Patterson Andrew R, Endale Mehari, Lampe Kristin, Aksoylar Halil I, Flagg Aron, Woodgett Jim R, Hildeman David, Jordan Michael B, Singh Harinder, Kucuk Zeynep, Bleesing Jack, Hoebe Kasper
Division of Immunobiology, Cincinnati Children's Hospital Research Foundation, 3333 Burnet Avenue, Cincinnati, OH, 45229, USA.
Immunology Graduate Program, Cincinnati Children's Hospital Medical Center and the University of Cincinnati College of Medicine, 231 Albert Sabin Way # E251n, Cincinnati, OH, 45267, USA.
Nat Commun. 2018 Jan 30;9(1):430. doi: 10.1038/s41467-018-02897-7.
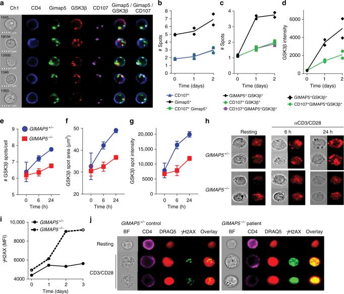
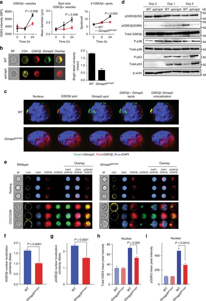
GTPase of immunity-associated protein 5 (Gimap5) is linked with lymphocyte survival, autoimmunity, and colitis, but its mechanisms of action are unclear. Here, we show that Gimap5 is essential for the inactivation of glycogen synthase kinase-3β (GSK3β) following T cell activation. In the absence of Gimap5, constitutive GSK3β activity constrains c-Myc induction and NFATc1 nuclear import, thereby limiting productive CD4 T cell proliferation. Additionally, Gimap5 facilitates Ser389 phosphorylation and nuclear translocation of GSK3β, thereby limiting DNA damage in CD4 T cells. Importantly, pharmacological inhibition and genetic targeting of GSK3β can override Gimap5 deficiency in CD4 T cells and ameliorates immunopathology in mice. Finally, we show that a human patient with a GIMAP5 loss-of-function mutation has lymphopenia and impaired T cell proliferation in vitro that can be rescued with GSK3 inhibitors. Given that the expression of Gimap5 is lymphocyte-restricted, we propose that its control of GSK3β is an important checkpoint in lymphocyte proliferation.
免疫相关蛋白5(Gimap5)的GTP酶与淋巴细胞存活、自身免疫和结肠炎相关,但其作用机制尚不清楚。在此,我们表明Gimap5对于T细胞活化后糖原合酶激酶-3β(GSK3β)的失活至关重要。在缺乏Gimap5的情况下,组成性GSK3β活性会抑制c-Myc诱导和NFATc1核转运,从而限制有效的CD4 T细胞增殖。此外,Gimap5促进GSK3β的Ser389磷酸化和核转位,从而限制CD4 T细胞中的DNA损伤。重要的是,GSK3β的药理抑制和基因靶向可以克服CD4 T细胞中的Gimap5缺陷,并改善小鼠的免疫病理学。最后,我们表明一名具有GIMAP5功能丧失突变的人类患者存在淋巴细胞减少和体外T细胞增殖受损的情况,而GSK3抑制剂可以挽救这种情况。鉴于Gimap5的表达受淋巴细胞限制,我们提出其对GSK3β的调控是淋巴细胞增殖中的一个重要检查点。