Terziroli Beretta-Piccoli Benedetta, Mieli-Vergani Giorgina, Bertoli Raffaela, Mazzucchelli Luca, Nofziger Charity, Paulmichl Markus, Vergani Diego
Epatocentro Ticino Lugano Switzerland.
Paediatric Liver, GI and Nutrition Centre King's College Hospital London United Kingdom.
Hepatol Commun. 2017 May 8;1(4):293-298. doi: 10.1002/hep4.1039. eCollection 2017 Jun.
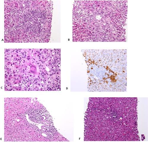
We report a novel association between the commonly used antimalarial medication atovaquone/proguanil and drug-induced autoimmune-like hepatitis. The patient developed severe liver disease fulfilling biochemical, immunologic, and histologic criteria for the diagnosis of autoimmune hepatitis after the inadvertent rechallenge with the offending drug, which had caused self-limited hepatitic symptoms a year previously. Over a period of 18 months, the patient underwent two follow-up liver biopsies showing progressive resolution of the liver inflammation and achieved complete biochemical and immunologic remission on steroids. This remission persisted for 20 months following treatment withdrawal. : This well documented case raises awareness of the potential hepatotoxicity of atovaquone/proguanil. ( 2017;1:293-298).
我们报告了常用抗疟药物阿托伐醌/氯胍与药物性自身免疫样肝炎之间的一种新关联。该患者在无意中再次使用曾在一年前引起自限性肝炎症状的致病药物后,出现了符合自身免疫性肝炎诊断的生化、免疫和组织学标准的严重肝病。在18个月的时间里,该患者接受了两次随访肝脏活检,显示肝脏炎症逐渐消退,并在使用类固醇治疗后实现了完全的生化和免疫缓解。停药后,这种缓解持续了20个月。:这个记录充分的病例提高了人们对阿托伐醌/氯胍潜在肝毒性的认识。(2017;1:293 - 298)