Suppr超能文献

流感与肺炎链球菌共感染小鼠肺部的数字基因表达分析

Digital gene expression analysis in mice lung with coinfection of influenza and streptococcus pneumoniae.

作者信息

Luo Jun, Zhou Linlin, Wang Hongren, Qin Zhen, Xiang Li, Zhu Jie, Huang Xiaojun, Yang Yuan, Li Wanyi, Wang Baoning, Li Mingyuan

机构信息

Department of Microbiology, West China School of Basic Medical Sciences and Forensic Medicine, Sichuan University, Chengdu 610041, China.

Department of Microbiology, Guizhou Medical University, Guiyang 550004, China.

出版信息

Oncotarget. 2017 Dec 11;8(68):112748-112760. doi: 10.18632/oncotarget.23104. eCollection 2017 Dec 22.

Abstract

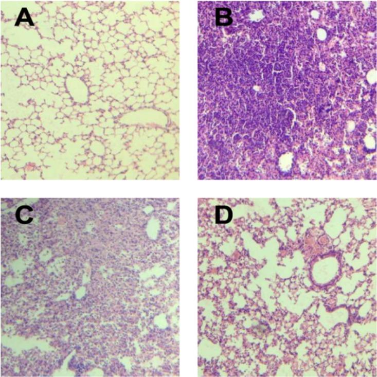
Influenza A virus (IAV) and Streptococcus pneumoniae (SP) are two major upper respiratory tract pathogens that can also cause infection in polarized bronchial epithelial cells to exacerbate disease in coinfected individuals which may result in significant morbidity. However, the underlying molecular mechanism is poorly understood. Here, we employed BALB/c ByJ mice inflected with SP, IAV, IAV followed by SP (IAV+SP) and PBS (Control) as models to survey the global gene expression using digital gene expression (DGE) profiling. We attempt to gain insights into the underlying genetic basis of this synergy at the expression level. Gene expression profiles were obtain using the Illimina/Hisseq sequencing technique, and further analyzed by enrichment analysis of Gene Ontology (GO) and Pathway function. The hematoxylin-eosin (HE) staining revealed different tissue changes in groups during which IAV+SP group showed the most severe cell apoptosis. Compared with Control, a total of 2731, 3221 and 3946 differentially expressed genes (DEGs) were detected in SP, IAV and IAV+SP respectively. Besides, sixty-two GO terms were identified by Gene Ontology functional enrichment analysis, such as cell killing, biological regulation, response to stimulus, signaling, biological adhesion, enzyme regulator activity, receptor regulator activity and translation regulator activity. Pathway significant enrichment analysis indicated the dysregulation of multiple pathways, including apoptosis pathway. Among these, five selected genes were further verified by quantitative reverse transcription-polymerase chain reaction (qRT-PCR). This study shows that infection with SP, IAV or IAV+SP induces apoptosis with different degrees which might provide insights into the molecular mechanisms to facilitate further research.

摘要

甲型流感病毒(IAV)和肺炎链球菌(SP)是两种主要的上呼吸道病原体,它们也可在极化支气管上皮细胞中引发感染,从而加重合并感染个体的病情,这可能导致显著的发病率。然而,其潜在的分子机制仍知之甚少。在这里,我们采用感染了SP、IAV、IAV后再感染SP(IAV+SP)和PBS(对照)的BALB/c ByJ小鼠作为模型,使用数字基因表达(DGE)谱分析来检测全局基因表达。我们试图在表达水平上深入了解这种协同作用的潜在遗传基础。使用Illimina/Hisseq测序技术获得基因表达谱,并通过基因本体论(GO)和通路功能的富集分析进行进一步分析。苏木精-伊红(HE)染色显示各实验组有不同的组织变化,其中IAV+SP组显示出最严重的细胞凋亡。与对照组相比,在SP、IAV和IAV+SP组中分别检测到2731、3221和3946个差异表达基因(DEG)。此外,通过基因本体论功能富集分析确定了62个GO术语,如细胞杀伤、生物调节、对刺激的反应、信号传导、生物黏附、酶调节活性、受体调节活性和翻译调节活性。通路显著富集分析表明多种通路失调,包括凋亡通路。其中,通过定量逆转录-聚合酶链反应(qRT-PCR)进一步验证了五个选定的基因。本研究表明,感染SP、IAV或IAV+SP会诱导不同程度的细胞凋亡,这可能为深入研究分子机制提供见解。

https://cdn.ncbi.nlm.nih.gov/pmc/blobs/d023/5762547/86f1cf82c706/oncotarget-08-112748-g001.jpg

文献AI研究员

20分钟写一篇综述,助力文献阅读效率提升50倍。

立即体验

用中文搜PubMed

大模型驱动的PubMed中文搜索引擎

马上搜索

文档翻译

学术文献翻译模型,支持多种主流文档格式。

立即体验