Suppr超能文献

抑制 PTPN6 通过激活 STAT 通路加重小鼠氧化铝纳米颗粒诱导的 COPD 样病变。

Suppression of PTPN6 exacerbates aluminum oxide nanoparticle-induced COPD-like lesions in mice through activation of STAT pathway.

机构信息

Key Laboratory of Environmental Medicine Engineering, Ministry of Education, School of Public Health, Southeast University, Dingjiaqiao 87, Nanjing, 210009, China.

Center for New Drug Safety Evaluation and Research, China Pharmaceutical University, Nanjing, China.

出版信息

Part Fibre Toxicol. 2017 Dec 12;14(1):53. doi: 10.1186/s12989-017-0234-0.

Abstract

BACKGROUND

Inhaled nanoparticles can deposit in the deep lung where they interact with pulmonary cells. Despite numerous studies on pulmonary nanotoxicity, detailed molecular mechanisms of specific nanomaterial-induced lung injury have yet to be identified.

RESULTS

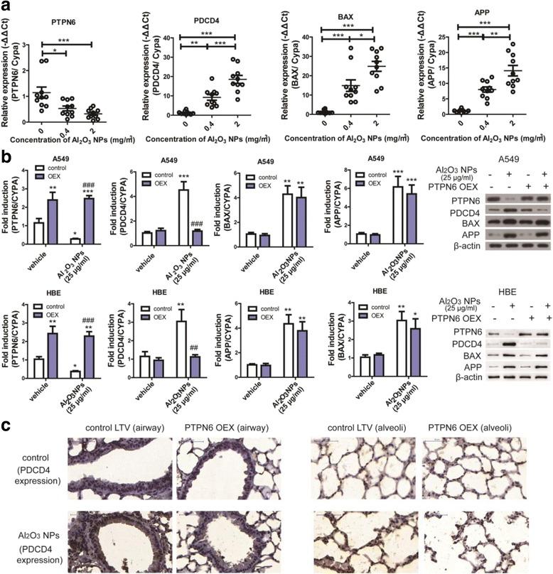
Using whole-body dynamic inhalation model, we studied the interactions between aluminum oxide nanoparticles (AlO NPs) and the pulmonary system in vivo. We found that seven-day-exposure to AlO NPs resulted in emphysema and small airway remodeling in murine lungs, accompanied by enhanced inflammation and apoptosis. AlO NPs exposure led to suppression of PTPN6 and phosphorylation of STAT3, culminating in increased expression of the apoptotic marker PDCD4. Rescue of PTPN6 expression or application of a STAT3 inhibitor, effectively protected murine lungs from inflammation and apoptosis, as well as, in part, from the induction of chronic obstructive pulmonary disease (COPD)-like effects.

CONCLUSION

In summary, our studies show that inhibition of PTPN6 plays a critical role in AlO NPs-induced COPD-like lesions.

摘要

背景

吸入的纳米颗粒可以沉积在肺部深处,在那里与肺细胞相互作用。尽管有许多关于肺部纳米毒性的研究,但特定纳米材料引起的肺损伤的详细分子机制尚未确定。

结果

我们使用全身动态吸入模型研究了氧化铝纳米颗粒(AlO NPs)与体内肺部系统的相互作用。我们发现,暴露于 AlO NPs 7 天导致小鼠肺部肺气肿和小气道重塑,伴有炎症和细胞凋亡增强。AlO NPs 暴露导致 PTPN6 抑制和 STAT3 磷酸化,最终导致凋亡标志物 PDCD4 的表达增加。PTPN6 表达的挽救或 STAT3 抑制剂的应用有效地保护了小鼠肺部免受炎症和细胞凋亡的侵害,部分保护了慢性阻塞性肺疾病(COPD)样效应的发生。

结论

总之,我们的研究表明,PTPN6 的抑制在 AlO NPs 诱导的 COPD 样病变中起着关键作用。

https://cdn.ncbi.nlm.nih.gov/pmc/blobs/7359/5728016/99b4aebf4dfc/12989_2017_234_Fig1_HTML.jpg

文献检索

告别复杂PubMed语法,用中文像聊天一样搜索,搜遍4000万医学文献。AI智能推荐,让科研检索更轻松。

立即免费搜索

文件翻译

保留排版,准确专业,支持PDF/Word/PPT等文件格式,支持 12+语言互译。

免费翻译文档

深度研究

AI帮你快速写综述,25分钟生成高质量综述,智能提取关键信息,辅助科研写作。

立即免费体验