Suppr超能文献

马立克氏病疫苗可激活鸡巨噬细胞。

Marek's disease vaccine activates chicken macrophages.

作者信息

Wang Dan, Sun Shuhong, Heidari Mohammad

机构信息

College of Animal Science and Veterinary Medicine, Shandong Agricultural University, Tai'an 271018, China.

Avian Disease and Oncology Laboratory, U.S. Department of Agriculture, Agriculture Research Service (USDA-ARS), East Lansing, MI 48823, USA.

出版信息

J Vet Sci. 2018 May 31;19(3):375-383. doi: 10.4142/jvs.2018.19.3.375.

Abstract

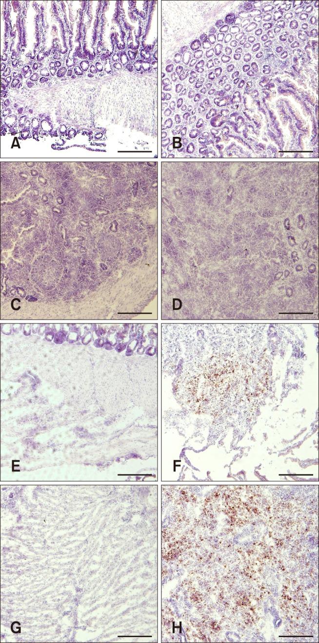
To provide insights into the role of innate immune responses in vaccine-mediated protection, we investigated the effect of Marek's disease (MD) vaccine, CVI988/Rispens, on the expression patterns of selected genes associated with activation of macrophages in MD-resistant and MD-susceptible chicken lines. Upregulation of interferon γ, interleukin (IL)-1β, IL-8, and IL-12 at different days post-inoculation (dpi) revealed activation of macrophages in both chicken lines. A strong immune response was induced in cecal tonsils of the susceptible line at 5 dpi. The highest transcriptional activities were observed in spleen tissues of the resistant line at 3 dpi. No increase in the population of CD3⁺ T cells was observed in duodenum of vaccinated birds at 5 dpi indicating a lack of involvement of the adaptive immune system in the transcriptional profiling of the tested genes. There was, however, an increase in the number of macrophages in the duodenum of vaccinated birds. The CVI988/Rispens antigen was detected in the duodenum and cecal tonsils of the susceptible line at 5 dpi but not in the resistant line. This study sheds light on the role of macrophages in vaccine-mediated protection against MD and on the possible development of new recombinant vaccines with enhanced innate immune system activation properties.

摘要

为深入了解先天免疫反应在疫苗介导的保护作用中的角色,我们研究了马立克氏病(MD)疫苗CVI988/Rispens对MD抗性和MD易感鸡品系中与巨噬细胞激活相关的特定基因表达模式的影响。接种后不同天数(dpi)时干扰素γ、白细胞介素(IL)-1β、IL-8和IL-12的上调表明两个鸡品系中的巨噬细胞均被激活。易感品系的盲肠扁桃体在5 dpi时诱导出强烈的免疫反应。抗性品系的脾脏组织在3 dpi时观察到最高的转录活性。在5 dpi时,接种疫苗的鸡十二指肠中未观察到CD3⁺ T细胞数量增加,这表明适应性免疫系统未参与测试基因的转录谱分析。然而,接种疫苗的鸡十二指肠中的巨噬细胞数量有所增加。在5 dpi时,易感品系的十二指肠和盲肠扁桃体中检测到CVI988/Rispens抗原,而抗性品系中未检测到。本研究揭示了巨噬细胞在疫苗介导的抗MD保护作用中的角色,以及具有增强先天免疫系统激活特性的新型重组疫苗的可能开发情况。

https://cdn.ncbi.nlm.nih.gov/pmc/blobs/8446/5974519/239040dcd637/jvs-19-375-g001.jpg

文献检索

告别复杂PubMed语法,用中文像聊天一样搜索,搜遍4000万医学文献。AI智能推荐,让科研检索更轻松。

立即免费搜索

文件翻译

保留排版,准确专业,支持PDF/Word/PPT等文件格式,支持 12+语言互译。

免费翻译文档

深度研究

AI帮你快速写综述,25分钟生成高质量综述,智能提取关键信息,辅助科研写作。

立即免费体验