• 文献检索
  • 文档翻译
  • 深度研究
  • 学术资讯
  • Suppr Zotero 插件Zotero 插件
  • 邀请有礼
  • 套餐&价格
  • 历史记录
应用&插件
Suppr Zotero 插件Zotero 插件浏览器插件Mac 客户端Windows 客户端微信小程序
定价
高级版会员购买积分包购买API积分包
服务
文献检索文档翻译深度研究API 文档MCP 服务
关于我们
关于 Suppr公司介绍联系我们用户协议隐私条款
关注我们

Suppr 超能文献

核心技术专利:CN118964589B侵权必究
粤ICP备2023148730 号-1Suppr @ 2026

文献检索

告别复杂PubMed语法,用中文像聊天一样搜索,搜遍4000万医学文献。AI智能推荐,让科研检索更轻松。

立即免费搜索

文件翻译

保留排版,准确专业,支持PDF/Word/PPT等文件格式,支持 12+语言互译。

免费翻译文档

深度研究

AI帮你快速写综述,25分钟生成高质量综述,智能提取关键信息,辅助科研写作。

立即免费体验

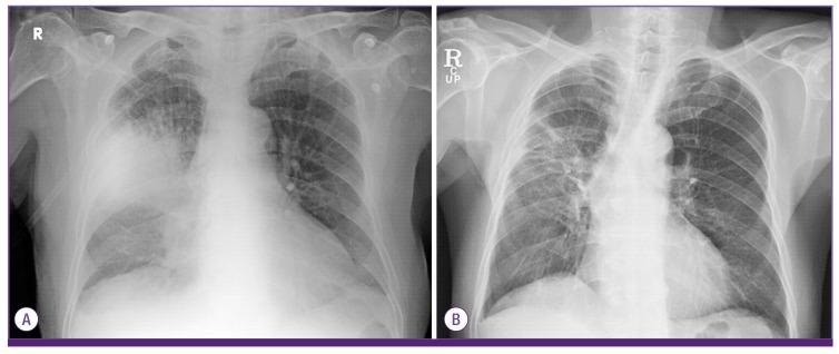
韩国一例由多重耐药鲍曼不动杆菌引起的社区获得性肺炎病例。

A Case of Community-Acquired Pneumonia Caused by Multidrug-Resistant Acinetobacter baumannii in Korea.

作者信息

Son Young Woong, Jung In Young, Ahn Mi Young, Jeon Yong Duk, Ann Hea Won, Ahn Jin Young, Ku Nam Su, Han Sang Hoon, Choi Jun Young, Song Young Goo, Kim June Myung

机构信息

Department of Internal Medicine, Yonsei University College of Medicine, Seoul, Korea.

AIDS Research Institue, Yonsei University College of Medicine, Seoul, Korea.

出版信息

Infect Chemother. 2017 Dec;49(4):297-300. doi: 10.3947/ic.2017.49.4.297.

DOI:10.3947/ic.2017.49.4.297
PMID:29299898
原文链接:https://pmc.ncbi.nlm.nih.gov/articles/PMC5754342/
Abstract

Acinetobacter baumannii is an aerobic Gram-negative coccobacillus that causes nosocomial pneumonia in patients on mechanical ventilation or previously treated with broad-spectrum antibiotics. Nevertheless, community-acquired pneumonia (CAP) caused by A. baumannii, especially multi-drug resistant (MDR) strains, is rare. We experienced the first case of CAP caused by MDR A. baumannii in Korea in a 78-year-old man. This case shows that MDR A. baumannii can cause CAP in Korea.

摘要

鲍曼不动杆菌是一种需氧革兰氏阴性球杆菌,可导致接受机械通气或先前接受过广谱抗生素治疗的患者发生医院获得性肺炎。然而,由鲍曼不动杆菌引起的社区获得性肺炎(CAP),尤其是多重耐药(MDR)菌株引起的情况很少见。我们在韩国遇到了首例由多重耐药鲍曼不动杆菌引起的社区获得性肺炎病例,患者为一名78岁男性。该病例表明,多重耐药鲍曼不动杆菌在韩国可引起社区获得性肺炎。

https://cdn.ncbi.nlm.nih.gov/pmc/blobs/e9b2/5754342/1e96071573ad/ic-49-297-g002.jpg
https://cdn.ncbi.nlm.nih.gov/pmc/blobs/e9b2/5754342/e3550ed8a68b/ic-49-297-g001.jpg
https://cdn.ncbi.nlm.nih.gov/pmc/blobs/e9b2/5754342/1e96071573ad/ic-49-297-g002.jpg
https://cdn.ncbi.nlm.nih.gov/pmc/blobs/e9b2/5754342/e3550ed8a68b/ic-49-297-g001.jpg
https://cdn.ncbi.nlm.nih.gov/pmc/blobs/e9b2/5754342/1e96071573ad/ic-49-297-g002.jpg

相似文献

1
A Case of Community-Acquired Pneumonia Caused by Multidrug-Resistant Acinetobacter baumannii in Korea.韩国一例由多重耐药鲍曼不动杆菌引起的社区获得性肺炎病例。
Infect Chemother. 2017 Dec;49(4):297-300. doi: 10.3947/ic.2017.49.4.297.
2
Community acquired multi drug resistant (MDR) pneumonia in Malaysia - A case report.马来西亚社区获得性多重耐药肺炎——病例报告
Respir Med Case Rep. 2018 May 17;24:147-149. doi: 10.1016/j.rmcr.2018.05.019. eCollection 2018.
3
Diagnosis of severe community-acquired pneumonia caused by Acinetobacter baumannii through next-generation sequencing: a case report.通过下一代测序诊断鲍曼不动杆菌引起的严重社区获得性肺炎:一例报告。
BMC Infect Dis. 2020 Jan 15;20(1):45. doi: 10.1186/s12879-019-4733-5.
4
Risk factors and mortality of patients with nosocomial carbapenem-resistant Acinetobacter baumannii pneumonia.医院获得性耐碳青霉烯鲍曼不动杆菌肺炎患者的危险因素和死亡率。
Am J Infect Control. 2013 Jul;41(7):e59-63. doi: 10.1016/j.ajic.2013.01.006. Epub 2013 Mar 21.
5
Rapid spread and high mortality due to community-acquired pneumonia caused by (CAP-AB) in a Covid-19 intensive care unit.新型冠状病毒肺炎重症监护病房中由鲍曼不动杆菌引起的社区获得性肺炎导致的快速传播和高死亡率。
J Family Med Prim Care. 2022 Dec;11(12):7957-7959. doi: 10.4103/jfmpc.jfmpc_1117_22. Epub 2023 Jan 17.
6
Pneumonia caused by extensive drug-resistant Acinetobacter baumannii among hospitalized patients: genetic relationships, risk factors and mortality.住院患者中广泛耐药鲍曼不动杆菌引起的肺炎:遗传关系、危险因素和死亡率
BMC Infect Dis. 2017 May 30;17(1):371. doi: 10.1186/s12879-017-2471-0.
7
Resistance: A Real Challenge for Clinicians.耐药性:临床医生面临的真正挑战。
Antibiotics (Basel). 2020 Apr 23;9(4):205. doi: 10.3390/antibiotics9040205.
8
Ventilator-Associated Pneumonia due to Drug-Resistant : Risk Factors and Mortality Relation with Resistance Profiles, and Independent Predictors of In-Hospital Mortality.耐药性导致的呼吸机相关性肺炎:危险因素、与耐药谱的死亡率关系以及院内死亡的独立预测因素
Medicina (Kaunas). 2019 Feb 13;55(2):49. doi: 10.3390/medicina55020049.
9
[Investigation of the virulence factors of multidrug-resistant Acinetobacter baumannii isolates].[多重耐药鲍曼不动杆菌分离株毒力因子的研究]
Mikrobiyol Bul. 2014 Jan;48(1):70-81.
10
Risk factors of multidrug-resistant, extensively drug-resistant and pandrug-resistant Acinetobacter baumannii ventilator-associated pneumonia in a Medical Intensive Care Unit of University Hospital in Thailand.泰国某大学医院医学重症监护病房中多重耐药、广泛耐药及泛耐药鲍曼不动杆菌呼吸机相关性肺炎的危险因素
J Infect Chemother. 2015 Aug;21(8):570-4. doi: 10.1016/j.jiac.2015.04.010. Epub 2015 May 7.

引用本文的文献

1
Secapin: a promising antimicrobial peptide against multidrug-resistant Acinetobacter baumannii.Secapin:一种对抗多重耐药鲍曼不动杆菌的有前景的抗菌肽。
GMS Hyg Infect Control. 2024 Jul 9;19:Doc36. doi: 10.3205/dgkh000491. eCollection 2024.
2
Antimicrobial and Anti-Biofilm Peptide Octominin for Controlling Multidrug-Resistant .用于控制多重耐药性的抗菌和抗生物膜肽Octominin
Int J Mol Sci. 2021 May 19;22(10):5353. doi: 10.3390/ijms22105353.
3
Antibiogram, Prevalence of OXA Carbapenemase Encoding Genes, and RAPD-Genotyping of Multidrug-Resistant Incriminated in Hidden Community-Acquired Infections.

本文引用的文献

1
Therapy of Infections due to Carbapenem-Resistant Gram-Negative Pathogens.耐碳青霉烯类革兰氏阴性病原菌所致感染的治疗
Infect Chemother. 2014 Sep;46(3):149-64. doi: 10.3947/ic.2014.46.3.149. Epub 2014 Sep 24.
2
Combination therapy for carbapenem-resistant Gram-negative bacteria.碳青霉烯类耐药革兰氏阴性菌的联合治疗。
Expert Rev Anti Infect Ther. 2013 Dec;11(12):1333-53. doi: 10.1586/14787210.2013.845523. Epub 2013 Nov 6.
3
A case of fulminant community-acquired Acinetobacter baumannii pneumonia in Korea.韩国一例暴发性社区获得性鲍曼不动杆菌肺炎。
抗生素敏感性分析、产OXA碳青霉烯酶编码基因的流行情况以及与隐匿性社区获得性感染相关的多重耐药菌的随机扩增多态性DNA基因分型
Antibiotics (Basel). 2020 Sep 15;9(9):603. doi: 10.3390/antibiotics9090603.
4
Diagnosis of severe community-acquired pneumonia caused by Acinetobacter baumannii through next-generation sequencing: a case report.通过下一代测序诊断鲍曼不动杆菌引起的严重社区获得性肺炎:一例报告。
BMC Infect Dis. 2020 Jan 15;20(1):45. doi: 10.1186/s12879-019-4733-5.
5
Multidrug Resistant Gram-Negative Bacteria in Community-Acquired Pneumonia.社区获得性肺炎中的多重耐药革兰氏阴性菌。
Crit Care. 2019 Mar 9;23(1):79. doi: 10.1186/s13054-019-2371-3.
6
Community acquired multi drug resistant (MDR) pneumonia in Malaysia - A case report.马来西亚社区获得性多重耐药肺炎——病例报告
Respir Med Case Rep. 2018 May 17;24:147-149. doi: 10.1016/j.rmcr.2018.05.019. eCollection 2018.
Korean J Intern Med. 2013 Jul;28(4):486-90. doi: 10.3904/kjim.2013.28.4.486. Epub 2013 Jul 1.
4
Epidemiology and clinical features of community-onset Acinetobacter baumannii infections.社区获得性鲍曼不动杆菌感染的流行病学及临床特征
Infect Control Hosp Epidemiol. 2012 Oct;33(10):1053-5. doi: 10.1086/667739. Epub 2012 Aug 21.
5
Emergence of resistance to carbapenems in Acinetobacter baumannii in Europe: clinical impact and therapeutic options.鲍曼不动杆菌对碳青霉烯类药物耐药性的出现:临床影响和治疗选择。
Int J Antimicrob Agents. 2012 Feb;39(2):105-14. doi: 10.1016/j.ijantimicag.2011.10.004. Epub 2011 Nov 22.
6
Carbapenems: past, present, and future.碳青霉烯类抗生素:过去、现在和未来。
Antimicrob Agents Chemother. 2011 Nov;55(11):4943-60. doi: 10.1128/AAC.00296-11. Epub 2011 Aug 22.
7
Further increases in carbapenem-, amikacin-, and fluoroquinolone-resistant isolates of Acinetobacter spp. and P. aeruginosa in Korea: KONSAR study 2009.韩国碳青霉烯类、阿米卡星和氟喹诺酮类耐药不动杆菌属和铜绿假单胞菌分离株的进一步增加:2009 年 KONSAR 研究。
Yonsei Med J. 2011 Sep;52(5):793-802. doi: 10.3349/ymj.2011.52.5.793.
8
Severe community-acquired Acinetobacter baumannii pneumonia: an emerging highly lethal infectious disease in the Asia-Pacific.严重社区获得性鲍曼不动杆菌肺炎:亚太地区新兴的高致死性传染病。
Respirology. 2009 Nov;14(8):1200-5. doi: 10.1111/j.1440-1843.2009.01630.x.
9
Acinetobacter: an old friend, but a new enemy.不动杆菌:一个老相识,却是新敌人。
J Hosp Infect. 2009 Dec;73(4):355-63. doi: 10.1016/j.jhin.2009.03.032. Epub 2009 Aug 22.
10
Clinical outcomes and risk factors of community-acquired pneumonia caused by gram-negative bacilli.革兰氏阴性杆菌所致社区获得性肺炎的临床结局及危险因素
Eur J Clin Microbiol Infect Dis. 2008 Aug;27(8):657-61. doi: 10.1007/s10096-008-0485-7. Epub 2008 Mar 4.