Suppr超能文献

淋巴上皮癌:一例罕见喉肿瘤的病例报告。

Lymphoepithelial carcinoma: a case report of a rare tumor of the larynx.

作者信息

Hammas Nawal, Benmansour Najib, El Alami El Amine Mohamed Nour-Dine, Chbani Laila, El Fatemi Hind

机构信息

Department of Pathology, Hassan II University Hospital, 30000 Fez, Morocco.

Biomedical and Translational Research Laboratory, Faculty of Medicine and Pharmacy, Sidi Mohamed Ben Abdellah University, Fez, Morocco.

出版信息

BMC Clin Pathol. 2017 Nov 25;17:24. doi: 10.1186/s12907-017-0061-0. eCollection 2017.

Abstract

BACKGROUND

Lymphoepithelial carcinoma is a tumor mostly diagnosed in the nasopharynx, but it has also been described in a variety of nonnasopharyngeal sites. It is extremely rare in the larynx and should be distinguished from squamous cell carcinoma. Therefore, it must be known by clinicians, pathologists and oncologists. In this case report, we discuss its etiopathogeny, its epidemiological, clinical, pathological and therapeutic aspects, and its outcome.

CASE PRESENTATION

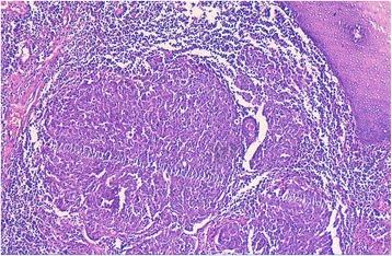
An 81-year-old Morrocan man, smoker for 40 years, presented with a 1 year history of dysphonia, dyspnea and dysphagia. Laryngoscopy showed a mass occupying supraglottic, glottic and subglottic levels of the larynx. Cervico-thoracic computed tomography scan showed a laryngeal wall thickening with cervical lymphadenopathy. Laryngeal biopsy was performed. Microscopic analysis and immunohistochemistry confirmed the diagnosis of laryngeal lymphoepithelial carcinoma. Immunostaining for LMP1 was negative.

CONCLUSION

Laryngeal lymphoepithelial carcinoma is an extremely rare and an aggressive tumor. It is rarely associated with the EBV. It must be regarded as a distinct entity. Radiotherapy is advisable as the unique therapy for local tumor. A correct diagnosis and a close collaboration between the pathologist and clinicians is mandatory for an optimal treatment strategy.

摘要

背景

淋巴上皮癌是一种主要在鼻咽部诊断出的肿瘤,但也在多种非鼻咽部位有过描述。它在喉部极为罕见,应与鳞状细胞癌相鉴别。因此,临床医生、病理学家和肿瘤学家都必须了解它。在本病例报告中,我们讨论其病因、流行病学、临床、病理和治疗方面以及其预后。

病例介绍

一名81岁的摩洛哥男性,有40年吸烟史,出现声音嘶哑、呼吸困难和吞咽困难1年。喉镜检查显示喉部声门上、声门和声门下水平有肿物。颈胸计算机断层扫描显示喉壁增厚并伴有颈部淋巴结肿大。进行了喉部活检。显微镜分析和免疫组化确诊为喉部淋巴上皮癌。LMP1免疫染色为阴性。

结论

喉部淋巴上皮癌是一种极为罕见且侵袭性强的肿瘤。它很少与EB病毒相关。必须将其视为一种独特的实体。放疗建议作为局部肿瘤的唯一治疗方法。正确的诊断以及病理学家和临床医生之间的密切合作对于制定最佳治疗策略至关重要。

https://cdn.ncbi.nlm.nih.gov/pmc/blobs/9370/5702189/d702738f9fb6/12907_2017_61_Fig1_HTML.jpg

文献检索

告别复杂PubMed语法,用中文像聊天一样搜索,搜遍4000万医学文献。AI智能推荐,让科研检索更轻松。

立即免费搜索

文件翻译

保留排版,准确专业,支持PDF/Word/PPT等文件格式,支持 12+语言互译。

免费翻译文档

深度研究

AI帮你快速写综述,25分钟生成高质量综述,智能提取关键信息,辅助科研写作。

立即免费体验