• 文献检索
  • 文档翻译
  • 深度研究
  • 学术资讯
  • Suppr Zotero 插件Zotero 插件
  • 邀请有礼
  • 套餐&价格
  • 历史记录
应用&插件
Suppr Zotero 插件Zotero 插件浏览器插件Mac 客户端Windows 客户端微信小程序
定价
高级版会员购买积分包购买API积分包
服务
文献检索文档翻译深度研究API 文档MCP 服务
关于我们
关于 Suppr公司介绍联系我们用户协议隐私条款
关注我们

Suppr 超能文献

核心技术专利:CN118964589B侵权必究
粤ICP备2023148730 号-1Suppr @ 2026

文献检索

告别复杂PubMed语法,用中文像聊天一样搜索,搜遍4000万医学文献。AI智能推荐,让科研检索更轻松。

立即免费搜索

文件翻译

保留排版,准确专业,支持PDF/Word/PPT等文件格式,支持 12+语言互译。

免费翻译文档

深度研究

AI帮你快速写综述,25分钟生成高质量综述,智能提取关键信息,辅助科研写作。

立即免费体验

蜱虫尽管会引发强烈的炎症反应,但仍会反复叮咬白足鼠:这是理解蜱虫与宿主相互作用的一个不断扩展的范例。

Ticks, , Feed Repeatedly on White-Footed Mice despite Strong Inflammatory Response: An Expanding Paradigm for Understanding Tick-Host Interactions.

作者信息

Anderson Jennifer M, Moore Ian N, Nagata Bianca M, Ribeiro José M C, Valenzuela Jesus G, Sonenshine Daniel E

机构信息

Vector Biology Section, Laboratory of Malaria and Vector Research, National Institute of Allergy and Infectious Diseases (NIH), Rockville, MD, United States.

Infectious Disease and Pathogenesis Section, Comparative Medicine Branch, National Institute of Allergy and Infectious Diseases (NIH), Rockville, MD, United States.

出版信息

Front Immunol. 2017 Dec 18;8:1784. doi: 10.3389/fimmu.2017.01784. eCollection 2017.

DOI:10.3389/fimmu.2017.01784
PMID:29326693
原文链接:https://pmc.ncbi.nlm.nih.gov/articles/PMC5741700/
Abstract

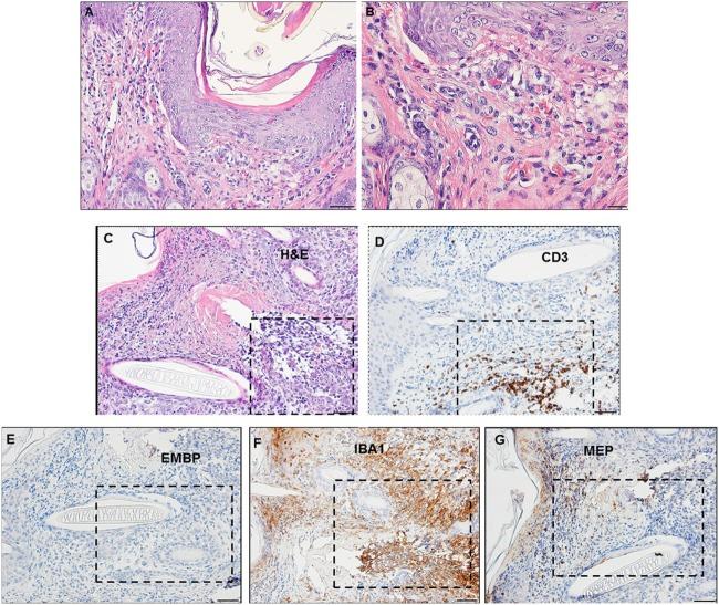
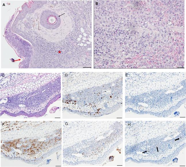
Ticks transmit infectious agents including bacteria, viruses and protozoa. However, their transmission may be compromised by host resistance to repeated tick feeding. Increasing host resistance to repeated tick bites is well known in laboratory animals, including intense inflammation at the bite sites. However, it is not known whether this also occurs in wild rodents such as white-footed mice, , and other wildlife, or if it occurs at all. According to the "host immune incompetence" hypothesis, if these mice do not have a strong inflammatory response, they would not reject repeated tick bites by . To test this hypothesis, histopathological studies were done comparing dermal inflammation in versus guinea pigs, , repeatedly infested with . In , the immune cell composition was like that seen in laboratory mouse models, with some differences. However, there was a broad sessile lesion with intact dermal architecture, likely enabling the ticks to continue feeding unimpeded. In contrast, in , there was a relatively similar mixed cellular profile, but there also was a large, leukocyte-filled cavitary lesion and scab-like hyperkeratotic changes to the epidermal layer, along with itching and apparent pain. Ticks attached to sensitized fed poorly or were dislodged, presumably due to the weakened anchoring of the tick's mouthparts cemented in the heavily inflamed and disintegrating dermal tissues. This is the first time that the architecture of the skin lesions has been recognized as a major factor in understanding tick-host tolerance versus tick bite rejection. These findings broadly strengthen previous work done on lab animal models but also help explain why can repeatedly parasitize white-footed mice, supporting the "immune evasion theory" but cannot repeatedly parasitize other, non-permissive hosts such as guinea pigs.

摘要

蜱虫传播包括细菌、病毒和原生动物在内的传染因子。然而,宿主对蜱虫反复叮咬的抵抗力可能会影响它们的传播。在实验动物中,提高宿主对蜱虫反复叮咬的抵抗力是众所周知的,包括叮咬部位出现强烈炎症。然而,尚不清楚这种情况是否也发生在诸如白足鼠等野生啮齿动物以及其他野生动物身上,或者是否真的会发生。根据“宿主免疫无能”假说,如果这些小鼠没有强烈的炎症反应,它们就不会排斥蜱虫的反复叮咬。为了验证这一假说,进行了组织病理学研究,比较了白足鼠和豚鼠在反复感染蜱虫后的皮肤炎症情况。在白足鼠身上,免疫细胞组成与实验室小鼠模型中的情况相似,但也存在一些差异。然而,有一个广泛的无柄病变,真皮结构完整,这可能使蜱虫能够继续不受阻碍地进食。相比之下,在豚鼠身上,有相对相似的混合细胞特征,但也有一个大的、充满白细胞的空洞性病变以及表皮层的痂状角化过度变化,同时伴有瘙痒和明显疼痛。附着在致敏豚鼠身上的蜱虫进食不佳或被驱赶,可能是由于蜱虫口器固定在严重发炎和分解的真皮组织中导致的锚固力减弱。这是首次认识到皮肤病变的结构是理解蜱虫 - 宿主耐受性与蜱虫叮咬排斥反应的一个主要因素。这些发现广泛地强化了先前在实验动物模型上所做的工作,但也有助于解释为什么蜱虫能够反复寄生于白足鼠,支持了“免疫逃避理论”,但不能反复寄生于其他非适宜宿主,如豚鼠。

https://cdn.ncbi.nlm.nih.gov/pmc/blobs/c8a9/5741700/d211c5271bfd/fimmu-08-01784-g013.jpg
https://cdn.ncbi.nlm.nih.gov/pmc/blobs/c8a9/5741700/292dd440e164/fimmu-08-01784-g001.jpg
https://cdn.ncbi.nlm.nih.gov/pmc/blobs/c8a9/5741700/1c5aefa3a9c2/fimmu-08-01784-g002.jpg
https://cdn.ncbi.nlm.nih.gov/pmc/blobs/c8a9/5741700/a5429d62f155/fimmu-08-01784-g003.jpg
https://cdn.ncbi.nlm.nih.gov/pmc/blobs/c8a9/5741700/438e59fa4313/fimmu-08-01784-g004.jpg
https://cdn.ncbi.nlm.nih.gov/pmc/blobs/c8a9/5741700/b1d006abeef4/fimmu-08-01784-g005.jpg
https://cdn.ncbi.nlm.nih.gov/pmc/blobs/c8a9/5741700/c3342dee536f/fimmu-08-01784-g006.jpg
https://cdn.ncbi.nlm.nih.gov/pmc/blobs/c8a9/5741700/b5976e9db46f/fimmu-08-01784-g007.jpg
https://cdn.ncbi.nlm.nih.gov/pmc/blobs/c8a9/5741700/ddb3c8df8e6b/fimmu-08-01784-g008.jpg
https://cdn.ncbi.nlm.nih.gov/pmc/blobs/c8a9/5741700/0d1be57959fb/fimmu-08-01784-g009.jpg
https://cdn.ncbi.nlm.nih.gov/pmc/blobs/c8a9/5741700/ed00683508c6/fimmu-08-01784-g010.jpg
https://cdn.ncbi.nlm.nih.gov/pmc/blobs/c8a9/5741700/0474beca3009/fimmu-08-01784-g011.jpg
https://cdn.ncbi.nlm.nih.gov/pmc/blobs/c8a9/5741700/7c7b05646024/fimmu-08-01784-g012.jpg
https://cdn.ncbi.nlm.nih.gov/pmc/blobs/c8a9/5741700/d211c5271bfd/fimmu-08-01784-g013.jpg
https://cdn.ncbi.nlm.nih.gov/pmc/blobs/c8a9/5741700/292dd440e164/fimmu-08-01784-g001.jpg
https://cdn.ncbi.nlm.nih.gov/pmc/blobs/c8a9/5741700/1c5aefa3a9c2/fimmu-08-01784-g002.jpg
https://cdn.ncbi.nlm.nih.gov/pmc/blobs/c8a9/5741700/a5429d62f155/fimmu-08-01784-g003.jpg
https://cdn.ncbi.nlm.nih.gov/pmc/blobs/c8a9/5741700/438e59fa4313/fimmu-08-01784-g004.jpg
https://cdn.ncbi.nlm.nih.gov/pmc/blobs/c8a9/5741700/b1d006abeef4/fimmu-08-01784-g005.jpg
https://cdn.ncbi.nlm.nih.gov/pmc/blobs/c8a9/5741700/c3342dee536f/fimmu-08-01784-g006.jpg
https://cdn.ncbi.nlm.nih.gov/pmc/blobs/c8a9/5741700/b5976e9db46f/fimmu-08-01784-g007.jpg
https://cdn.ncbi.nlm.nih.gov/pmc/blobs/c8a9/5741700/ddb3c8df8e6b/fimmu-08-01784-g008.jpg
https://cdn.ncbi.nlm.nih.gov/pmc/blobs/c8a9/5741700/0d1be57959fb/fimmu-08-01784-g009.jpg
https://cdn.ncbi.nlm.nih.gov/pmc/blobs/c8a9/5741700/ed00683508c6/fimmu-08-01784-g010.jpg
https://cdn.ncbi.nlm.nih.gov/pmc/blobs/c8a9/5741700/0474beca3009/fimmu-08-01784-g011.jpg
https://cdn.ncbi.nlm.nih.gov/pmc/blobs/c8a9/5741700/7c7b05646024/fimmu-08-01784-g012.jpg
https://cdn.ncbi.nlm.nih.gov/pmc/blobs/c8a9/5741700/d211c5271bfd/fimmu-08-01784-g013.jpg

相似文献

1
Ticks, , Feed Repeatedly on White-Footed Mice despite Strong Inflammatory Response: An Expanding Paradigm for Understanding Tick-Host Interactions.蜱虫尽管会引发强烈的炎症反应,但仍会反复叮咬白足鼠:这是理解蜱虫与宿主相互作用的一个不断扩展的范例。
Front Immunol. 2017 Dec 18;8:1784. doi: 10.3389/fimmu.2017.01784. eCollection 2017.
2
, , and humans have distinct transcriptomic responses to larval bites.和人类对幼虫叮咬有不同的转录组反应。 (你提供的原文开头有两个逗号,似乎表述不太完整,我是按照现有内容进行翻译的。)
bioRxiv. 2024 May 5:2024.05.02.592193. doi: 10.1101/2024.05.02.592193.
3
Duration of Borrelia burgdorferi infectivity in white-footed mice for the tick vector Ixodes scapularis under laboratory and field conditions in Ontario.在安大略省的实验室和野外条件下,伯氏疏螺旋体对白足鼠的感染持续时间,以及对蜱虫媒介肩突硬蜱的感染持续时间。
J Wildl Dis. 1997 Oct;33(4):766-75. doi: 10.7589/0090-3558-33.4.766.
4
Host-specific expression of Ixodes scapularis salivary genes.硬蜱属唾液基因的宿主特异性表达。
Ticks Tick Borne Dis. 2019 Feb;10(2):386-397. doi: 10.1016/j.ttbdis.2018.12.001. Epub 2018 Dec 3.
5
Immune response of lizards and rodents to larval Ixodes scapularis (Acari: Ixodidae).蜥蜴和啮齿动物对肩突硬蜱幼虫(蜱螨亚纲:硬蜱科)的免疫反应。
J Med Entomol. 1992 Sep;29(5):774-83. doi: 10.1093/jmedent/29.5.774.
6
Larval density and feeding success of Ixodes scapularis on two species of Peromyscus.肩突硬蜱幼虫在两种鹿鼠上的密度及取食成功率
J Parasitol. 1995 Dec;81(6):870-5.
7
Orally delivered fipronil-laced bait reduces juvenile blacklegged tick (Ixodes scapularis) burdens on wild white-footed mice (Peromyscus leucopus).口服喂食含有氟虫腈的诱饵可降低野生白足鼠(Peromyscus leucopus)身上幼年黑腿蜱(Ixodes scapularis)的负担。
Ticks Tick Borne Dis. 2023 Jul;14(4):102189. doi: 10.1016/j.ttbdis.2023.102189. Epub 2023 May 6.
8
Vector seasonality, host infection dynamics and fitness of pathogens transmitted by the tick Ixodes scapularis.肩突硬蜱传播病原体的媒介季节性、宿主感染动态及适应性
Parasitology. 2007 Feb;134(Pt 2):209-27. doi: 10.1017/S0031182006001417. Epub 2006 Oct 11.
9
Comparison of the reservoir competence of medium-sized mammals and Peromyscus leucopus for Anaplasma phagocytophilum in Connecticut.康涅狄格州中型哺乳动物和白足鼠对嗜吞噬细胞无形体的储存宿主能力比较。
Vector Borne Zoonotic Dis. 2002 Fall;2(3):125-36. doi: 10.1089/15303660260613693.
10
Detection of in Blacklegged Ticks () and White-Footed Mice () in Massachusetts.马萨诸塞州黑腿蜱()和白足鼠()中 的检测。
Vector Borne Zoonotic Dis. 2023 Jun;23(6):311-315. doi: 10.1089/vbz.2022.0098. Epub 2023 May 2.

引用本文的文献

1
Permission to Bite: White-footed mice show no increased grooming response to tick infestation.叮咬许可:白足鼠对蜱虫侵扰没有表现出增强的梳理反应。
J Zool (1987). 2025 Jun;326(2):140-147. doi: 10.1111/jzo.70010. Epub 2025 May 7.
2
Impacts of Tick Parasitism on the Rodent Gut Microbiome.蜱寄生对啮齿动物肠道微生物群的影响。
Microorganisms. 2025 Apr 12;13(4):888. doi: 10.3390/microorganisms13040888.
3
, , and humans have distinct transcriptomic responses to larval bites.蚊子、小鼠和人类对幼虫叮咬有不同的转录组反应。 (注:原句中“larval bites”根据语境推测为“蚊子幼虫叮咬”,这里补充完整使译文更通顺,原句中三个并列主语前的逗号属于错误标点,按照正确语法翻译后补充了“蚊子”和“小鼠”使句子逻辑完整)

本文引用的文献

1
An insight into the sialome of Hyalomma excavatum.对微小扇头蜱唾液蛋白质组的深入了解。
Ticks Tick Borne Dis. 2017 Feb;8(2):201-207. doi: 10.1016/j.ttbdis.2016.08.011. Epub 2016 Dec 21.
2
Characterization of the early local immune response to Ixodes ricinus tick bites in human skin.蓖麻硬蜱叮咬人类皮肤后早期局部免疫反应的特征
Exp Dermatol. 2017 Mar;26(3):263-269. doi: 10.1111/exd.13207. Epub 2017 Feb 9.
3
Macrophage cytokines: involvement in immunity and infectious diseases.巨噬细胞细胞因子:在免疫和传染病中的作用。
Infect Immun. 2025 Apr 8;93(4):e0006525. doi: 10.1128/iai.00065-25. Epub 2025 Mar 11.
4
Laboratory Management of Mammalian Hosts for -Host-Pathogen Interaction Studies.用于 -宿主-病原体相互作用研究的哺乳动物宿主的实验室管理。
Comp Med. 2024 Aug 1;74(4):235-245. doi: 10.30802/AALAS-CM-24-036.
5
Hitchhiker's Guide to .《漫步指南》。
J Bacteriol. 2024 Sep 19;206(9):e0011624. doi: 10.1128/jb.00116-24. Epub 2024 Aug 14.
6
The role of southern red-backed voles, Myodes gapperi, and Peromyscus mice in the enzootic maintenance of Lyme disease spirochetes in North Dakota, USA.美国北达科他州南部红背田鼠(Myodes gapperi)和鹿鼠在莱姆病螺旋体自然疫源地维持中的作用。
Ticks Tick Borne Dis. 2024 Nov;15(6):102385. doi: 10.1016/j.ttbdis.2024.102385. Epub 2024 Aug 2.
7
Exploring the transcriptome of immature stages of Ornithodoros hermsi, the soft-tick vector of tick-borne relapsing fever.探索软蜱传播回归热的媒介钝缘蜱未成熟阶段的转录组。
Sci Rep. 2024 May 30;14(1):12466. doi: 10.1038/s41598-024-62732-6.
8
IgE and anaphylaxis specific to the carbohydrate alpha-gal depend on IL-4.对碳水化合物α-半乳糖特异性的 IgE 和过敏反应依赖于 IL-4。
J Allergy Clin Immunol. 2024 Apr;153(4):1050-1062.e6. doi: 10.1016/j.jaci.2023.12.003. Epub 2023 Dec 21.
9
Assessment of cypermethrin and amitraz resistance and molecular profiling of voltage-gated sodium channel and octopamine tyramine genes of .溴氰菊酯和咪鲜胺抗药性评估及电压门控钠离子通道和章鱼胺酪氨酸基因的分子谱分析。
Front Cell Infect Microbiol. 2023 May 25;13:1176013. doi: 10.3389/fcimb.2023.1176013. eCollection 2023.
10
Repeated Tick Infestations Impair Transmission in a Non-Human Primate Model of Tick Feeding.蜱虫反复侵袭会损害蜱虫取食非人灵长类动物模型中的传播。
Pathogens. 2023 Jan 13;12(1):132. doi: 10.3390/pathogens12010132.
Front Immunol. 2014 Oct 7;5:491. doi: 10.3389/fimmu.2014.00491. eCollection 2014.
4
Murine cutaneous responses to the rocky mountain spotted fever vector, Dermacentor andersoni, feeding.鼠类对落矶山斑点热媒介,地松鼠,的皮肤反应。
Front Microbiol. 2014 May 7;5:198. doi: 10.3389/fmicb.2014.00198. eCollection 2014.
5
Protective and pathogenic functions of macrophage subsets.巨噬细胞亚群的保护和致病功能。
Nat Rev Immunol. 2011 Oct 14;11(11):723-37. doi: 10.1038/nri3073.
6
Selective ablation of basophils in mice reveals their nonredundant role in acquired immunity against ticks.在小鼠中选择性消融嗜碱性粒细胞揭示了它们在针对蜱的获得性免疫中的非冗余作用。
J Clin Invest. 2010 Aug;120(8):2867-75. doi: 10.1172/JCI42680. Epub 2010 Jul 26.
7
Borrelia burgdorferi has minimal impact on the Lyme disease reservoir host Peromyscus leucopus.伯氏疏螺旋体对莱姆病贮存宿主白足鼠的影响极小。
Vector Borne Zoonotic Dis. 2011 Feb;11(2):117-24. doi: 10.1089/vbz.2009.0215. Epub 2010 Jun 23.
8
Modulation of cutaneous inflammation induced by ticks in contrasting phenotypes of infestation in bovines.调节牛不同感染表型中由蜱引起的皮肤炎症。
Vet Parasitol. 2010 Feb 10;167(2-4):260-73. doi: 10.1016/j.vetpar.2009.09.028. Epub 2009 Sep 19.
9
The role of saliva in tick feeding.唾液在蜱虫取食中的作用。
Front Biosci (Landmark Ed). 2009 Jan 1;14(6):2051-88. doi: 10.2741/3363.
10
Dermatologic changes induced by repeated Ixodes scapularis bites and implications for prevention of tick-borne infection.由重复的硬蜱叮咬引起的皮肤变化及其对预防蜱传感染的意义。
Vector Borne Zoonotic Dis. 2009 Dec;9(6):603-10. doi: 10.1089/vbz.2008.0091.