Suppr超能文献

一例与机化性肺炎相关的野生型转甲状腺素蛋白淀粉样变性病例。

A case of wild-type transthyretin amyloidosis associated with organizing pneumonia.

作者信息

Nakao Makoto, Muramatsu Hideki, Yamamoto Eriko, Suzuki Yuto, Arakawa Sousuke, Tomooka Ken, Sakai Yusuke, Fujita Kouhei, Sato Hidefumi

机构信息

Department of Respiratory Medicine, Kainan Hospital Aichi Prefectural Welfare Federation of Agricultural Cooperatives, Japan.

出版信息

J Rural Med. 2017 Nov;12(2):130-134. doi: 10.2185/jrm.2935. Epub 2017 Nov 30.

Abstract

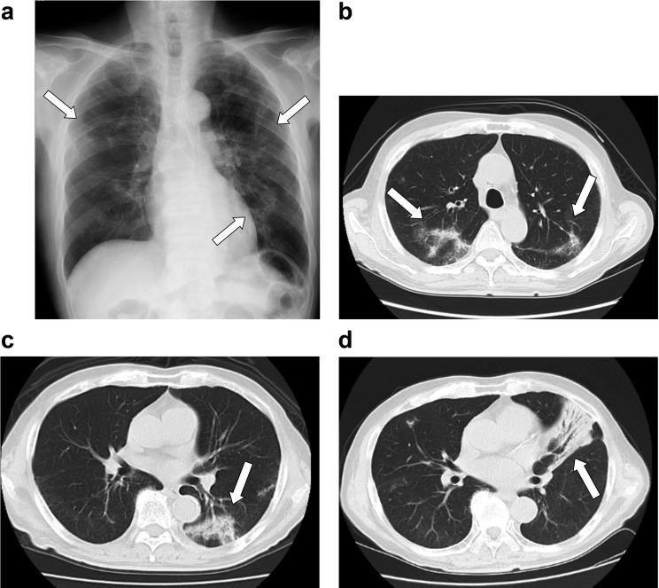
An 81-year-old man was referred to our hospital with bilateral multiple patchy opacities on chest radiography. His chief complaints were a few months' history of intermittent mild cough and slightly yellow sputum. Chest computed tomography (CT) showed non-segmental air-space consolidations with ground-glass opacities. Amyloid deposition with organizing pneumonia (OP) was seen in transbronchial lung biopsy (TBLB) specimens from the left S8. Three months later, the infiltration originally seen in the left lower lobe was remarkably diminished, and new infiltrations in the lingual and right lower lobes were detected on chest CT. Amyloid deposition with OP was seen in TBLB specimens from the left S4. Transthyretin was detected following immunohistochemical examination. The presence of wild-type transthyretin (ATTRwt) was proven using genetic analysis. The present report describes a rare case of ATTRwt amyloidosis associated with OP.

摘要

一名81岁男性因胸部X线检查发现双侧多发斑片状模糊影而转诊至我院。他的主要症状是有几个月间歇性轻度咳嗽及略呈黄色痰液的病史。胸部计算机断层扫描(CT)显示非节段性气腔实变伴磨玻璃影。在左肺下叶背段(S8)经支气管肺活检(TBLB)标本中可见淀粉样沉积伴机化性肺炎(OP)。三个月后,最初在左下叶发现的浸润明显减轻,胸部CT检测到舌叶和右下叶出现新的浸润。在左肺上叶前段(S4)的TBLB标本中可见淀粉样沉积伴OP。免疫组织化学检查后检测到转甲状腺素蛋白。通过基因分析证实存在野生型转甲状腺素蛋白(ATTRwt)。本报告描述了一例罕见的与OP相关的ATTRwt淀粉样变性病例。

https://cdn.ncbi.nlm.nih.gov/pmc/blobs/a0f6/5721298/efed2691bc47/jrm-12-130-g001.jpg

文献AI研究员

20分钟写一篇综述,助力文献阅读效率提升50倍。

立即体验

用中文搜PubMed

大模型驱动的PubMed中文搜索引擎

马上搜索

文档翻译

学术文献翻译模型,支持多种主流文档格式。

立即体验