• 文献检索
  • 文档翻译
  • 深度研究
  • 学术资讯
  • Suppr Zotero 插件Zotero 插件
  • 邀请有礼
  • 套餐&价格
  • 历史记录
应用&插件
Suppr Zotero 插件Zotero 插件浏览器插件Mac 客户端Windows 客户端微信小程序
定价
高级版会员购买积分包购买API积分包
服务
文献检索文档翻译深度研究API 文档MCP 服务
关于我们
关于 Suppr公司介绍联系我们用户协议隐私条款
关注我们

Suppr 超能文献

核心技术专利:CN118964589B侵权必究
粤ICP备2023148730 号-1Suppr @ 2026

文献检索

告别复杂PubMed语法,用中文像聊天一样搜索,搜遍4000万医学文献。AI智能推荐,让科研检索更轻松。

立即免费搜索

文件翻译

保留排版,准确专业,支持PDF/Word/PPT等文件格式,支持 12+语言互译。

免费翻译文档

深度研究

AI帮你快速写综述,25分钟生成高质量综述,智能提取关键信息,辅助科研写作。

立即免费体验

搭桥手术失败后长段股腘动脉闭塞性疾病的成功再通

Successful recanalization of long femoro-crural occlusive disease after failed bypass surgery.

作者信息

Korosoglou Grigorios, Eisele Tom, Raupp Dorothea, Eisenbach Christoph, Giusca Sorin

机构信息

Cardiology and Vascular Medicine, GRN Academic Teaching Hospital, Weinheim 69469, Germany.

Diabetology and Gastroenterology, GRN Academic Teaching Hospital, Weinheim 69469, Germany.

出版信息

World J Cardiol. 2017 Dec 26;9(12):842-847. doi: 10.4330/wjc.v9.i12.842.

DOI:10.4330/wjc.v9.i12.842
PMID:29317991
原文链接:https://pmc.ncbi.nlm.nih.gov/articles/PMC5746627/
Abstract

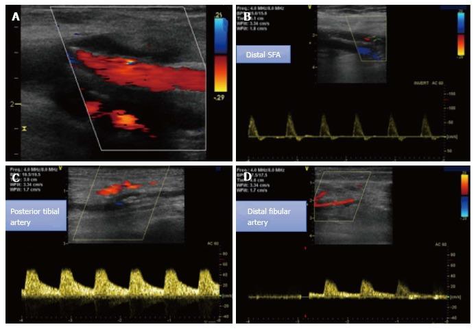
Patients with critical limb ischemia necessitate immediate intervention to restore blood flow to the affected limb. Endovascular procedures are currently preferred for these patients. We describe the case of an 80-year-old female patient who presented to our department with ischemic rest pain and ulceration of the left limb. The patient had history of left femoral popliteal bypass surgery, femoral thromboendarterectomy and patch angioplasty of the same limb 2 years ago. Doppler sonography and magnetic resonance angiography revealed an occlusion of the left superficial femoral artery (SFA) and popliteal artery and of all three infra-popliteal arteries. Due to severe comorbidities, the patient was scheduled for a digital subtraction angiography. An antegrade approach was first attempted, however the occlusion could not be passed. After revision of the angiography acquisition, a stent was identified at the level of the mid SFA, which was subsequently directly punctured, facilitating the retrograde crossing of the occlusion. Thereafter, balloon angioplasty was performed in the SFA, popliteal artery and posterior tibial artery. The result was considered suboptimal, but due to the large amount of contrast agent used, a second angiography was planned in 4 wk. In the second session, drug coated balloons were used to optimize treatment of the SFA, combined with recanalization of the left fibular artery, to optimize outflow. The post-procedural course was uneventful. Ischemic pain resolved completely after the procedure and at 8 wk of follow-up and the foot ulceration completely healed.

摘要

严重肢体缺血患者需要立即进行干预以恢复患肢的血流。目前,血管内介入手术是这类患者的首选治疗方法。我们描述了一名80岁女性患者的病例,该患者因左下肢缺血性静息痛和溃疡前来我院就诊。患者2年前曾接受左股腘动脉搭桥手术、股动脉血栓内膜切除术及同肢体的补片血管成形术。多普勒超声和磁共振血管造影显示左股浅动脉(SFA)、腘动脉以及所有三支腘下动脉均闭塞。由于存在严重的合并症,该患者计划接受数字减影血管造影检查。首先尝试顺行入路,但闭塞部位无法通过。在重新评估血管造影图像后,发现在SFA中段水平有一枚支架,随后直接对其进行穿刺,从而实现了闭塞部位的逆行通过。此后,对SFA、腘动脉和胫后动脉进行了球囊血管成形术。结果被认为不太理想,但由于使用了大量造影剂,计划在4周后进行第二次血管造影。在第二次手术中,使用药物涂层球囊对SFA进行优化治疗,并对左腓动脉进行再通以优化流出道。术后过程顺利。术后缺血性疼痛完全缓解,随访8周时足部溃疡完全愈合。

https://cdn.ncbi.nlm.nih.gov/pmc/blobs/2522/5746627/b10713ee07a1/WJC-9-842-g004.jpg
https://cdn.ncbi.nlm.nih.gov/pmc/blobs/2522/5746627/daee0fd28742/WJC-9-842-g001.jpg
https://cdn.ncbi.nlm.nih.gov/pmc/blobs/2522/5746627/8ce66159bbd3/WJC-9-842-g002.jpg
https://cdn.ncbi.nlm.nih.gov/pmc/blobs/2522/5746627/264444901284/WJC-9-842-g003.jpg
https://cdn.ncbi.nlm.nih.gov/pmc/blobs/2522/5746627/b10713ee07a1/WJC-9-842-g004.jpg
https://cdn.ncbi.nlm.nih.gov/pmc/blobs/2522/5746627/daee0fd28742/WJC-9-842-g001.jpg
https://cdn.ncbi.nlm.nih.gov/pmc/blobs/2522/5746627/8ce66159bbd3/WJC-9-842-g002.jpg
https://cdn.ncbi.nlm.nih.gov/pmc/blobs/2522/5746627/264444901284/WJC-9-842-g003.jpg
https://cdn.ncbi.nlm.nih.gov/pmc/blobs/2522/5746627/b10713ee07a1/WJC-9-842-g004.jpg

相似文献

1
Successful recanalization of long femoro-crural occlusive disease after failed bypass surgery.搭桥手术失败后长段股腘动脉闭塞性疾病的成功再通
World J Cardiol. 2017 Dec 26;9(12):842-847. doi: 10.4330/wjc.v9.i12.842.
2
[Factors determining late patency of aortobifemoral bypass graft].[决定主-双股动脉旁路移植术远期通畅率的因素]
Srp Arh Celok Lek. 1997 Jan-Feb;125(1-2):24-35.
3
Retrograde Popliteal Access to Percutaneous Peripheral Intervention for Chronic Total Occlusion of Superficial Femoral Arteries.经腘动脉逆行入路用于经皮外周介入治疗股浅动脉慢性完全闭塞病变
Vasc Endovascular Surg. 2017 Jul;51(5):240-246. doi: 10.1177/1538574417698902. Epub 2017 Jun 8.
4
Combined percutaneous endovascular iliac angioplasty and infrainguinal surgical revascularization for chronic lower extremity ischemia: preliminary result.经皮血管腔内髂动脉血管成形术联合腹股沟下手术血运重建治疗慢性下肢缺血:初步结果
Vascular. 2010 Mar-Apr;18(2):71-6. doi: 10.2310/6670.2010.00007.
5
Retrograde popliteal access in the supine patient for recanalization of the superficial femoral artery: initial results.平卧位逆行腘动脉入路开通股浅动脉:初步结果。
J Endovasc Ther. 2011 Aug;18(4):503-9. doi: 10.1583/11-3425.1.
6
Retrograde popliteal approach for challenging occlusions of the femoral-popliteal arteries.逆行腘动脉入路治疗股腘动脉挑战性闭塞。
J Vasc Surg. 2013 Jul;58(1):84-9. doi: 10.1016/j.jvs.2013.03.038.
7
Below-knee bare nitinol stent placement in high-risk patients with critical limb ischaemia and unlimited supragenicular inflow as treatment of choice.对于具有严重肢体缺血且膝上血流不受限的高危患者,选择在膝下裸露镍钛诺支架置入作为治疗方法。
Eur J Vasc Endovasc Surg. 2009 Jun;37(6):688-93. doi: 10.1016/j.ejvs.2009.01.023. Epub 2009 Mar 27.
8
Management of flush superficial femoral artery occlusions with combined open femoral endarterectomy and endovascular femoral-popliteal angioplasty and stent-grafting.联合开放式股动脉内膜切除术与血管腔内股腘动脉血管成形术及支架植入术治疗股浅动脉闭塞症
Ann Vasc Surg. 2011 May;25(4):559.e19-23. doi: 10.1016/j.avsg.2011.02.004.
9
Intraoperative superficial femoral artery balloon angioplasty and popliteal to distal bypass graft: an option for combined open and endovascular treatment of diabetic gangrene.术中股浅动脉球囊血管成形术及腘动脉至远端旁路移植术:糖尿病坏疽开放与血管腔内联合治疗的一种选择
J Vasc Surg. 2001 May;33(5):955-62. doi: 10.1067/mva.2001.114210.
10
Endovascular therapy with novel high anterior tibial artery puncture for limb salvage in a case of critical lower limb ischemia.采用新型高位胫前动脉穿刺进行血管内治疗以挽救一例严重下肢缺血患者的肢体。
Cardiovasc Interv Ther. 2014 Oct;29(4):363-7. doi: 10.1007/s12928-013-0241-5. Epub 2014 Jan 14.

引用本文的文献

1
Complex Peripheral Arterial Disease in a Case of Multilevel Lesions Treated With Sequential Angioplasty.序贯血管成形术治疗多节段病变患者的复杂外周动脉疾病
Cureus. 2024 May 24;16(5):e60982. doi: 10.7759/cureus.60982. eCollection 2024 May.

本文引用的文献

1
German guideline on the diagnosis and treatment of peripheral artery disease - a comprehensive update 2016.《德国外周动脉疾病诊断与治疗指南——2016年全面更新》
Vasa. 2017 Mar;46(2):79-86. doi: 10.1024/0301-1526/a000603. Epub 2017 Jan 27.
2
Non-coronary atherosclerosis.非冠状动脉粥样硬化。
Eur Heart J. 2014 May;35(17):1112-9. doi: 10.1093/eurheartj/ehu071. Epub 2014 Mar 3.
3
Direct stent puncture technique for intraluminal stent recanalization in the superficial femoral and popliteal arteries in-stent occlusion: outcomes from a prospective clinical analysis of diabetics with critical limb ischemia.
股浅动脉和腘动脉支架内闭塞时腔内支架再通的直接支架穿刺技术:重度下肢缺血糖尿病患者的前瞻性临床分析结果
Cardiovasc Revasc Med. 2013 Jul-Aug;14(4):203-6. doi: 10.1016/j.carrev.2013.05.001.
4
Comparison of global estimates of prevalence and risk factors for peripheral artery disease in 2000 and 2010: a systematic review and analysis.2000 年和 2010 年全球外周动脉疾病患病率和危险因素的估计值比较:系统评价和分析。
Lancet. 2013 Oct 19;382(9901):1329-40. doi: 10.1016/S0140-6736(13)61249-0. Epub 2013 Aug 1.
5
Recent trends in morbidity and in-hospital outcomes of in-patients with peripheral arterial disease: a nationwide population-based analysis.近年来外周动脉疾病住院患者的发病率和住院治疗结局的变化趋势:一项全国范围内基于人群的分析。
Eur Heart J. 2013 Sep;34(34):2706-14. doi: 10.1093/eurheartj/eht288. Epub 2013 Jul 17.
6
Clinical results using the direct stent puncture technique to treat SFA in-stent occlusion.使用直接支架穿刺技术治疗股浅动脉支架内闭塞的临床结果。
J Endovasc Ther. 2012 Jun;19(3):461-2. doi: 10.1583/12-3854L12-3867L12-3867L.461.
7
Stent puncture for recanalization of occluded superficial femoral artery stents.支架穿刺开通闭塞的股浅动脉支架。
J Endovasc Ther. 2012 Feb;19(1):30-3. doi: 10.1583/11-3660.1.
8
ESC Guidelines on the diagnosis and treatment of peripheral artery diseases: Document covering atherosclerotic disease of extracranial carotid and vertebral, mesenteric, renal, upper and lower extremity arteries: the Task Force on the Diagnosis and Treatment of Peripheral Artery Diseases of the European Society of Cardiology (ESC).欧洲心脏病学会(ESC)外周动脉疾病诊断和治疗指南:涵盖颅外颈动脉和椎动脉、肠系膜动脉、肾动脉、上肢和下肢动脉粥样硬化疾病的文件:欧洲心脏病学会外周动脉疾病诊断和治疗特别工作组
Eur Heart J. 2011 Nov;32(22):2851-906. doi: 10.1093/eurheartj/ehr211. Epub 2011 Aug 26.
9
Bypass versus Angioplasty in Severe Ischaemia of the Leg (BASIL) trial: An intention-to-treat analysis of amputation-free and overall survival in patients randomized to a bypass surgery-first or a balloon angioplasty-first revascularization strategy.BASIL 试验:严重肢体缺血患者旁路与血管成形术治疗(BASIL)试验:随机分为旁路手术优先或球囊血管成形术优先血运重建策略的患者的意向治疗分析,免于截肢和总生存。
J Vasc Surg. 2010 May;51(5 Suppl):5S-17S. doi: 10.1016/j.jvs.2010.01.073.
10
Peripheral arterial disease: morbidity and mortality implications.外周动脉疾病:对发病率和死亡率的影响
Circulation. 2006 Aug 15;114(7):688-99. doi: 10.1161/CIRCULATIONAHA.105.593442.