas00010-0479-c.jpg
https://cdn.ncbi.nlm.nih.gov/pmc/blobs/73f9/413111/275cde2684c7/pnas00010-0479-d.jpg
https://cdn.ncbi.nlm.nih.gov/pmc/blobs/73f9/413111/ca01459d9eb9/pnas00010-0479-e.jpg
https://cdn.ncbi.nlm.nih.gov/pmc/blobs/73f9/413111/1c8718f3fa3f/pnas00010-0479-f.jpg
https://cdn.ncbi.nlm.nih.gov/pmc/blobs/73f9/413111/e1ba9245e0eb/pnas00010-0479-g.jpg
https://cdn.ncbi.nlm.nih.gov/pmc/blobs/73f9/413111/7fbff16ab620/pnas00010-0479-h.jpg
https://cdn.ncbi.nlm.nih.gov/pmc/blobs/73f9/413111/acf4f759e88e/pnas00010-0479-i.jpg
https://cdn.ncbi.nlm.nih.gov/pmc/blobs/73f9/413111/ec104bec44d4/pnas00010-0479-j.jpg
https://cdn.ncbi.nlm.nih.gov/pmc/blobs/73f9/413111/01e516fb0c7e/pnas00010-0479-k.jpg
https://cdn.ncbi.nlm.nih.gov/pmc/blobs/73f9/413111/1ec8e364acc7/pnas00010-0480-a.jpg
https://cdn.ncbi.nlm.nih.gov/pmc/blobs/73f9/413111/032e798234b5/pnas00010-0480-b.jpg
https://cdn.ncbi.nlm.nih.gov/pmc/blobs/73f9/413111/1faac36360dc/pnas00010-0480-c.jpg
https://cdn.ncbi.nlm.nih.gov/pmc/blobs/73f9/413111/0f8fe1a6ad28/pnas00010-0480-d.jpg
https://cdn.ncbi.nlm.nih.gov/pmc/blobs/73f9/413111/1f961674d746/pnas00010-0479-a.jpg
https://cdn.ncbi.nlm.nih.gov/pmc/blobs/73f9/413111/03946f903072/pnas00010-0479-b.jpg
https://cdn.ncbi.nlm.nih.gov/pmc/blobs/73f9/413111/d629d32b4b2e/pnas00010-0479-c.jpg
https://cdn.ncbi.nlm.nih.gov/pmc/blobs/73f9/413111/275cde2684c7/pnas00010-0479-d.jpg
https://cdn.ncbi.nlm.nih.gov/pmc/blobs/73f9/413111/ca01459d9eb9/pnas00010-0479-e.jpg
https://cdn.ncbi.nlm.nih.gov/pmc/blobs/73f9/413111/1c8718f3fa3f/pnas00010-0479-f.jpg
https://cdn.ncbi.nlm.nih.gov/pmc/blobs/73f9/413111/e1ba9245e0eb/pnas00010-0479-g.jpg
https://cdn.ncbi.nlm.nih.gov/pmc/blobs/73f9/413111/7fbff16ab620/pnas00010-0479-h.jpg
https://cdn.ncbi.nlm.nih.gov/pmc/blobs/73f9/413111/acf4f759e88e/pnas00010-0479-i.jpg
https://cdn.ncbi.nlm.nih.gov/pmc/blobs/73f9/413111/ec104bec44d4/pnas00010-0479-j.jpg
https://cdn.ncbi.nlm.nih.gov/pmc/blobs/73f9/413111/01e516fb0c7e/pnas00010-0479-k.jpg
https://cdn.ncbi.nlm.nih.gov/pmc/blobs/73f9/413111/1ec8e364acc7/pnas00010-0480-a.jpg
https://cdn.ncbi.nlm.nih.gov/pmc/blobs/73f9/413111/032e798234b5/pnas00010-0480-b.jpg
https://cdn.ncbi.nlm.nih.gov/pmc/blobs/73f9/413111/1faac36360dc/pnas00010-0480-c.jpg
https://cdn.ncbi.nlm.nih.gov/pmc/blobs/73f9/413111/0f8fe1a6ad28/pnas00010-0480-d.jpg

相似文献

1
Long-term culture of capillary endothelial cells.毛细血管内皮细胞的长期培养。
Proc Natl Acad Sci U S A. 1979 Oct;76(10):5217-21. doi: 10.1073/pnas.76.10.5217.
2
Long-term serial cultivation of arterial and capillary endothelium from adult bovine brain.
In Vitro Cell Dev Biol. 1985 Mar;21(3 Pt 1):172-80. doi: 10.1007/BF02621355.
3
Secretory phenotypes of endothelial cells in culture: comparison of aortic, venous, capillary, and corneal endothelium.培养的内皮细胞的分泌表型:主动脉、静脉、毛细血管和角膜内皮的比较。
Arteriosclerosis. 1981 Nov-Dec;1(6):427-42. doi: 10.1161/01.atv.1.6.427.
4
The formation of capillary-like tubes by calf aortic endothelial cells grown in vitro.体外培养的小牛主动脉内皮细胞形成毛细血管样管。
J Cell Physiol. 1983 Jul;116(1):1-6. doi: 10.1002/jcp.1041160102.
5
Aortic endothelial and smooth muscle cell interactions in culture.培养条件下主动脉内皮细胞与平滑肌细胞的相互作用
Acta Morphol Hung. 1986;34(3):157-61.
6
Sertoli cells enhance formation of capillary-like structures in vitro.支持细胞在体外增强类毛细血管结构的形成。
Cell Transplant. 2008;17(10-11):1135-44. doi: 10.3727/096368908787236512.
7
Technique for cloning bovine aortic endothelial cells.牛主动脉内皮细胞克隆技术。
In Vitro. 1983 May;19(5):394-402. doi: 10.1007/BF02619556.
8
Migration of capillary endothelial cells is stimulated by tumour-derived factors.肿瘤衍生因子可刺激毛细血管内皮细胞的迁移。
Nature. 1980 May 1;285(5759):41-3. doi: 10.1038/285041a0.
9
Isolation and characterization of vasoformative endothelial cells from the rat aorta.
In Vitro Cell Dev Biol Anim. 1994 Jun;30A(6):394-9. doi: 10.1007/BF02634360.
10
Comparison of tissue-cultured bovine endothelial cells from aorta and saphenous vein.来自主动脉和大隐静脉的组织培养牛内皮细胞的比较。
In Vitro. 1978 Nov;14(11):903-10. doi: 10.1007/BF02616119.

引用本文的文献

1
Protocol for the site-specific isolation of mouse endothelial cells using the modified Häutchen technique.使用改良的“皮片”技术对小鼠内皮细胞进行位点特异性分离的方案。
STAR Protoc. 2025 Mar 21;6(1):103620. doi: 10.1016/j.xpro.2025.103620. Epub 2025 Feb 6.
2
Tumor angiogenesis and anti-angiogenic therapy.肿瘤血管生成与抗血管生成治疗。
Chin Med J (Engl). 2024 Sep 5;137(17):2043-2051. doi: 10.1097/CM9.0000000000003231. Epub 2024 Jul 25.
3
Blood vessels in a dish: the evolution, challenges, and potential of vascularized tissues and organoids.

本文引用的文献

1
Angiogenesis in psoriasis: therapeutic implications.
J Invest Dermatol. 1972 Jul;59(1):40-3. doi: 10.1111/1523-1747.ep12625746.
2
Tumor angiogenesis.肿瘤血管生成
Adv Cancer Res. 1974;19(0):331-58. doi: 10.1016/s0065-230x(08)60058-5.
3
Effect of oxygen on the developing retinal vessels of the rabbit. 3. Mode of growth of rabbit retinal vessels in tissue culture.
Exp Eye Res. 1973 Mar;15(3):321-51. doi: 10.1016/0014-4835(73)90149-8.
4
培养皿中的血管:血管化组织和类器官的演变、挑战与潜力
Front Cardiovasc Med. 2024 Jun 13;11:1336910. doi: 10.3389/fcvm.2024.1336910. eCollection 2024.
4
The Future of Microsurgery: Vascularized Composite Allotransplantation and Engineering Vascularized Tissue.显微外科的未来:血管化复合组织异体移植与工程化血管化组织
J Hand Microsurg. 2024 Apr 16;16(1):100011. doi: 10.1055/s-0042-1757182. eCollection 2024 Mar.
5
Discovery and Development of Tumor Angiogenesis Assays.肿瘤血管生成检测方法的发现和发展。
Methods Mol Biol. 2023;2572:1-37. doi: 10.1007/978-1-0716-2703-7_1.
6
Advanced Microfluidic Vascularized Tissues as Platform for the Study of Human Diseases and Drug Development.先进的微流控血管化组织作为研究人类疾病和药物开发的平台。
Curr Neuropharmacol. 2023;21(3):599-620. doi: 10.2174/1570159X20666220706112711.
7
Characterization, isolation, and culture of spermatogonial stem cells in .生精干细胞的鉴定、分离和培养。
Asian J Androl. 2021 May-Jun;23(3):240-248. doi: 10.4103/aja.aja_95_20.
8
Endothelial Cells as Tools to Model Tissue Microenvironment in Hypoxia-Dependent Pathologies.内皮细胞作为模拟缺氧依赖性疾病组织微环境的工具。
Int J Mol Sci. 2021 Jan 7;22(2):520. doi: 10.3390/ijms22020520.
9
PIK3CA mutations are specifically localized to lymphatic endothelial cells of lymphatic malformations.PIK3CA 突变特异性定位于淋巴管畸形的淋巴管内皮细胞。
PLoS One. 2018 Jul 9;13(7):e0200343. doi: 10.1371/journal.pone.0200343. eCollection 2018.
10
Biomimetic microfluidic platform for the quantification of transient endothelial monolayer permeability and therapeutic transport under mimicked cancerous conditions.用于在模拟癌性条件下定量瞬时内皮单层通透性和治疗性转运的仿生微流控平台。
Biomicrofluidics. 2018 Jan 2;12(1):014101. doi: 10.1063/1.5000377. eCollection 2018 Jan.
Human vascular endothelial cells in culture. Growth and DNA synthesis.
培养的人血管内皮细胞。生长与DNA合成。
J Cell Biol. 1974 Mar;60(3):673-84. doi: 10.1083/jcb.60.3.673.
5
Culture of human endothelial cells derived from umbilical veins. Identification by morphologic and immunologic criteria.源自脐静脉的人内皮细胞培养。通过形态学和免疫学标准进行鉴定。
J Clin Invest. 1973 Nov;52(11):2745-56. doi: 10.1172/JCI107470.
6
Antihemophilic factor antigen. Localization in endothelial cells by immunofluorescent microscopy.抗血友病因子抗原。通过免疫荧光显微镜在内皮细胞中的定位。
J Clin Invest. 1973 Nov;52(11):2737-44. doi: 10.1172/JCI107469.
7
Tumor angiogenesis activity in cells grown in tissue culture.
Cancer Res. 1976 Jan;36(1):110-4.
8
Fine structure of vascular endothelium in culture.
J Ultrastruct Res. 1975 Jan;50(1):22-32. doi: 10.1016/s0022-5320(75)90004-0.
9
Clonal growth of bovine vascular endothelial cells: fibroblast growth factor as a survival agent.牛血管内皮细胞的克隆生长:成纤维细胞生长因子作为一种存活因子
Proc Natl Acad Sci U S A. 1976 Nov;73(11):4120-4. doi: 10.1073/pnas.73.11.4120.
10
Isolations of a cartilage factor that inhibits tumor neovascularization.
Science. 1976 Jul 2;193(4247):70-2. doi: 10.1126/science.935859.