Chatterjee Arpita, Zhu Yuxiang, Tong Qiang, Kosmacek Elizabeth A, Lichter Eliezer Z, Oberley-Deegan Rebecca E
Department of Biochemistry and Molecular Biology, University of Nebraska Medical Center, Omaha, NE 68198, USA.
Department of Gastrointestinal Surgery, Union Hospital, Tongji Medical College, Huazhong University of Science and Technology, Wuhan 430022, China.
Antioxidants (Basel). 2018 Jan 25;7(1):21. doi: 10.3390/antiox7010021.
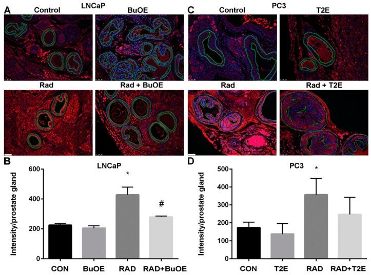
Radiation therapy is commonly used for prostate cancer treatment; however, normal tissues can be damaged from the reactive oxygen species (ROS) produced by radiation. In separate reports, we and others have shown that manganese porphyrins (MnPs), ROS scavengers, protect normal cells from radiation-induced damage but inhibit prostate cancer cell growth. However, there have been no studies demonstrating that MnPs protect normal tissues, while inhibiting tumor growth in the same model. LNCaP or PC3 cells were orthotopically implanted into athymic mice and treated with radiation (2 Gy, for 5 consecutive days) in the presence or absence of MnPs. With radiation, MnPs enhanced overall life expectancy and significantly decreased the average tumor volume, as compared to the radiated alone group. MnPs enhanced lipid oxidation in tumor cells but reduced oxidative damage to normal prostate tissue adjacent to the prostate tumor in combination with radiation. Mechanistically, MnPs behave as pro-oxidants or antioxidants depending on the level of oxidative stress inside the treated cell. We found that MnPs act as pro-oxidants in prostate cancer cells, while in normal cells and tissues the MnPs act as antioxidants. For the first time, in the same in vivo model, this study reveals that MnPs enhance the tumoricidal effect of radiation and reduce oxidative damage to normal prostate tissue adjacent to the prostate tumor in the presence of radiation. This study suggests that MnPs are effective radio-protectors for radiation-mediated prostate cancer treatment.
放射治疗常用于前列腺癌的治疗;然而,辐射产生的活性氧(ROS)会对正常组织造成损伤。在不同的报告中,我们和其他人已经表明,锰卟啉(MnPs)作为ROS清除剂,可以保护正常细胞免受辐射诱导的损伤,但会抑制前列腺癌细胞的生长。然而,尚无研究表明MnPs在同一模型中既能保护正常组织,又能抑制肿瘤生长。将LNCaP或PC3细胞原位植入无胸腺小鼠体内,并在有或无MnPs的情况下接受辐射(2 Gy,连续5天)。与单纯辐射组相比,MnPs与辐射联合使用时可提高总体预期寿命,并显著减小平均肿瘤体积。MnPs增强了肿瘤细胞中的脂质氧化,但减少了与前列腺肿瘤相邻的正常前列腺组织因辐射而产生的氧化损伤。从机制上讲,MnPs根据被处理细胞内氧化应激的水平表现为促氧化剂或抗氧化剂。我们发现MnPs在前列腺癌细胞中作为促氧化剂起作用,而在正常细胞和组织中MnPs作为抗氧化剂起作用。在同一体内模型中,本研究首次揭示,在有辐射的情况下,MnPs可增强辐射的杀肿瘤作用,并减少对与前列腺肿瘤相邻的正常前列腺组织的氧化损伤。这项研究表明,MnPs是辐射介导的前列腺癌治疗的有效放射保护剂。