Suppr超能文献

Birt-Hogg-Dubé综合征中的复发性肾癌:一例报告。

Recurrent renal cancer in Birt-Hogg-Dubé syndrome: A case report.

作者信息

Ather Hammad, Zahid Nida

机构信息

Department of Surgery, Aga Khan University, Karachi, Pakistan.

出版信息

Int J Surg Case Rep. 2018;42:75-78. doi: 10.1016/j.ijscr.2017.11.032. Epub 2017 Nov 28.

Abstract

INTRODUCTION

Birt-Hogg-Dubé syndrome (BHDS) is a rare autosomal dominant disease. It is caused by constitutional mutations in the FLCN gene. Since BHDS is a rare syndrome therefore it is unknown to many physicians. However, it is important to identify this rare syndrome at early stages because incidence of renal cancer in BHD patients is very high and its detection at early stages can prevent its metastasis. Hence, we want to present a case of BHDS and draw the attention of the treating physician to this rare inherited disorder and discuss its appropriate diagnosis and management.

CASE PRESENTATION

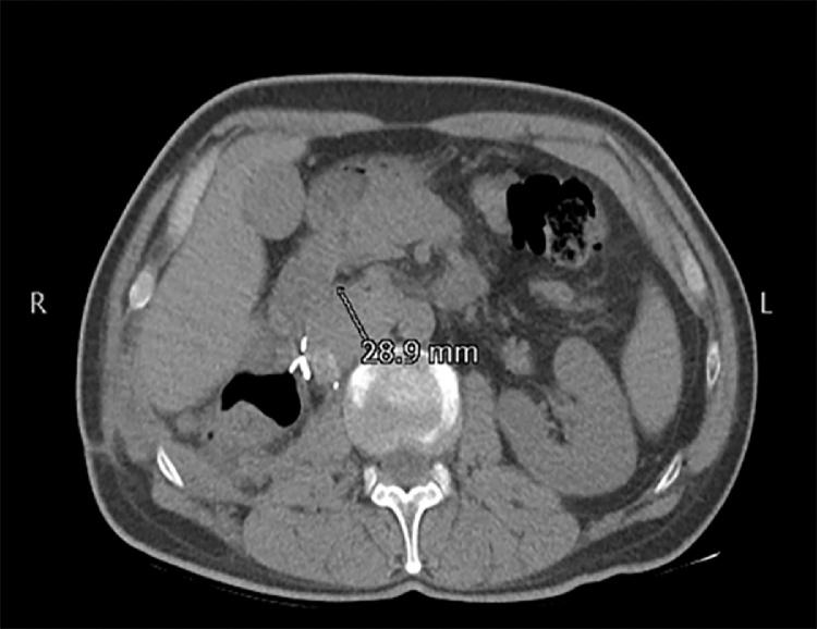
We present a case of a 50-year old male presented to the consulting clinics of a University Hospital with right flank pain since the last 2 months. The Computed Tomography (CT) and biopsy on the right renal mass indicated clear cell type renal cell carcinoma with significant lymphadenopathy. Past history of cystic lung disease and pneumothorax along with positive finding of renal cell carcinoma on CT and biopsy suggested Birt-Hogg-Dub́e (BHD) syndrome. The patient underwent right radical nephrectomy and lymph node dissection. His 3 months post- surgery follow up CT scan indicated disease recurrence.

CONCLUSION

In conclusion, it is important to identify this rare syndrome at early stages. Diagnosis for the patients with a positive family history for renal cell cancer and pneumothorax should be considered. FLCN sequencing should also be taken into account in patients and their families because incidence of renal cancer in BHD patients is very high and detection at early stages can prevent its metastasis.

摘要

引言

Birt-Hogg-Dubé综合征(BHDS)是一种罕见的常染色体显性疾病。它由FLCN基因的胚系突变引起。由于BHDS是一种罕见综合征,因此许多医生并不了解。然而,在早期识别这种罕见综合征很重要,因为BHD患者患肾癌的几率非常高,早期检测可以防止其转移。因此,我们想展示一例BHDS病例,引起治疗医生对这种罕见遗传性疾病的关注,并讨论其适当的诊断和管理。

病例介绍

我们展示了一例50岁男性患者,他在过去两个月里因右侧胁腹疼痛到一家大学医院的咨询门诊就诊。对右侧肾肿块进行的计算机断层扫描(CT)和活检显示为透明细胞型肾细胞癌,并伴有明显的淋巴结病。既往有囊性肺病和气胸病史,同时CT和活检发现肾细胞癌呈阳性,提示为Birt-Hogg-Dubé(BHD)综合征。该患者接受了右侧根治性肾切除术和淋巴结清扫术。术后3个月的CT扫描显示疾病复发。

结论

总之,在早期识别这种罕见综合征很重要。对于有肾细胞癌和气胸家族史阳性的患者应考虑进行诊断。对于患者及其家族也应考虑进行FLCN基因测序,因为BHD患者患肾癌的几率非常高,早期检测可以防止其转移。

https://cdn.ncbi.nlm.nih.gov/pmc/blobs/e0a7/5726742/29262eeb5d04/gr1.jpg

文献AI研究员

20分钟写一篇综述,助力文献阅读效率提升50倍。

立即体验

用中文搜PubMed

大模型驱动的PubMed中文搜索引擎

马上搜索

文档翻译

学术文献翻译模型,支持多种主流文档格式。

立即体验