• 文献检索
  • 文档翻译
  • 深度研究
  • 学术资讯
  • Suppr Zotero 插件Zotero 插件
  • 邀请有礼
  • 套餐&价格
  • 历史记录
应用&插件
Suppr Zotero 插件Zotero 插件浏览器插件Mac 客户端Windows 客户端微信小程序
定价
高级版会员购买积分包购买API积分包
服务
文献检索文档翻译深度研究API 文档MCP 服务
关于我们
关于 Suppr公司介绍联系我们用户协议隐私条款
关注我们

Suppr 超能文献

核心技术专利:CN118964589B侵权必究
粤ICP备2023148730 号-1Suppr @ 2026

文献检索

告别复杂PubMed语法,用中文像聊天一样搜索,搜遍4000万医学文献。AI智能推荐,让科研检索更轻松。

立即免费搜索

文件翻译

保留排版,准确专业,支持PDF/Word/PPT等文件格式,支持 12+语言互译。

免费翻译文档

深度研究

AI帮你快速写综述,25分钟生成高质量综述,智能提取关键信息,辅助科研写作。

立即免费体验

男性Wistar大鼠中Bon-santé草本复合洁面乳的安全性评估:雄激素及毒理学特征的进一步研究

Safety evaluation of Bon-santé cleanser polyherbal in male Wistar rats: Further investigations on androgenic and toxicological profile.

作者信息

Awodele O, Kale O E, Odewabi A O, Ekor M, Salau B A, Adefule-Ositelu A O

机构信息

Department of Pharmacology, Therapeutics, and Toxicology, College of Medicine, University of Lagos, Nigeria.

Department of Pharmacology, Benjamin Carson (Snr.) School of Medicine, Babcock University, Nigeria.

出版信息

J Tradit Complement Med. 2017 Jun 20;8(1):212-219. doi: 10.1016/j.jtcme.2017.06.002. eCollection 2018 Jan.

DOI:10.1016/j.jtcme.2017.06.002
PMID:29322011
原文链接:https://pmc.ncbi.nlm.nih.gov/articles/PMC5756022/
Abstract

BACKGROUND

The global increase in acceptance and use of herbal remedies in recent times is still accompanied with poor knowledge of their potential adverse effects and the toxicological implications of their use are underestimated.

METHODS

Bon-santé Cleanser (BSC), a polyherbal containing , , , is an "energizer and hormone booster". We assessed the effect of BSC on reproductive function after administration for 60 days in male Wistar rats. Rats (150-300 g) were assigned into four groups of 8/group. Control received distilled water (10 ml/kg) while other groups received BSC 250, 500 and 1000 mg/kg/day .. respectively. Animals were euthanized by cervical dislocation and samples collected for analysis.

RESULTS

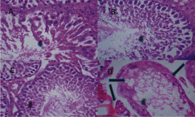
BSC (250 mg/kg) elevated (p < 0.05) follicle stimulating hormone and luteinizing hormone levels respectively. BSC decreased sperm motility and the live-dead ratio at 1000 mg/kg and reduced reproductive hormone at 500 mg/kg and 1000 mg/kg respectively. BSC at 500 mg/kg increased (p < 0.05,  = 3.18-13.21) testicular reduced glutathione level (50.3%) and catalase (43.7%) but not activities of superoxide dismutase, glutathione S-transferase, and malondialdehyde level. Further, BSC influenced Mg, Zn, Cu, P, Mn, Ni and Fe levels (p < 0.05). BSC (1000 mg/kg) decreased testis weight (p < 0.05) and induced mild inflammation characterized by atrophic tubules.

CONCLUSION

Overall, our data suggest BSC at low doses may increase reproductive hormones regulated by FSH and LH as observed in this study. However, BSC administration should be done with caution as it may induce reproductive toxicity in large doses.

摘要

背景

近年来,全球范围内草药疗法的接受度和使用率不断上升,但人们对其潜在不良反应的了解仍然不足,对其使用的毒理学影响也被低估。

方法

Bon-santé洁面乳(BSC)是一种含有多种草药的产品,包括[此处原文缺失草药名称],号称“活力增强剂和激素促进剂”。我们评估了在雄性Wistar大鼠中连续60天给予BSC后对其生殖功能的影响。将大鼠(150 - 300克)分为四组,每组8只。对照组给予蒸馏水(10毫升/千克),而其他组分别给予250、500和1000毫克/千克/天的BSC。通过颈椎脱臼法对动物实施安乐死,并收集样本进行分析。

结果

BSC(250毫克/千克)分别提高了(p < 0.05)促卵泡生成素和促黄体生成素水平。BSC在1000毫克/千克时降低了精子活力和活死比率,在500毫克/千克和1000毫克/千克时分别降低了生殖激素水平。500毫克/千克的BSC增加了(p < 0.05,[此处原文缺失相关数值] = 3.18 - 13.21)睾丸还原型谷胱甘肽水平(50.3%)和过氧化氢酶水平(43.7%),但超氧化物歧化酶、谷胱甘肽S - 转移酶的活性以及丙二醛水平未受影响。此外,BSC影响了镁、锌、铜、磷、锰、镍和铁的水平(p < 0.05)。BSC(1000毫克/千克)降低了睾丸重量(p < 0.05),并导致以肾小管萎缩为特征的轻度炎症。

结论

总体而言,我们的数据表明,如本研究中所观察到的,低剂量的BSC可能会增加由促卵泡生成素和促黄体生成素调节的生殖激素水平。然而,使用BSC时应谨慎行事,因为大剂量使用可能会导致生殖毒性。

https://cdn.ncbi.nlm.nih.gov/pmc/blobs/9a00/5756022/8b155e376c35/gr3.jpg
https://cdn.ncbi.nlm.nih.gov/pmc/blobs/9a00/5756022/44b4dfde8246/fx1.jpg
https://cdn.ncbi.nlm.nih.gov/pmc/blobs/9a00/5756022/7b3cf1309e1b/gr1.jpg
https://cdn.ncbi.nlm.nih.gov/pmc/blobs/9a00/5756022/cce4a2e408b8/gr2.jpg
https://cdn.ncbi.nlm.nih.gov/pmc/blobs/9a00/5756022/8b155e376c35/gr3.jpg
https://cdn.ncbi.nlm.nih.gov/pmc/blobs/9a00/5756022/44b4dfde8246/fx1.jpg
https://cdn.ncbi.nlm.nih.gov/pmc/blobs/9a00/5756022/7b3cf1309e1b/gr1.jpg
https://cdn.ncbi.nlm.nih.gov/pmc/blobs/9a00/5756022/cce4a2e408b8/gr2.jpg
https://cdn.ncbi.nlm.nih.gov/pmc/blobs/9a00/5756022/8b155e376c35/gr3.jpg

相似文献

1
Safety evaluation of Bon-santé cleanser polyherbal in male Wistar rats: Further investigations on androgenic and toxicological profile.男性Wistar大鼠中Bon-santé草本复合洁面乳的安全性评估:雄激素及毒理学特征的进一步研究
J Tradit Complement Med. 2017 Jun 20;8(1):212-219. doi: 10.1016/j.jtcme.2017.06.002. eCollection 2018 Jan.
2
Safety evaluation of Bon-santé cleanser® polyherbal in male Wistar rats.Bon-santé洁面乳®多草药配方对雄性Wistar大鼠的安全性评估。
BMC Complement Altern Med. 2016 Jul 7;16:188. doi: 10.1186/s12906-016-1188-8.
3
Toxicological evaluation of therapeutic and supra-therapeutic doses of Cellgevity® on reproductive function and biochemical indices in Wistar rats.治疗剂量及超治疗剂量的Cellgevity®对Wistar大鼠生殖功能和生化指标的毒理学评价
BMC Pharmacol Toxicol. 2018 Oct 25;19(1):68. doi: 10.1186/s40360-018-0253-y.
4
Erratum: Eyestalk Ablation to Increase Ovarian Maturation in Mud Crabs.勘误:切除眼柄以增加泥蟹的卵巢成熟度。
J Vis Exp. 2023 May 26(195). doi: 10.3791/6561.
5
[Effects of Yishen Shengjing Capsules on semen quality and gonadal hormone levels in rats with dibutyl phthalate-induced reproductive function injury].益肾生精胶囊对邻苯二甲酸二丁酯致大鼠生殖功能损伤精液质量及性腺激素水平的影响
Zhonghua Nan Ke Xue. 2016 Dec;22(12):1110-1115.
6
Clomiphene citrate ameliorated lead acetate-induced reproductive toxicity in male Wistar rats.枸橼酸氯米芬改善了醋酸铅对雄性Wistar大鼠的生殖毒性。
JBRA Assist Reprod. 2019 Oct 14;23(4):336-343. doi: 10.5935/1518-0557.20190038.
7
Influence of vitamin E and quercetin on Nigerian Bonny Light crude oil-induced neuronal and testicular toxicity in Wistar rats.维生素E和槲皮素对尼日利亚博尼轻质原油诱导的Wistar大鼠神经和睾丸毒性的影响。
J Basic Clin Physiol Pharmacol. 2015 May;26(3):223-31. doi: 10.1515/jbcpp-2013-0043.
8
Ameliorative potentials of diosmin and hesperidin fractions on chlorpyriphos-induced changes in reproductive hormones, sperm characteristics, and testicular glycogen in male Wistar rats.地奥司明和橙皮苷级分对毒死蜱诱导的雄性 Wistar 大鼠生殖激素、精子特征和睾丸糖原变化的改善潜力。
Naunyn Schmiedebergs Arch Pharmacol. 2024 Nov;397(11):9181-9190. doi: 10.1007/s00210-024-03241-1. Epub 2024 Jun 21.
9
Reproductive toxicity after levetiracetam administration in male rats: Evidence for role of hormonal status and oxidative stress.左乙拉西坦给药后雄性大鼠的生殖毒性:激素状态和氧化应激的作用证据。
PLoS One. 2017 Apr 18;12(4):e0175990. doi: 10.1371/journal.pone.0175990. eCollection 2017.
10
Evaluation of Male Fertility-Enhancing Activities of Water Seed Extract of in Wistar Rats.对Wistar大鼠中[具体植物名称]水种子提取物增强雄性生育能力活性的评估。 (你原文中“in Wistar Rats”前面似乎少了植物名称等关键信息)
Evid Based Complement Alternat Med. 2019 Aug 14;2019:7693010. doi: 10.1155/2019/7693010. eCollection 2019.

引用本文的文献

1
Prevention of seminal vesicle damage by var. seed extract in chronic unpredictable mild stress mice.苍耳子提取物对慢性不可预知温和应激小鼠精囊损伤的预防作用。
Pharm Biol. 2023 Dec;61(1):89-99. doi: 10.1080/13880209.2022.2157018.
2
Protective effects of Thai (L.) DC. var. pruriens seeds on sexual behaviors and essential reproductive markers in chronic unpredictable mild stress mice.泰国(L.)DC. 变种刺蒺藜种子对慢性不可预测轻度应激小鼠性行为和基本生殖指标的保护作用。
J Tradit Complement Med. 2021 Dec 15;12(4):402-413. doi: 10.1016/j.jtcme.2021.12.001. eCollection 2022 Jul.
3
Roem. & Schult.: A new bioactive antimicrobial and antioxidant agent to combat multi-drug/pan-drug resistant pathogens of wound burn infections.

本文引用的文献

1
The combined fixed-dose antituberculous drugs alter some reproductive functions with oxidative stress involvement in wistar rats.联合固定剂量抗结核药物会改变Wistar大鼠的某些生殖功能,并伴有氧化应激参与。
Toxicol Rep. 2016 Jul 19;3:620-627. doi: 10.1016/j.toxrep.2016.06.007. eCollection 2016.
2
Safety evaluation of Bon-santé cleanser® polyherbal in male Wistar rats.Bon-santé洁面乳®多草药配方对雄性Wistar大鼠的安全性评估。
BMC Complement Altern Med. 2016 Jul 7;16:188. doi: 10.1186/s12906-016-1188-8.
3
Hepatoprotective and antioxidant activity of Karisalai Karpam, a polyherbal Siddha formulation against acetaminophen-induced hepatic damage in rats.
罗伊姆和舒尔特:一种新型生物活性抗菌抗氧化剂,用于对抗伤口烧伤感染的多重耐药/泛耐药病原体。
J Tradit Complement Med. 2019 Jan 12;10(1):13-25. doi: 10.1016/j.jtcme.2019.01.004. eCollection 2020 Jan.
4
Research Progress of Male Reproductive Toxicity of Chinese Materia Medicas.中药对男性生殖毒性的研究进展
Evid Based Complement Alternat Med. 2019 Jul 14;2019:7249679. doi: 10.1155/2019/7249679. eCollection 2019.
卡里萨莱卡帕姆(一种复方悉达配方药)对大鼠扑热息痛诱导的肝损伤的保肝和抗氧化活性
Anc Sci Life. 2015 Apr-Jun;34(4):198-202. doi: 10.4103/0257-7941.160863.
4
Scientific validation of synergistic antioxidant effects in commercialised mixtures of Cymbopogon citratus and Pterospartum tridentatum or Gomphrena globosa for infusions preparation.商业化的香茅草与三叉苦或鸡冠花混合物的协同抗氧化作用的科学验证,用于制备浸剂。
Food Chem. 2015 Oct 15;185:16-24. doi: 10.1016/j.foodchem.2015.03.136. Epub 2015 Apr 3.
5
Association of Serum Heavy Metals and Trace Element Concentrations with Reproductive Hormone Levels and Polycystic Ovary Syndrome in a Chinese Population.中国人群血清重金属和微量元素浓度与生殖激素水平及多囊卵巢综合征的关联
Biol Trace Elem Res. 2015 Sep;167(1):1-10. doi: 10.1007/s12011-015-0294-7. Epub 2015 Mar 12.
6
Blackberry extract inhibits UVB-induced oxidative damage and inflammation through MAP kinases and NF-κB signaling pathways in SKH-1 mice skin.黑莓提取物通过丝裂原活化蛋白激酶(MAP激酶)和核因子κB(NF-κB)信号通路抑制SKH-1小鼠皮肤中紫外线B(UVB)诱导的氧化损伤和炎症。
Toxicol Appl Pharmacol. 2015 Apr 1;284(1):92-99. doi: 10.1016/j.taap.2015.02.003. Epub 2015 Feb 11.
7
The quassinoid isobrucein B reduces inflammatory hyperalgesia and cytokine production by post-transcriptional modulation.苦木素类异鸦胆丁B通过转录后调控减轻炎性痛觉过敏并降低细胞因子的产生。
J Nat Prod. 2015 Feb 27;78(2):241-9. doi: 10.1021/np500796f. Epub 2015 Feb 10.
8
Neurobehavioural and Analgesic Properties of Ethanol Bark Extract of Terminalia ivorensis A Chev. (Combrataceae) in Mice.象牙海岸榄仁树(使君子科)乙醇树皮提取物对小鼠的神经行为和镇痛特性
Drug Res (Stuttg). 2015 Oct;65(10):545-51. doi: 10.1055/s-0034-1394417. Epub 2014 Dec 16.
9
Detection, identification and quantification by 1H NMR of adulterants in 150 herbal dietary supplements marketed for improving sexual performance.采用氢核磁共振波谱法对150种声称具有改善性功能的草药膳食补充剂中的掺假物进行检测、鉴定和定量分析。
J Pharm Biomed Anal. 2015 Jan;102:476-93. doi: 10.1016/j.jpba.2014.10.011. Epub 2014 Oct 22.
10
Evaluation of the developmental toxicity of lead in the Danio rerio body.斑马鱼体内铅的发育毒性评估。
Aquat Toxicol. 2015 Jan;158:138-48. doi: 10.1016/j.aquatox.2014.10.026. Epub 2014 Nov 13.