• 文献检索
  • 文档翻译
  • 深度研究
  • 学术资讯
  • Suppr Zotero 插件Zotero 插件
  • 邀请有礼
  • 套餐&价格
  • 历史记录
应用&插件
Suppr Zotero 插件Zotero 插件浏览器插件Mac 客户端Windows 客户端微信小程序
定价
高级版会员购买积分包购买API积分包
服务
文献检索文档翻译深度研究API 文档MCP 服务
关于我们
关于 Suppr公司介绍联系我们用户协议隐私条款
关注我们

Suppr 超能文献

核心技术专利:CN118964589B侵权必究
粤ICP备2023148730 号-1Suppr @ 2026

文献检索

告别复杂PubMed语法,用中文像聊天一样搜索,搜遍4000万医学文献。AI智能推荐,让科研检索更轻松。

立即免费搜索

文件翻译

保留排版,准确专业,支持PDF/Word/PPT等文件格式,支持 12+语言互译。

免费翻译文档

深度研究

AI帮你快速写综述,25分钟生成高质量综述,智能提取关键信息,辅助科研写作。

立即免费体验

一例罕见的伴有颅骨肿块、红细胞减少和血小板减少的血管肉瘤:病例报告及文献复习

A rare case of angiosarcoma with skull masses and erythropenia and thrombocytopenia: A case report and review of literature.

作者信息

Gao Liansheng, Xu Weilin, Li Tao, Luo Huali, Gai Shiying, Xing Ruxin, Chen Gao, Chen Yili

机构信息

Department of Neurosurgery, Second Affiliated Hospital, School of Medicine, Zhejiang University, Hangzhou Department of Neurosurgery, Fourth Affiliated Hospital, School of Medicine, Zhejiang University, Yiwu Department of Pathology, Fourth Affiliated Hospital, School of Medicine, Zhejiang University, Yiwu, Zhejiang, China.

出版信息

Medicine (Baltimore). 2017 Dec;96(49):e8787. doi: 10.1097/MD.0000000000008787.

DOI:10.1097/MD.0000000000008787
PMID:29245237
原文链接:https://pmc.ncbi.nlm.nih.gov/articles/PMC5728852/
Abstract

RATIONALE

Primary splenic angiosarcoma (PSA) is a rare, fatal neoplasm originating from sinusoidal vascular endothelial cells, and usually metastasizes and almost always has a poor prognosis. Surgical excision is the main treatment of this highly malignant disease.

PATIENT CONCERNS

We reported a special case of a 68-year-old female who had a 6-month history of scalp masses.

DIAGNOSIS

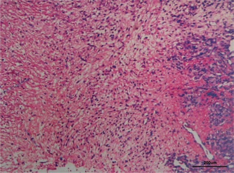
The patient was found to have 2 skull masses on computed tomography (CT). Laboratory findings revealed erythropenia and thrombocytopenia. Enhanced abdomen magnetic resonance imaging (MRI) showed multiple masses in liver and spleen. The pathological result of the skull masses was revealed to be metastatic angiosarcoma.

INTERVENTIONS

The patient underwent surgical excision of skull masses, and no subsequent radiotherapy or chemotherapy was done.

OUTCOMES

The patient died due to dyscrasia at August 12, 2015, with a survival of nearly 1 month.

LESSONS

We highlight the importance for clinicians to be aware of this rare neoplasm, and to consider it in the differential diagnosis when encountering a skull mass. Early confirmation and treatment may improve the prognosis.

摘要

理论依据

原发性脾血管肉瘤(PSA)是一种罕见的致命性肿瘤,起源于窦状血管内皮细胞,通常会发生转移,且预后几乎都很差。手术切除是这种高度恶性疾病的主要治疗方法。

患者情况

我们报告了一例特殊病例,一名68岁女性,有6个月头皮肿块病史。

诊断

计算机断层扫描(CT)发现患者有2个颅骨肿块。实验室检查结果显示红细胞减少和血小板减少。腹部增强磁共振成像(MRI)显示肝脏和脾脏有多个肿块。颅骨肿块的病理结果显示为转移性血管肉瘤。

干预措施

患者接受了颅骨肿块的手术切除,术后未进行放疗或化疗。

结果

患者于2015年8月12日因血液系统异常死亡,生存期近1个月。

经验教训

我们强调临床医生认识这种罕见肿瘤的重要性,在遇到颅骨肿块时应将其纳入鉴别诊断。早期确诊和治疗可能会改善预后。

https://cdn.ncbi.nlm.nih.gov/pmc/blobs/acc2/5728852/8eeadb6fb372/medi-96-e8787-g005.jpg
https://cdn.ncbi.nlm.nih.gov/pmc/blobs/acc2/5728852/1dc98dfc352b/medi-96-e8787-g001.jpg
https://cdn.ncbi.nlm.nih.gov/pmc/blobs/acc2/5728852/9c43ab4bcd57/medi-96-e8787-g002.jpg
https://cdn.ncbi.nlm.nih.gov/pmc/blobs/acc2/5728852/2c1100570e71/medi-96-e8787-g003.jpg
https://cdn.ncbi.nlm.nih.gov/pmc/blobs/acc2/5728852/fabbc7e68820/medi-96-e8787-g004.jpg
https://cdn.ncbi.nlm.nih.gov/pmc/blobs/acc2/5728852/8eeadb6fb372/medi-96-e8787-g005.jpg
https://cdn.ncbi.nlm.nih.gov/pmc/blobs/acc2/5728852/1dc98dfc352b/medi-96-e8787-g001.jpg
https://cdn.ncbi.nlm.nih.gov/pmc/blobs/acc2/5728852/9c43ab4bcd57/medi-96-e8787-g002.jpg
https://cdn.ncbi.nlm.nih.gov/pmc/blobs/acc2/5728852/2c1100570e71/medi-96-e8787-g003.jpg
https://cdn.ncbi.nlm.nih.gov/pmc/blobs/acc2/5728852/fabbc7e68820/medi-96-e8787-g004.jpg
https://cdn.ncbi.nlm.nih.gov/pmc/blobs/acc2/5728852/8eeadb6fb372/medi-96-e8787-g005.jpg

相似文献

1
A rare case of angiosarcoma with skull masses and erythropenia and thrombocytopenia: A case report and review of literature.一例罕见的伴有颅骨肿块、红细胞减少和血小板减少的血管肉瘤:病例报告及文献复习
Medicine (Baltimore). 2017 Dec;96(49):e8787. doi: 10.1097/MD.0000000000008787.
2
Case report of primary splenic angiosarcoma with hepatic metastases.原发性脾血管肉瘤伴肝转移的病例报告。
World J Gastroenterol. 2015 Oct 21;21(39):11199-204. doi: 10.3748/wjg.v21.i39.11199.
3
Hemangiosarcoma of the spleen: helical computed tomography features.脾脏血管肉瘤:螺旋计算机断层扫描特征
South Med J. 2000 Aug;93(8):825-7.
4
Primary splenic angiosarcoma associated with anemia, leukocytosis and thrombocytopenia.原发性脾血管肉瘤伴贫血、白细胞增多和血小板减少。
Ann Clin Lab Sci. 2014 Spring;44(2):217-21.
5
Schistocytes, echinocytes, iron deficiency anemia, and thrombocytopenia - hematologic manifestations of splenic angiosarcoma.棘状红细胞、皱缩红细胞、缺铁性贫血和血小板减少症——脾血管肉瘤的血液学表现。
Arch Iran Med. 2013 Oct;16(10):602-5.
6
Primary splenic angiosarcoma with liver metastasis: A case report and literature review.原发性脾血管肉瘤伴肝转移:一例报告及文献复习
World J Gastroenterol. 2016 Mar 28;22(12):3506-10. doi: 10.3748/wjg.v22.i12.3506.
7
Hemangiosarcoma of the spleen. Report of a case.脾脏血管肉瘤。病例报告。
Pathologica. 1996 Feb;88(1):49-51.
8
Splenic angiosarcoma and iron deficiency anemia in a 43-year-old man.一名43岁男性的脾血管肉瘤与缺铁性贫血
South Med J. 2001 Jun;94(6):640-3.
9
Primary splenic angiosarcoma in a 2.5-year-old boy with hepatic metastasis.一名2.5岁患有肝转移的男孩的原发性脾血管肉瘤。
Pediatr Surg Int. 2012 Nov;28(11):1147-50. doi: 10.1007/s00383-012-3164-9. Epub 2012 Aug 26.
10
[Primary angiosarcoma of the spleen with liver metastases. Case report and literature review].[脾脏原发性血管肉瘤伴肝转移。病例报告及文献复习]
Cir Esp. 2005 Jul;78(1):50-2. doi: 10.1016/s0009-739x(05)70884-8.

引用本文的文献

1
Splenic Angiosarcoma Diagnosed on Bone Marrow Biopsy: Case Report and Literature Review.骨髓活检诊断的脾血管肉瘤:病例报告及文献复习
Radiol Case Rep. 2019 Jan 4;14(3):390-395. doi: 10.1016/j.radcr.2018.12.008. eCollection 2019 Mar.

本文引用的文献

1
Rectal Carcinoma Case Causing Bicytopenia.导致双血细胞减少症的直肠癌病例
World J Oncol. 2014 Feb;5(1):52-53. doi: 10.14740/wjon784w. Epub 2014 Mar 11.
2
Primary Epithelioid Angiosarcoma of Spleen: A Case Report and Review of Literature.脾脏原发性上皮样血管肉瘤:一例报告并文献复习
J Clin Diagn Res. 2016 Jan;10(1):ED05-7. doi: 10.7860/JCDR/2016/16978.7075. Epub 2016 Jan 1.
3
[A case of angiosarcoma of the spleen with intraperitoneal bleeding].[一例伴有腹腔内出血的脾脏血管肉瘤病例]
Nihon Shokakibyo Gakkai Zasshi. 2014 Mar;111(3):549-56.
4
Spontaneous rupture of primary splenic angiosarcoma: a case report and literature review.原发性脾脏血管肉瘤自发性破裂:病例报告及文献复习。
World J Surg Oncol. 2013 Mar 4;11:53. doi: 10.1186/1477-7819-11-53.
5
Low blood counts: immune mediated, idiopathic, or myelodysplasia.血细胞计数低:免疫介导、特发性或骨髓增生异常。
Hematology Am Soc Hematol Educ Program. 2012;2012:485-91. doi: 10.1182/asheducation-2012.1.485.
6
Pediatric patients with bicytopenia/pancytopenia: review of etiologies and clinico-hematological profile at a tertiary center.小儿双血细胞减少症/全血细胞减少症患者:三级医疗中心的病因及临床血液学特征综述
Indian J Pathol Microbiol. 2011 Jan-Mar;54(1):75-80. doi: 10.4103/0377-4929.77329.
7
Angiosarcoma of the spleen clinically presenting as metastatic ovarian cancer. A case report and review of the literature.脾脏血管肉瘤临床表现为转移性卵巢癌。病例报告及文献复习
Ann Diagn Pathol. 2005 Oct;9(5):289-92. doi: 10.1016/j.anndiagpath.2005.03.007.
8
A case of metastatic epithelioid angiosarcoma in the lamina propria of a sigmoid tubulovillous adenoma.1例发生于乙状结肠管状绒毛状腺瘤固有层的转移性上皮样血管肉瘤。
Tumori. 2005 Mar-Apr;91(2):210-2. doi: 10.1177/030089160509100222.
9
Angiosarcoma of the spleen: imaging characteristics in 12 patients.脾脏血管肉瘤:12例患者的影像学特征
Radiology. 2005 Apr;235(1):106-15. doi: 10.1148/radiol.2351040308. Epub 2005 Mar 4.
10
From the archives of the AFIP: primary vascular neoplasms of the spleen: radiologic-pathologic correlation.源自武装部队病理研究所档案:脾脏原发性血管肿瘤的影像学与病理对照研究
Radiographics. 2004 Jul-Aug;24(4):1137-63. doi: 10.1148/rg.244045006.