Suppr超能文献

格里斯尔综合征病例中的麻醉问题与困难气道管理

Anesthetic issues and Difficult Airway Management in a Case of Grisel's Syndrome.

作者信息

Gupta Ajit, Prakash Jay, Kumar Pawan, Singh Niraj Narain

机构信息

Department of Anesthesiology and Critical Care, IGIMS, Patna, Bihar, India.

Department of Orthopedics, IGIMS, Patna, Bihar, India.

出版信息

Anesth Essays Res. 2017 Oct-Dec;11(4):1094-1096. doi: 10.4103/0259-1162.180782.

Abstract

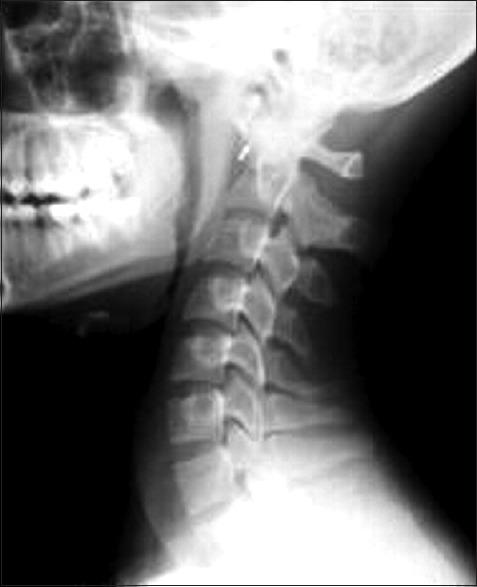
Grisel's syndrome is a nontraumatic subluxation of atlanto-axial joint which is associated with inflammatory conditions of head and neck and occurs primarily in children. Anesthetic management is such cases constitute a multitude of challenges, especially related to the airway management. We presented here a case of 16-year-old male child weighing 23 kg, came to our hospital for the treatment of torticollis who was previously treated with intravenous antibiotics for rhinopharyngitis and diagnosed as a case of Grisel's syndrome. The child was operated on for unilateral resection of sternocleidomastoid muscle under general anesthesia. This case report pertains to the successful airway and anesthetic management in the background of difficult airway.

摘要

格里塞尔综合征是一种寰枢关节非创伤性半脱位,与头颈部炎症性疾病相关,主要发生于儿童。此类病例的麻醉管理面临诸多挑战,尤其是气道管理方面。我们在此报告一例16岁男性患儿,体重23千克,因斜颈来我院治疗,该患儿此前因鼻咽炎接受静脉抗生素治疗,被诊断为格里塞尔综合征。患儿在全身麻醉下行胸锁乳突肌单侧切除术。本病例报告涉及在困难气道背景下成功的气道和麻醉管理。

https://cdn.ncbi.nlm.nih.gov/pmc/blobs/c7a4/5735458/51b18f5427eb/AER-11-1094-g001.jpg

文献检索

告别复杂PubMed语法,用中文像聊天一样搜索,搜遍4000万医学文献。AI智能推荐,让科研检索更轻松。

立即免费搜索

文件翻译

保留排版,准确专业,支持PDF/Word/PPT等文件格式,支持 12+语言互译。

免费翻译文档

深度研究

AI帮你快速写综述,25分钟生成高质量综述,智能提取关键信息,辅助科研写作。

立即免费体验