• 文献检索
  • 文档翻译
  • 深度研究
  • 学术资讯
  • Suppr Zotero 插件Zotero 插件
  • 邀请有礼
  • 套餐&价格
  • 历史记录
应用&插件
Suppr Zotero 插件Zotero 插件浏览器插件Mac 客户端Windows 客户端微信小程序
定价
高级版会员购买积分包购买API积分包
服务
文献检索文档翻译深度研究API 文档MCP 服务
关于我们
关于 Suppr公司介绍联系我们用户协议隐私条款
关注我们

Suppr 超能文献

核心技术专利:CN118964589B侵权必究
粤ICP备2023148730 号-1Suppr @ 2026

文献检索

告别复杂PubMed语法,用中文像聊天一样搜索,搜遍4000万医学文献。AI智能推荐,让科研检索更轻松。

立即免费搜索

文件翻译

保留排版,准确专业,支持PDF/Word/PPT等文件格式,支持 12+语言互译。

免费翻译文档

深度研究

AI帮你快速写综述,25分钟生成高质量综述,智能提取关键信息,辅助科研写作。

立即免费体验

有或无维生素E的耐力训练对雄性大鼠前列腺中p53和PTEN肿瘤抑制基因表达的影响。

The effect of endurance training with and without vitamin E on expression of p53 and PTEN tumor suppressing genes in prostate glands of male rats.

作者信息

Dashtiyan Amin Allah, Sepehrimanesh Masood, Tanideh Nader, Afzalpour Mohammad Esmaeil

机构信息

Department of Physical Education & Sport Sciences, University of Birjand, Avini Blvd, Birjand, South Khorasan Province, Iran.

Gastroenterohepatology Research Center, Shiraz University of Medical Sciences, Khalili St, Shiraz, Fars Province, Iran.

出版信息

Biochim Open. 2017 Apr 1;4:112-118. doi: 10.1016/j.biopen.2017.03.005. eCollection 2017 Jun.

DOI:10.1016/j.biopen.2017.03.005
PMID:29450148
原文链接:https://pmc.ncbi.nlm.nih.gov/articles/PMC5801830/
Abstract

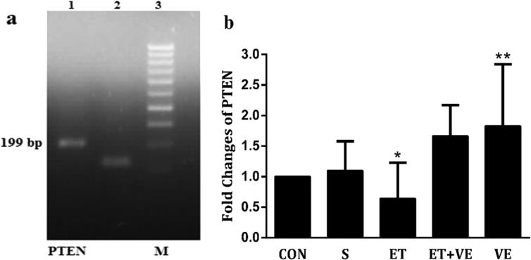
The aim of this study was to investigate the effect of endurance training with and without vitamin E on the expression of p53 and Phosphatase and tension homolog (PTEN) tumor suppressor genes of prostate glands in male rats. For this purpose, 50 Sprague-Dawley male rats were randomly assigned into 5 groups: (1) control group (CON, n = 10), (2) sham (S, n = 10), (3) endurance training (ET, n = 10), (4) endurance training + vitamin E (ET + VE, n = 10), (5) vitamin E (VE, n = 10). Endurance training protocol was implemented for 6 weeks, 6 days per week, in accordance with the overload principle. To measure expression changes of p53 and PTEN genes in rats' prostate, real-time PCR method was used and HPLC method was used to measure vitamin E in this tissue. After 6 weeks of taking vitamin E, its level in all groups, except for group VE (p < 0.000) did not significantly increase. After implementing training protocol, p53 expression reduced significantly in ET group (p < 0.026). Vitamin E supplementation along with endurance training did not cause any significant change either p53 or PTEN (respectively; p < 0.2, p < 0.11). Instead, vitamin E supplementation without endurance training caused significant increase in PTEN, but did not cause any significant changes in p53 (respectively; p < 0.016, p < 0.15). These results indicate that endurance training reduces p53 and PTEN tumor suppressing genes expression, and taking vitamin E supplement could increase expression of these genes in some extent.

摘要

本研究旨在探讨有或无维生素E的耐力训练对雄性大鼠前列腺中p53和磷酸酶及张力蛋白同源物(PTEN)肿瘤抑制基因表达的影响。为此,将50只Sprague-Dawley雄性大鼠随机分为5组:(1)对照组(CON,n = 10),(2)假手术组(S,n = 10),(3)耐力训练组(ET,n = 10),(4)耐力训练+维生素E组(ET + VE,n = 10),(5)维生素E组(VE,n = 10)。根据超负荷原则,耐力训练方案实施6周,每周6天。采用实时PCR法检测大鼠前列腺中p53和PTEN基因的表达变化,采用高效液相色谱法检测该组织中的维生素E。服用维生素E 6周后,除VE组外(p < 0.000),其他各组维生素E水平均未显著升高。实施训练方案后,ET组p53表达显著降低(p < 0.026)。耐力训练同时补充维生素E对p53或PTEN均未引起任何显著变化(分别为p < 0.2,p < 0.11)。相反,不进行耐力训练而补充维生素E可使PTEN显著增加,但对p53未引起任何显著变化(分别为p < 0.016,p < 0.15)。这些结果表明,耐力训练可降低p53和PTEN肿瘤抑制基因的表达,补充维生素E在一定程度上可增加这些基因的表达。

https://cdn.ncbi.nlm.nih.gov/pmc/blobs/4702/5801830/b3dbd67dc57f/gr4.jpg
https://cdn.ncbi.nlm.nih.gov/pmc/blobs/4702/5801830/801e72a07210/gr1.jpg
https://cdn.ncbi.nlm.nih.gov/pmc/blobs/4702/5801830/9bb16f2992fe/gr2.jpg
https://cdn.ncbi.nlm.nih.gov/pmc/blobs/4702/5801830/068f0da29468/gr3.jpg
https://cdn.ncbi.nlm.nih.gov/pmc/blobs/4702/5801830/b3dbd67dc57f/gr4.jpg
https://cdn.ncbi.nlm.nih.gov/pmc/blobs/4702/5801830/801e72a07210/gr1.jpg
https://cdn.ncbi.nlm.nih.gov/pmc/blobs/4702/5801830/9bb16f2992fe/gr2.jpg
https://cdn.ncbi.nlm.nih.gov/pmc/blobs/4702/5801830/068f0da29468/gr3.jpg
https://cdn.ncbi.nlm.nih.gov/pmc/blobs/4702/5801830/b3dbd67dc57f/gr4.jpg

相似文献

1
The effect of endurance training with and without vitamin E on expression of p53 and PTEN tumor suppressing genes in prostate glands of male rats.有或无维生素E的耐力训练对雄性大鼠前列腺中p53和PTEN肿瘤抑制基因表达的影响。
Biochim Open. 2017 Apr 1;4:112-118. doi: 10.1016/j.biopen.2017.03.005. eCollection 2017 Jun.
2
The effect of resistance and endurance training with ursolic acid on atrophy-related biomarkers in muscle tissue of diabetic male rats induced by streptozotocin and a high-fat diet.熊果酸联合抗阻和耐力训练对链脲佐菌素联合高脂饮食诱导的糖尿病雄性大鼠肌肉组织萎缩相关生物标志物的影响。
J Food Biochem. 2022 Aug;46(8):e14202. doi: 10.1111/jfbc.14202. Epub 2022 May 20.
3
Vitamin C and E supplementation prevents some of the cellular adaptations to endurance-training in humans.补充维生素C和E可预防人体在耐力训练中的一些细胞适应性变化。
Free Radic Biol Med. 2015 Dec;89:852-62. doi: 10.1016/j.freeradbiomed.2015.10.412. Epub 2015 Oct 19.
4
The effect of endurance exercise and rosehip extract supplementation on the expression of P53 and cytochrome C genes in male rat heart.耐力运动和玫瑰果提取物补充剂对雄性大鼠心脏中P53和细胞色素C基因表达的影响。
J Cardiovasc Thorac Res. 2022;14(4):246-252. doi: 10.34172/jcvtr.2022.31599. Epub 2022 Dec 31.
5
Inhibition of Oxidative Stress by Antioxidant Supplementation Does Not Limit Muscle Mitochondrial Biogenesis or Endurance Capacity in Rats.补充抗氧化剂对氧化应激的抑制作用并不限制大鼠肌肉线粒体的生物合成或耐力。
J Nutr Sci Vitaminol (Tokyo). 2017;63(5):277-283. doi: 10.3177/jnsv.63.277.
6
A Prospective Study to Evaluate the Possible Role of Cholecalciferol Supplementation on Autoimmunity in Hashimoto's Thyroiditis.一项评估胆钙化醇补充对桥本甲状腺炎自身免疫可能作用的前瞻性研究。
J Assoc Physicians India. 2023 Jan;71(1):1.
7
Combined effects of vitamin D supplementation and endurance exercise training on insulin resistance in newly diagnosed type 2 diabetes mellitus patients with vitamin D deficiency: study protocol for a randomized controlled trial.维生素 D 补充和耐力运动训练对维生素 D 缺乏的新诊断 2 型糖尿病患者胰岛素抵抗的联合影响:一项随机对照试验的研究方案。
Trials. 2021 Dec 6;22(1):888. doi: 10.1186/s13063-021-05861-x.
8
Vitamin C and E supplementation hampers cellular adaptation to endurance training in humans: a double-blind, randomised, controlled trial.补充维生素C和E会妨碍人体细胞对耐力训练的适应:一项双盲、随机、对照试验。
J Physiol. 2014 Apr 15;592(8):1887-901. doi: 10.1113/jphysiol.2013.267419. Epub 2014 Feb 3.
9
The Effects of Six Weeks of Endurance Training and CGRP Inhibition on Nrf2 and AKT Expression in the Hippocampal Tissue of Male Wistar Rats.六周耐力训练和 CGRP 抑制对雄性 Wistar 大鼠海马组织 Nrf2 和 AKT 表达的影响。
Mediators Inflamm. 2022 Aug 31;2022:1610293. doi: 10.1155/2022/1610293. eCollection 2022.
10
Gambogic Acid Induces Cell Apoptosis and Inhibits MAPK Pathway in PTEN/p53 Prostate Cancer Cells In Vitro and Ex Vivo.藤黄酸在体外和体内诱导PTEN/p53前列腺癌细胞凋亡并抑制MAPK通路
Chin J Integr Med. 2018 Feb;24(2):109-116. doi: 10.1007/s11655-017-2410-3. Epub 2017 Jun 3.

引用本文的文献

1
Vitamin E ameliorates oral mucositis in gamma-irradiated rats (an in vivo study).维生素 E 可改善伽马射线照射大鼠的口腔黏膜炎(一项体内研究)。
BMC Oral Health. 2023 Sep 27;23(1):697. doi: 10.1186/s12903-023-03408-x.
2
Integrating somatic CNV and gene expression in breast cancers from women with PTEN hamartoma tumor syndrome.整合患有PTEN错构瘤肿瘤综合征女性乳腺癌中的体细胞拷贝数变异和基因表达。
NPJ Genom Med. 2023 Jul 5;8(1):14. doi: 10.1038/s41525-023-00361-0.
3
The effect of endurance exercise and rosehip extract supplementation on the expression of P53 and cytochrome C genes in male rat heart.

本文引用的文献

1
Peroxisome Proliferator-Activated Receptor γ and Retinoic Acid Receptor Synergistically Up-Regulate the Tumor Suppressor PTEN in Human Promyeloid Leukemia Cells.过氧化物酶体增殖物激活受体γ与视黄酸受体协同上调人早幼粒细胞白血病细胞中的肿瘤抑制因子PTEN
Int J Hematol. 2007 Apr;85(3):231-237. doi: 10.1532/IJH97.A30615. Epub 2018 Jan 16.
2
Maf1, A New PTEN Target Linking RNA and Lipid Metabolism.Maf1,一种连接RNA与脂质代谢的新型PTEN靶点。
Trends Endocrinol Metab. 2016 Oct;27(10):742-750. doi: 10.1016/j.tem.2016.04.016. Epub 2016 Jun 10.
3
Exercise training increases anabolic and attenuates catabolic and apoptotic processes in aged skeletal muscle of male rats.
耐力运动和玫瑰果提取物补充剂对雄性大鼠心脏中P53和细胞色素C基因表达的影响。
J Cardiovasc Thorac Res. 2022;14(4):246-252. doi: 10.34172/jcvtr.2022.31599. Epub 2022 Dec 31.
4
p53 Rather Than β-Catenin Mediated the Combined Hypoglycemic Effect of () and Roscoe in the Streptozotocin-Induced Diabetic Model.p53而非β-连环蛋白介导了()与罗斯科在链脲佐菌素诱导的糖尿病模型中的联合降糖作用。 (注:原文括号处内容缺失)
Front Pharmacol. 2021 May 13;12:664248. doi: 10.3389/fphar.2021.664248. eCollection 2021.
运动训练可增强雄性大鼠衰老骨骼肌中的合成代谢,减弱分解代谢和凋亡过程。
Exp Gerontol. 2015 Jul;67:9-14. doi: 10.1016/j.exger.2015.04.008. Epub 2015 Apr 21.
4
Resistance exercise with low glycogen increases p53 phosphorylation and PGC-1α mRNA in skeletal muscle.糖原含量低时进行抗阻运动可增加骨骼肌中p53磷酸化水平和PGC-1α信使核糖核酸。
Eur J Appl Physiol. 2015 Jun;115(6):1185-94. doi: 10.1007/s00421-015-3116-x. Epub 2015 Feb 4.
5
Physical activity and survival among men diagnosed with prostate cancer.被诊断患有前列腺癌的男性的身体活动与生存率
Cancer Epidemiol Biomarkers Prev. 2015 Jan;24(1):57-64. doi: 10.1158/1055-9965.EPI-14-0707. Epub 2014 Dec 19.
6
Exercise Increases Markers of Spermatogenesis in Rats Selectively Bred for Low Running Capacity.运动可增加为低跑步能力而选择性培育的大鼠的精子发生标志物。
PLoS One. 2014 Dec 10;9(12):e114075. doi: 10.1371/journal.pone.0114075. eCollection 2014.
7
PTEN.PTEN.
Annu Rev Biochem. 2014;83:641-69. doi: 10.1146/annurev-biochem-082411-113907.
8
The tumor suppressor PTEN interacts with p53 in hereditary cancer (Review).肿瘤抑制因子PTEN在遗传性癌症中与p53相互作用(综述)。
Int J Oncol. 2014 Jun;44(6):1813-9. doi: 10.3892/ijo.2014.2377. Epub 2014 Apr 10.
9
Mediterranean diet and prostate cancer risk and mortality in the Health Professionals Follow-up Study.健康专业人员随访研究中的地中海饮食与前列腺癌风险及死亡率
Eur Urol. 2014 May;65(5):887-94. doi: 10.1016/j.eururo.2013.08.009. Epub 2013 Aug 13.
10
Metabolic regulation by p53 family members.p53 家族成员的代谢调控。
Cell Metab. 2013 Nov 5;18(5):617-33. doi: 10.1016/j.cmet.2013.06.019. Epub 2013 Aug 15.