• 文献检索
  • 文档翻译
  • 深度研究
  • 学术资讯
  • Suppr Zotero 插件Zotero 插件
  • 邀请有礼
  • 套餐&价格
  • 历史记录
应用&插件
Suppr Zotero 插件Zotero 插件浏览器插件Mac 客户端Windows 客户端微信小程序
定价
高级版会员购买积分包购买API积分包
服务
文献检索文档翻译深度研究API 文档MCP 服务
关于我们
关于 Suppr公司介绍联系我们用户协议隐私条款
关注我们

Suppr 超能文献

核心技术专利:CN118964589B侵权必究
粤ICP备2023148730 号-1Suppr @ 2026

文献检索

告别复杂PubMed语法,用中文像聊天一样搜索,搜遍4000万医学文献。AI智能推荐,让科研检索更轻松。

立即免费搜索

文件翻译

保留排版,准确专业,支持PDF/Word/PPT等文件格式,支持 12+语言互译。

免费翻译文档

深度研究

AI帮你快速写综述,25分钟生成高质量综述,智能提取关键信息,辅助科研写作。

立即免费体验

催乳素通过抑制 NF-κB 通路抑制大鼠椎间盘退变的进展。

Prolactin inhibits the progression of intervertebral disc degeneration through inactivation of the NF-κB pathway in rats.

机构信息

Department of Orthopedics, The First Affiliated Hospital of Soochow University, Suzhou, Jiangsu, China.

Department of Radiology, The First Affiliated Hospital of Soochow University, Suzhou, Jiangsu, China.

出版信息

Cell Death Dis. 2018 Jan 24;9(2):98. doi: 10.1038/s41419-017-0151-z.

DOI:10.1038/s41419-017-0151-z
PMID:29367664
原文链接:https://pmc.ncbi.nlm.nih.gov/articles/PMC5833353/
Abstract

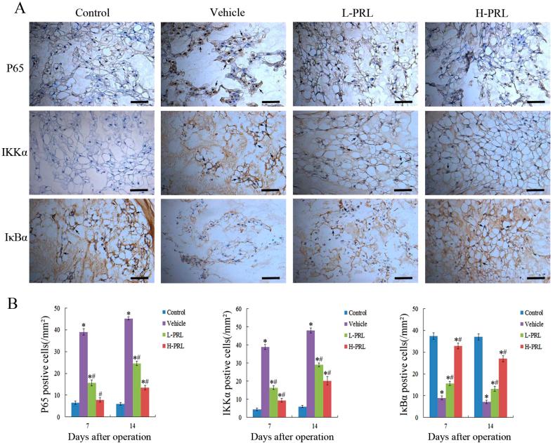
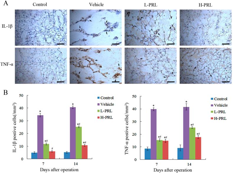
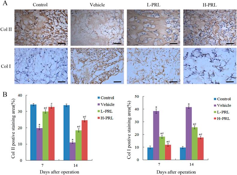
Intervertebral disc degeneration (IVDD) is one of the key predisposing factors for low back pain. Although the exact mechanism remains unclear, inflammatory response and nucleus pulposus (NP) apoptosis are known to play important roles in this process. Prolactin protects against inflammation-associated chondrocyte apoptosis in arthritis. Based on prior studies, we hypothesized that prolactin might have therapeutic effects on IVDD by inhibiting the apoptosis of degenerative human disc NP cells. An experimental model of IVDD was established in 3-month-old Sprague-Dawley rats by submitting them to percutaneous disc puncture with a 20-gauge needle on levels 7-8 and 8-9 of the coccygeal vertebrae. Then the rats were injected with 20 or 200 ng prolactin on a weekly basis. Radiologic and histologic analyses were performed on days 4, 7, 14, and 28. The expression of prolactin and its receptor was analyzed in human tissue obtained from symptomatic patients undergoing microencoscopy discectomy, or from scoliosis patients undergoing deformity correction surgery. The results showed that intradiscal injection of prolactin maintained disc height and the mean signal intensity of the punctured disc. Histological analysis indicated that prolactin treatment significantly retained the complete structure of the NP and annulus fibrosus compared with the vehicle group. In addition, more collagen II, but fewer collagen I-containing tissues were detected in the prolactin treatment groups compared to the vehicle group. Moreover, low levels of tumor necrosis factor-α, interleukin-1β, cleaved-caspase 3, and TUNEL staining were observed in the prolactin treatment groups. We also demonstrated that prolactin impaired puncture-induced inflammation and cell apoptosis by downregulating activation of the NF-κB pathway. The degenerated NP tissues from patients had decreased expression of prolactin and its receptor, whereas expression was increased in the NP tissues removed from scoliosis patients. These results suggest that prolactin may be a novel therapeutic target for the treatment of IVDD.

摘要

椎间盘退变(IVDD)是腰痛的主要诱发因素之一。尽管确切的机制尚不清楚,但已知炎症反应和髓核(NP)细胞凋亡在这一过程中起重要作用。催乳素可防止关节炎中炎症相关软骨细胞凋亡。基于先前的研究,我们假设催乳素可能通过抑制退变人椎间盘 NP 细胞的凋亡对 IVDD 具有治疗作用。通过在尾骨椎骨 7-8 和 8-9 水平用 20 号针进行经皮椎间盘穿刺,在 3 月龄 Sprague-Dawley 大鼠中建立 IVDD 实验模型。然后每周向大鼠注射 20 或 200ng 催乳素。在第 4、7、14 和 28 天进行放射学和组织学分析。分析了来自接受微创椎间盘切除术的症状患者或接受脊柱侧凸畸形矫正手术的患者的人组织中催乳素及其受体的表达。结果表明,催乳素的椎间盘内注射维持了椎间盘的高度和穿刺椎间盘的平均信号强度。组织学分析表明,与载体组相比,催乳素治疗组明显保留了 NP 和纤维环的完整结构。此外,与载体组相比,催乳素治疗组检测到更多的 II 型胶原蛋白,但含 I 型胶原蛋白的组织较少。此外,催乳素治疗组肿瘤坏死因子-α、白细胞介素-1β、裂解 caspase 3 和 TUNEL 染色的水平较低。我们还表明,催乳素通过下调 NF-κB 通路的激活来损害穿刺引起的炎症和细胞凋亡。来自患者的退变 NP 组织中催乳素及其受体的表达减少,而在脊柱侧凸患者中切除的 NP 组织中表达增加。这些结果表明,催乳素可能是治疗 IVDD 的一种新的治疗靶点。

https://cdn.ncbi.nlm.nih.gov/pmc/blobs/8515/5833353/4254b37d9665/41419_2017_151_Fig7_HTML.jpg
https://cdn.ncbi.nlm.nih.gov/pmc/blobs/8515/5833353/d3168463f96d/41419_2017_151_Fig1_HTML.jpg
https://cdn.ncbi.nlm.nih.gov/pmc/blobs/8515/5833353/bc6949b8ea03/41419_2017_151_Fig2_HTML.jpg
https://cdn.ncbi.nlm.nih.gov/pmc/blobs/8515/5833353/04fd0445b23a/41419_2017_151_Fig3_HTML.jpg
https://cdn.ncbi.nlm.nih.gov/pmc/blobs/8515/5833353/8318892e0fbd/41419_2017_151_Fig4_HTML.jpg
https://cdn.ncbi.nlm.nih.gov/pmc/blobs/8515/5833353/aac5949a1081/41419_2017_151_Fig5_HTML.jpg
https://cdn.ncbi.nlm.nih.gov/pmc/blobs/8515/5833353/721f043c5ce7/41419_2017_151_Fig6_HTML.jpg
https://cdn.ncbi.nlm.nih.gov/pmc/blobs/8515/5833353/4254b37d9665/41419_2017_151_Fig7_HTML.jpg
https://cdn.ncbi.nlm.nih.gov/pmc/blobs/8515/5833353/d3168463f96d/41419_2017_151_Fig1_HTML.jpg
https://cdn.ncbi.nlm.nih.gov/pmc/blobs/8515/5833353/bc6949b8ea03/41419_2017_151_Fig2_HTML.jpg
https://cdn.ncbi.nlm.nih.gov/pmc/blobs/8515/5833353/04fd0445b23a/41419_2017_151_Fig3_HTML.jpg
https://cdn.ncbi.nlm.nih.gov/pmc/blobs/8515/5833353/8318892e0fbd/41419_2017_151_Fig4_HTML.jpg
https://cdn.ncbi.nlm.nih.gov/pmc/blobs/8515/5833353/aac5949a1081/41419_2017_151_Fig5_HTML.jpg
https://cdn.ncbi.nlm.nih.gov/pmc/blobs/8515/5833353/721f043c5ce7/41419_2017_151_Fig6_HTML.jpg
https://cdn.ncbi.nlm.nih.gov/pmc/blobs/8515/5833353/4254b37d9665/41419_2017_151_Fig7_HTML.jpg

相似文献

1
Prolactin inhibits the progression of intervertebral disc degeneration through inactivation of the NF-κB pathway in rats.催乳素通过抑制 NF-κB 通路抑制大鼠椎间盘退变的进展。
Cell Death Dis. 2018 Jan 24;9(2):98. doi: 10.1038/s41419-017-0151-z.
2
Ginsenoside Rg1 relieves rat intervertebral disc degeneration and inhibits IL-1β-induced nucleus pulposus cell apoptosis and inflammation via NF-κB signaling pathway.人参皂苷 Rg1 通过 NF-κB 信号通路缓解大鼠椎间盘退变并抑制 IL-1β 诱导的髓核细胞凋亡和炎症。
In Vitro Cell Dev Biol Anim. 2024 Mar;60(3):287-299. doi: 10.1007/s11626-024-00883-6. Epub 2024 Mar 14.
3
Melatonin activates autophagy via the NF-κB signaling pathway to prevent extracellular matrix degeneration in intervertebral disc.褪黑素通过 NF-κB 信号通路激活自噬以防止椎间盘细胞外基质退变。
Osteoarthritis Cartilage. 2020 Aug;28(8):1121-1132. doi: 10.1016/j.joca.2020.05.011. Epub 2020 May 26.
4
17β-Estradiol alleviates intervertebral disc degeneration by inhibiting NF-κB signal pathway.17β-雌二醇通过抑制 NF-κB 信号通路缓解椎间盘退变。
Life Sci. 2021 Nov 1;284:119874. doi: 10.1016/j.lfs.2021.119874. Epub 2021 Aug 11.
5
Ligustilide alleviated IL-1β induced apoptosis and extracellular matrix degradation of nucleus pulposus cells and attenuates intervertebral disc degeneration in vivo.川芎嗪缓解白细胞介素-1β诱导的髓核细胞凋亡和细胞外基质降解,并在体内减轻椎间盘退变。
Int Immunopharmacol. 2019 Apr;69:398-407. doi: 10.1016/j.intimp.2019.01.004. Epub 2019 Feb 18.
6
Naringin Inhibits Apoptosis Induced by Cyclic Stretch in Rat Annular Cells and Partially Attenuates Disc Degeneration by Inhibiting the ROS/NF-B Pathway.柚皮苷通过抑制 ROS/NF-B 通路抑制大鼠环状细胞周期性拉伸诱导的凋亡,部分减轻椎间盘退变。
Oxid Med Cell Longev. 2022 Feb 23;2022:6179444. doi: 10.1155/2022/6179444. eCollection 2022.
7
Procyanidin B3 alleviates intervertebral disc degeneration via interaction with the TLR4/MD-2 complex.原花青素 B3 通过与 TLR4/MD-2 复合物相互作用缓解椎间盘退变。
J Cell Mol Med. 2020 Mar;24(6):3701-3711. doi: 10.1111/jcmm.15074. Epub 2020 Feb 18.
8
Hydrogen sulfide protects against endoplasmic reticulum stress and mitochondrial injury in nucleus pulposus cells and ameliorates intervertebral disc degeneration.硫化氢可保护髓核细胞免受内质网应激和线粒体损伤,并改善椎间盘退变。
Pharmacol Res. 2017 Mar;117:357-369. doi: 10.1016/j.phrs.2017.01.005. Epub 2017 Jan 10.
9
Melatonin modulates IL-1β-induced extracellular matrix remodeling in human nucleus pulposus cells and attenuates rat intervertebral disc degeneration and inflammation.褪黑素调节白细胞介素-1β诱导的人髓核细胞外基质重塑,并减轻大鼠椎间盘退变和炎症。
Aging (Albany NY). 2019 Nov 26;11(22):10499-10512. doi: 10.18632/aging.102472.
10
Mangiferin Alleviates Mitochondrial ROS in Nucleus Pulposus Cells and Protects against Intervertebral Disc Degeneration via Suppression of NF-B Signaling Pathway.芒果苷通过抑制 NF-B 信号通路减轻髓核细胞线粒体 ROS 并防止椎间盘退变。
Oxid Med Cell Longev. 2021 Jun 11;2021:6632786. doi: 10.1155/2021/6632786. eCollection 2021.

引用本文的文献

1
Myristic acid beneficially modulates intervertebral disc degeneration by preventing endplate osteochondral remodeling and vertebral osteoporosis in naturally aged mice.肉豆蔻酸通过防止自然衰老小鼠的终板骨软骨重塑和椎体骨质疏松,对椎间盘退变产生有益调节作用。
Front Pharmacol. 2025 Apr 1;16:1517221. doi: 10.3389/fphar.2025.1517221. eCollection 2025.
2
An enzyme-proof glycan glue for extracellular matrix to ameliorate intervertebral disc degeneration.一种用于细胞外基质的抗酶聚糖胶水,以改善椎间盘退变。
Nat Commun. 2025 Apr 16;16(1):3629. doi: 10.1038/s41467-025-58946-5.
3
Mulberroside A mitigates intervertebral disc degeneration by inhibiting MAPK and modulating Ppar-γ/NF-κB pathways.

本文引用的文献

1
MicroRNA-494 promotes apoptosis and extracellular matrix degradation in degenerative human nucleus pulposus cells.微小RNA-494促进退变人髓核细胞凋亡及细胞外基质降解。
Oncotarget. 2017 Apr 25;8(17):27868-27881. doi: 10.18632/oncotarget.15838.
2
30 Years of NF-κB: A Blossoming of Relevance to Human Pathobiology.30年的核因子κB研究:与人类病理生物学的关联蓬勃发展
Cell. 2017 Jan 12;168(1-2):37-57. doi: 10.1016/j.cell.2016.12.012.
3
Metformin protects against apoptosis and senescence in nucleus pulposus cells and ameliorates disc degeneration in vivo.
桑色素A通过抑制丝裂原活化蛋白激酶(MAPK)和调节过氧化物酶体增殖物激活受体γ(Ppar-γ)/核因子κB(NF-κB)信号通路减轻椎间盘退变。
J Inflamm (Lond). 2024 Aug 28;21(1):32. doi: 10.1186/s12950-024-00398-7.
4
AR regulate inflammation through PKA/NF-κB signaling pathways in intervertebral disc degeneration.AR 通过 PKA/NF-κB 信号通路调节椎间盘退变中的炎症反应。
Eur J Med Res. 2024 Aug 27;29(1):433. doi: 10.1186/s40001-024-02028-7.
5
Brachyury promotes extracellular matrix synthesis through transcriptional regulation of Smad3 in nucleus pulposus.脊索瘤通过核内 Smad3 的转录调控促进细胞外基质合成。
Am J Physiol Cell Physiol. 2024 May 1;326(5):C1384-C1397. doi: 10.1152/ajpcell.00475.2023. Epub 2024 Mar 4.
6
GAS5, a long noncoding RNA, contributes to annulus fibroblast osteogenic differentiation and apoptosis in intervertebral disk degeneration via the miR-221-3p/SOX11 axis.GAS5,一种长链非编码 RNA,通过 miR-221-3p/SOX11 轴促进椎间盘退变中纤维环细胞的成骨分化和凋亡。
Aging (Albany NY). 2024 Feb 23;16(4):3896-3914. doi: 10.18632/aging.205567.
7
The Pivotal Role of Nrf2 Signal Axis in Intervertebral Disc Degeneration.Nrf2信号轴在椎间盘退变中的关键作用
J Inflamm Res. 2023 Dec 5;16:5819-5833. doi: 10.2147/JIR.S432575. eCollection 2023.
8
A randomized, double-blind study on the efficacy of oral domperidone versus placebo for reducing SARS-CoV-2 viral load in mild-to-moderate COVID-19 patients in primary health care.一项关于多潘立酮口服与安慰剂在初级保健中减轻轻症至中度 COVID-19 患者 SARS-CoV-2 病毒载量的疗效的随机、双盲研究。
Ann Med. 2023;55(2):2268535. doi: 10.1080/07853890.2023.2268535. Epub 2023 Oct 17.
9
Pharmacological action of polysaccharides: a review.多糖的药理作用:综述
Front Pharmacol. 2023 Aug 28;14:1119224. doi: 10.3389/fphar.2023.1119224. eCollection 2023.
10
Amygdalin Delays Cartilage Endplate Degeneration and Improves Intervertebral Disc Degeneration by Inhibiting NF-κB Signaling Pathway and Inflammatory Response.苦杏仁苷通过抑制NF-κB信号通路和炎症反应延缓软骨终板退变并改善椎间盘退变。
J Inflamm Res. 2023 Aug 14;16:3455-3468. doi: 10.2147/JIR.S415527. eCollection 2023.
二甲双胍可保护髓核细胞免受凋亡和衰老影响,并在体内改善椎间盘退变。
Cell Death Dis. 2016 Oct 27;7(10):e2441. doi: 10.1038/cddis.2016.334.
4
Anti-inflammatory Chitosan/Poly-γ-glutamic acid nanoparticles control inflammation while remodeling extracellular matrix in degenerated intervertebral disc.抗炎壳聚糖/聚γ-谷氨酸纳米颗粒在退变椎间盘重塑细胞外基质的同时控制炎症。
Acta Biomater. 2016 Sep 15;42:168-179. doi: 10.1016/j.actbio.2016.06.013. Epub 2016 Jun 15.
5
Mechanics and biology in intervertebral disc degeneration: a vicious circle.椎间盘退变的力学与生物学:恶性循环。
Osteoarthritis Cartilage. 2015 Jul;23(7):1057-70. doi: 10.1016/j.joca.2015.03.028. Epub 2015 Mar 27.
6
New insights in prolactin: pathological implications.催乳素的新认识:病理意义。
Nat Rev Endocrinol. 2015 May;11(5):265-75. doi: 10.1038/nrendo.2015.36. Epub 2015 Mar 17.
7
Effects of nuclear factor kappa B signaling pathway in human intervertebral disc degeneration.核因子κB信号通路在人椎间盘退变中的作用
Spine (Phila Pa 1976). 2015 Feb 15;40(4):224-32. doi: 10.1097/BRS.0000000000000733.
8
Current trends in biologics delivery to restore intervertebral disc anabolism.生物制剂递送至椎间盘的代谢修复:当前趋势。
Adv Drug Deliv Rev. 2015 Apr;84:146-58. doi: 10.1016/j.addr.2014.08.008. Epub 2014 Aug 29.
9
Prolactin prevents hepatocellular carcinoma by restricting innate immune activation of c-Myc in mice.催乳素通过限制 c-Myc 在小鼠中固有免疫的激活来预防肝细胞癌。
Proc Natl Acad Sci U S A. 2014 Aug 5;111(31):11455-60. doi: 10.1073/pnas.1404267111. Epub 2014 Jul 21.
10
Role of cytokines in intervertebral disc degeneration: pain and disc content.细胞因子在椎间盘退变中的作用:疼痛和椎间盘内容物。
Nat Rev Rheumatol. 2014 Jan;10(1):44-56. doi: 10.1038/nrrheum.2013.160. Epub 2013 Oct 29.