Suppr超能文献

自然杀伤/T细胞淋巴瘤继发妊娠相关噬血细胞性淋巴组织细胞增生症:一例报告及文献复习

Pregnancy-associated hemophagocytic lymphohistiocytosis secondary to NK/T cells lymphoma: A case report and literature review.

作者信息

He Mengzhou, Jia Jing, Zhang Jingyi, Beejadhursing Rajluxmee, Mwamaka Sharifu Lali, Yu Jun, Wang Shaoshuai, Feng Ling

机构信息

Department of Gynecology and Obstetrics, Tongji Hospital, Tongji Medical College, Huazhong University of Science and Technology, Wuhan, Hubei, P.R. China.

出版信息

Medicine (Baltimore). 2017 Nov;96(47):e8628. doi: 10.1097/MD.0000000000008628.

Abstract

RATIONALE

Hemophagocytic lymphohistiocytosis (HLH) occurs primarily in pediatric population, or secondary to malignancy, infection, or autoimmune disease. This disease is rare and prognosis is generally poor. Only a small number of cases during pregnancy have been reported in literature.

PATIENT CONCERNS

We report a case of pregnancy-associated HLH secondary to natural killer (NK)/T cells lymphoma. She was admitted at 30 weeks and 3 days of pregnancy with complaints of abdominal pain and fever as high as 39.2°C. The patient was found to have splenomegaly, pancytopenia, and acute hepatic failure.

DIAGNOSES

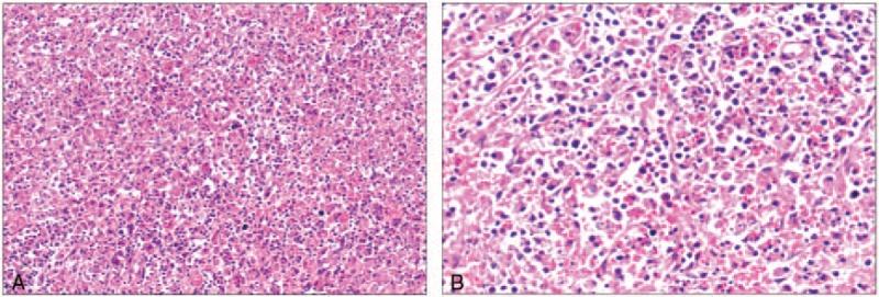
A subsequent bone marrow biopsy revealed focal hemophagocytosis and atypical lymphoid cells. The splenic pulp also contained a large number of tissue cells proliferating and devouring mature red blood cells, lymphocytes, and cell debris. On the basis of these findings, we diagnosed the case as pregnancy-associated hemophagocytic lymphohistiocytosis secondary to NK/T cells lymphoma.

INTERVENTIONS

Treatment consisted with dexamethasone and etoposide in combination with rituximab.

OUTCOMES

Due to timely termination of pregnancy, the neonate was in good condition. However, the patient died on the 18th day postoperation due to multiorgan failure.

LESSONS

We recommend that HLH be considered as differential diagnosis in a pregnant patient complaining of persistent fever, cytopenia, or declining clinical condition despite delivery of the baby. Prompt diagnosis and treatment is essential and fetal outcomes should also be considered. The decision to terminate a pregnancy and initiate chemotherapy during pregnancy with malignancy-associated HLH (M-HLH) needs to be further investigated in a larger cohort.

摘要

理论依据

噬血细胞性淋巴组织细胞增生症(HLH)主要发生于儿童群体,或继发于恶性肿瘤、感染或自身免疫性疾病。这种疾病较为罕见,预后通常较差。文献中仅报道了少数妊娠期间的病例。

患者情况

我们报告一例自然杀伤(NK)/T细胞淋巴瘤继发的妊娠相关HLH病例。患者在妊娠30周零3天时因腹痛和高达39.2°C的发热入院。发现患者有脾肿大、全血细胞减少和急性肝衰竭。

诊断

随后的骨髓活检显示局灶性噬血细胞现象和非典型淋巴细胞。脾髓中也含有大量增殖并吞噬成熟红细胞、淋巴细胞和细胞碎片的组织细胞。基于这些发现,我们将该病例诊断为NK/T细胞淋巴瘤继发的妊娠相关噬血细胞性淋巴组织细胞增生症。

干预措施

治疗采用地塞米松和依托泊苷联合利妥昔单抗。

结果

由于及时终止妊娠,新生儿情况良好。然而,患者术后第18天因多器官衰竭死亡。

经验教训

我们建议,对于主诉持续发热、血细胞减少或尽管分娩后临床状况仍在恶化的妊娠患者,应将HLH列为鉴别诊断之一。及时诊断和治疗至关重要,同时也应考虑胎儿结局。对于与恶性肿瘤相关的HLH(M-HLH)妊娠期间终止妊娠并开始化疗的决定,需要在更大的队列中进一步研究。

https://cdn.ncbi.nlm.nih.gov/pmc/blobs/d08d/5708933/ffeec174a577/medi-96-e8628-g001.jpg

文献AI研究员

20分钟写一篇综述,助力文献阅读效率提升50倍。

立即体验

用中文搜PubMed

大模型驱动的PubMed中文搜索引擎

马上搜索

文档翻译

学术文献翻译模型,支持多种主流文档格式。

立即体验