• 文献检索
  • 文档翻译
  • 深度研究
  • 学术资讯
  • Suppr Zotero 插件Zotero 插件
  • 邀请有礼
  • 套餐&价格
  • 历史记录
应用&插件
Suppr Zotero 插件Zotero 插件浏览器插件Mac 客户端Windows 客户端微信小程序
定价
高级版会员购买积分包购买API积分包
服务
文献检索文档翻译深度研究API 文档MCP 服务
关于我们
关于 Suppr公司介绍联系我们用户协议隐私条款
关注我们

Suppr 超能文献

核心技术专利:CN118964589B侵权必究
粤ICP备2023148730 号-1Suppr @ 2026

文献检索

告别复杂PubMed语法,用中文像聊天一样搜索,搜遍4000万医学文献。AI智能推荐,让科研检索更轻松。

立即免费搜索

文件翻译

保留排版,准确专业,支持PDF/Word/PPT等文件格式,支持 12+语言互译。

免费翻译文档

深度研究

AI帮你快速写综述,25分钟生成高质量综述,智能提取关键信息,辅助科研写作。

立即免费体验

人乳头瘤病毒 16 型和 18 型早期表达蛋白差异调节细胞氧化还原状态和 DNA 损伤。

Human Papillomavirus Types 16 and 18 Early-expressed Proteins Differentially Modulate the Cellular Redox State and DNA Damage.

机构信息

Programa de Maestría y Doctorado en Ciencias Bioquímicas, Facultad de Química, Universidad Nacional Autónoma de México, Ciudad Universitaria, 04510 Ciudad de México, México.

Unidad de Investigación Biomédica en Cáncer, Instituto Nacional de Cancerología, México/Instituto de Investigaciones Biomédicas, Universidad Nacional Autónoma de México. San Fernando No. 22, Col. Sección XVI, Tlalpan, 14080 Ciudad de México, México.

出版信息

Int J Biol Sci. 2018 Jan 1;14(1):21-35. doi: 10.7150/ijbs.21547. eCollection 2018.

DOI:10.7150/ijbs.21547
PMID:29483822
原文链接:https://pmc.ncbi.nlm.nih.gov/articles/PMC5821046/
Abstract

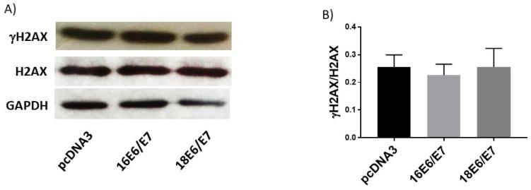
Oxidative stress has been proposed as a risk factor for cervical cancer development. However, few studies have evaluated the redox state associated with human papillomavirus (HPV) infection. The aim of this work was to determine the role of the early expressed viral proteins E1, E2, E6 and E7 from HPV types 16 and 18 in the modulation of the redox state in an integral form. Therefore, generation of reactive oxygen species (ROS), concentration of reduced glutathione (GSH), levels and activity of the antioxidant enzymes catalase and superoxide dismutase (SOD) and deoxyribonucleic acid (DNA) damage, were analysed in epithelial cells ectopically expressing the viral proteins. Our research shows that E6 oncoproteins decreased GSH and catalase protein levels, as well as its enzymatic activity, which was associated with an increase in ROS production and DNA damage. In contrast, E7 oncoproteins increased GSH, as well as catalase protein levels and its activity, which correlated with a decrease in ROS without affecting DNA integrity. The co-expression of both E6 and E7 oncoproteins neutralized the effects that were independently observed for each of the viral proteins. Additionally, the combined expression of E1 and E2 proteins increased ROS levels with the subsequent increase in the marker for DNA damage phospho-histone 2AX (γH2AX). A decrease in GSH, as well as SOD2 levels and activity were also detected in the presence of E1 and E2, even though catalase activity increased. This study demonstrates that HPV early expressed proteins differentially modulate cellular redox state and DNA damage.

摘要

氧化应激被认为是宫颈癌发展的一个风险因素。然而,很少有研究评估与人类乳头瘤病毒(HPV)感染相关的氧化还原状态。本研究旨在确定 HPV 16 型和 18 型的早期表达病毒蛋白 E1、E2、E6 和 E7 以完整形式调节氧化还原状态的作用。因此,分析了异位表达病毒蛋白的上皮细胞中活性氧(ROS)的产生、还原型谷胱甘肽(GSH)的浓度、抗氧化酶过氧化氢酶和超氧化物歧化酶(SOD)的水平和活性以及脱氧核糖核酸(DNA)损伤。我们的研究表明,E6 癌蛋白降低了 GSH 和过氧化氢酶蛋白水平及其酶活性,这与 ROS 产生和 DNA 损伤增加有关。相比之下,E7 癌蛋白增加了 GSH 以及过氧化氢酶蛋白水平及其活性,这与 ROS 减少有关,而不影响 DNA 完整性。E6 和 E7 癌蛋白的共表达中和了每个病毒蛋白独立观察到的作用。此外,E1 和 E2 蛋白的联合表达增加了 ROS 水平,随后增加了 DNA 损伤的标志物磷酸组蛋白 H2AX(γH2AX)。还检测到 E1 和 E2 存在时 GSH 以及 SOD2 水平和活性降低,尽管过氧化氢酶活性增加。本研究表明,HPV 早期表达的蛋白可差异调节细胞氧化还原状态和 DNA 损伤。

https://cdn.ncbi.nlm.nih.gov/pmc/blobs/c9f9/5821046/138f7d2dc358/ijbsv14p0021g013.jpg
https://cdn.ncbi.nlm.nih.gov/pmc/blobs/c9f9/5821046/943246b3fac1/ijbsv14p0021g001.jpg
https://cdn.ncbi.nlm.nih.gov/pmc/blobs/c9f9/5821046/5a9ef059ab87/ijbsv14p0021g002.jpg
https://cdn.ncbi.nlm.nih.gov/pmc/blobs/c9f9/5821046/b65a7ea6d058/ijbsv14p0021g003.jpg
https://cdn.ncbi.nlm.nih.gov/pmc/blobs/c9f9/5821046/8473e9a10f81/ijbsv14p0021g004.jpg
https://cdn.ncbi.nlm.nih.gov/pmc/blobs/c9f9/5821046/daf45cb54488/ijbsv14p0021g005.jpg
https://cdn.ncbi.nlm.nih.gov/pmc/blobs/c9f9/5821046/55cdfd24facb/ijbsv14p0021g006.jpg
https://cdn.ncbi.nlm.nih.gov/pmc/blobs/c9f9/5821046/065aaffbc6ef/ijbsv14p0021g007.jpg
https://cdn.ncbi.nlm.nih.gov/pmc/blobs/c9f9/5821046/93feb92ea8d1/ijbsv14p0021g008.jpg
https://cdn.ncbi.nlm.nih.gov/pmc/blobs/c9f9/5821046/b5870f5850fc/ijbsv14p0021g009.jpg
https://cdn.ncbi.nlm.nih.gov/pmc/blobs/c9f9/5821046/59c470d75ef5/ijbsv14p0021g010.jpg
https://cdn.ncbi.nlm.nih.gov/pmc/blobs/c9f9/5821046/6306eb53110e/ijbsv14p0021g011.jpg
https://cdn.ncbi.nlm.nih.gov/pmc/blobs/c9f9/5821046/a24f27f82eea/ijbsv14p0021g012.jpg
https://cdn.ncbi.nlm.nih.gov/pmc/blobs/c9f9/5821046/138f7d2dc358/ijbsv14p0021g013.jpg
https://cdn.ncbi.nlm.nih.gov/pmc/blobs/c9f9/5821046/943246b3fac1/ijbsv14p0021g001.jpg
https://cdn.ncbi.nlm.nih.gov/pmc/blobs/c9f9/5821046/5a9ef059ab87/ijbsv14p0021g002.jpg
https://cdn.ncbi.nlm.nih.gov/pmc/blobs/c9f9/5821046/b65a7ea6d058/ijbsv14p0021g003.jpg
https://cdn.ncbi.nlm.nih.gov/pmc/blobs/c9f9/5821046/8473e9a10f81/ijbsv14p0021g004.jpg
https://cdn.ncbi.nlm.nih.gov/pmc/blobs/c9f9/5821046/daf45cb54488/ijbsv14p0021g005.jpg
https://cdn.ncbi.nlm.nih.gov/pmc/blobs/c9f9/5821046/55cdfd24facb/ijbsv14p0021g006.jpg
https://cdn.ncbi.nlm.nih.gov/pmc/blobs/c9f9/5821046/065aaffbc6ef/ijbsv14p0021g007.jpg
https://cdn.ncbi.nlm.nih.gov/pmc/blobs/c9f9/5821046/93feb92ea8d1/ijbsv14p0021g008.jpg
https://cdn.ncbi.nlm.nih.gov/pmc/blobs/c9f9/5821046/b5870f5850fc/ijbsv14p0021g009.jpg
https://cdn.ncbi.nlm.nih.gov/pmc/blobs/c9f9/5821046/59c470d75ef5/ijbsv14p0021g010.jpg
https://cdn.ncbi.nlm.nih.gov/pmc/blobs/c9f9/5821046/6306eb53110e/ijbsv14p0021g011.jpg
https://cdn.ncbi.nlm.nih.gov/pmc/blobs/c9f9/5821046/a24f27f82eea/ijbsv14p0021g012.jpg
https://cdn.ncbi.nlm.nih.gov/pmc/blobs/c9f9/5821046/138f7d2dc358/ijbsv14p0021g013.jpg

相似文献

1
Human Papillomavirus Types 16 and 18 Early-expressed Proteins Differentially Modulate the Cellular Redox State and DNA Damage.人乳头瘤病毒 16 型和 18 型早期表达蛋白差异调节细胞氧化还原状态和 DNA 损伤。
Int J Biol Sci. 2018 Jan 1;14(1):21-35. doi: 10.7150/ijbs.21547. eCollection 2018.
2
Human papillomavirus type 18 E5 oncoprotein cooperates with E6 and E7 in promoting cell viability and invasion and in modulating the cellular redox state.人乳头瘤病毒 18 型 E5 癌蛋白与 E6 和 E7 协同促进细胞活力和侵袭,并调节细胞氧化还原状态。
Mem Inst Oswaldo Cruz. 2020 Mar 16;115:e190405. doi: 10.1590/0074-02760190405. eCollection 2020.
3
Human papillomavirus type 16 E6* induces oxidative stress and DNA damage.人乳头瘤病毒 16 型 E6*诱导氧化应激和 DNA 损伤。
J Virol. 2014 Jun;88(12):6751-61. doi: 10.1128/JVI.03355-13. Epub 2014 Apr 2.
4
Interaction between Cigarette Smoke and Human Papillomavirus 16 E6/E7 Oncoproteins to Induce SOD2 Expression and DNA Damage in Head and Neck Cancer.香烟烟雾与人类乳头瘤病毒 16 E6/E7 癌蛋白相互作用诱导头颈部癌症中 SOD2 表达和 DNA 损伤。
Int J Mol Sci. 2023 Apr 7;24(8):6907. doi: 10.3390/ijms24086907.
5
Contributions of viral oncogenes of HPV-18 and hypoxia to oxidative stress and genetic damage in human keratinocytes.HPV-18 病毒癌基因和低氧对人角质形成细胞氧化应激和遗传损伤的作用。
Sci Rep. 2023 Oct 18;13(1):17734. doi: 10.1038/s41598-023-44880-3.
6
Tobacco smoke activates human papillomavirus 16 p97 promoter and cooperates with high-risk E6/E7 for oxidative DNA damage in lung cells.烟草烟雾激活人乳头瘤病毒16型p97启动子,并与高危E6/E7协同作用,导致肺细胞中的DNA发生氧化损伤。
PLoS One. 2015 Apr 1;10(4):e0123029. doi: 10.1371/journal.pone.0123029. eCollection 2015.
7
HPV16 oncogenes E6 or/and E7 may influence the methylation status of RASSFIA gene promoter region in cervical cancer cell line HT-3.人乳头瘤病毒16型癌基因E6或/和E7可能影响宫颈癌细胞系HT-3中RASSFIA基因启动子区域的甲基化状态。
Oncol Rep. 2017 Apr;37(4):2324-2334. doi: 10.3892/or.2017.5465. Epub 2017 Feb 17.
8
High risk HPV E6 oncoproteins impair the subcellular distribution of the four and a half LIM-only protein 2 (FHL2).高危型人乳头瘤病毒E6癌蛋白会损害仅含四个半LIM结构域蛋白2(FHL2)的亚细胞分布。
Virology. 2015 Feb;476:100-105. doi: 10.1016/j.virol.2014.11.025. Epub 2014 Dec 23.
9
Human Papillomavirus 16 (HPV-16), HPV-18, and HPV-31 E6 Override the Normal Phosphoregulation of E6AP Enzymatic Activity.人乳头瘤病毒16型(HPV - 16)、HPV - 18和HPV - 31的E6蛋白可突破E6相关蛋白(E6AP)酶活性的正常磷酸化调控。
J Virol. 2017 Oct 27;91(22). doi: 10.1128/JVI.01390-17. Print 2017 Nov 15.
10
O-linked-N-acetylglucosamine transferase is associated with metastatic spread of human papillomavirus E6 and E7 oncoproteins to the lungs of mice.O-连接的N-乙酰葡糖胺转移酶与人乳头瘤病毒E6和E7癌蛋白向小鼠肺部的转移扩散相关。
Biochem Biophys Res Commun. 2017 Feb 5;483(2):793-802. doi: 10.1016/j.bbrc.2016.10.156. Epub 2016 Nov 12.

引用本文的文献

1
Research progress on programmed cell death of cardiomyocytes in pressure-overload hypertrophic cardiomyopathy.压力超负荷肥厚型心肌病中心肌细胞程序性细胞死亡的研究进展
Apoptosis. 2025 Aug 14. doi: 10.1007/s10495-025-02146-5.
2
Molecular Insights into HPV-Driven Cervical Cancer: Oncoproteins, Immune Evasion, and Epigenetic Modifications.人乳头瘤病毒驱动的宫颈癌的分子见解:癌蛋白、免疫逃逸和表观遗传修饰
Microorganisms. 2025 Apr 27;13(5):1000. doi: 10.3390/microorganisms13051000.
3
Oxidative Stress, Inflammation, and Antioxidant Strategies in Cervical Cancer-A Narrative Review.

本文引用的文献

1
Human papillomavirus E6 and E7 oncoproteins affect the expression of cancer-related microRNAs: additional evidence in HPV-induced tumorigenesis.人乳头瘤病毒E6和E7癌蛋白影响癌症相关微小RNA的表达:人乳头瘤病毒诱导肿瘤发生的更多证据。
J Cancer Res Clin Oncol. 2016 Aug;142(8):1751-63. doi: 10.1007/s00432-016-2189-1. Epub 2016 Jun 14.
2
HPV16 E6 and E7 proteins induce a chronic oxidative stress response via NOX2 that causes genomic instability and increased susceptibility to DNA damage in head and neck cancer cells.人乳头瘤病毒16型E6和E7蛋白通过NOX2诱导慢性氧化应激反应,导致头颈癌细胞基因组不稳定并增加对DNA损伤的易感性。
Carcinogenesis. 2015 Nov;36(11):1397-406. doi: 10.1093/carcin/bgv126. Epub 2015 Sep 8.
3
宫颈癌中的氧化应激、炎症与抗氧化策略——一篇叙述性综述
Int J Mol Sci. 2025 May 21;26(10):4961. doi: 10.3390/ijms26104961.
4
Viral oncogenesis in cancer: from mechanisms to therapeutics.癌症中的病毒致癌作用:从机制到治疗
Signal Transduct Target Ther. 2025 May 12;10(1):151. doi: 10.1038/s41392-025-02197-9.
5
Targeting ferroptosis for precision medicine in cervical cancer.靶向铁死亡用于宫颈癌的精准医学
Apoptosis. 2025 May 7. doi: 10.1007/s10495-025-02120-1.
6
From infection to infertility: a review of the role of human papillomavirus-induced oxidative stress on reproductive health and infertility.从感染到不孕不育:人乳头瘤病毒诱导的氧化应激对生殖健康和不孕不育影响的综述
Eur J Med Res. 2025 Apr 28;30(1):339. doi: 10.1186/s40001-025-02605-4.
7
Exploring the metabolic alterations in cervical cancer induced by HPV oncoproteins: From mechanisms to therapeutic targets.探索人乳头瘤病毒癌蛋白诱导的宫颈癌代谢改变:从机制到治疗靶点
Biochim Biophys Acta Rev Cancer. 2025 Apr;1880(2):189292. doi: 10.1016/j.bbcan.2025.189292. Epub 2025 Mar 2.
8
Interplay between reactive oxygen species and ERK activation in cervical cancer cells.宫颈癌细胞中活性氧与ERK激活之间的相互作用
Front Cell Dev Biol. 2024 Nov 19;12:1465729. doi: 10.3389/fcell.2024.1465729. eCollection 2024.
9
HPV-driven heterogeneity in cervical cancer: study on the role of epithelial cells and myofibroblasts in the tumor progression based on single-cell RNA sequencing analysis.HPV 驱动的宫颈癌异质性:基于单细胞 RNA 测序分析的上皮细胞和肌成纤维细胞在肿瘤进展中作用的研究。
PeerJ. 2024 Sep 25;12:e18158. doi: 10.7717/peerj.18158. eCollection 2024.
10
Emerging paradigms: unmasking the role of oxidative stress in HPV-induced carcinogenesis.新兴范式:揭示氧化应激在人乳头瘤病毒诱导的致癌作用中的角色
Infect Agent Cancer. 2024 Jul 2;19(1):30. doi: 10.1186/s13027-024-00581-8.
Higher levels of oxidative DNA damage in cervical cells are correlated with the grade of dysplasia and HPV infection.
宫颈细胞中氧化 DNA 损伤水平的升高与异型增生程度和 HPV 感染相关。
J Med Virol. 2016 Feb;88(2):336-44. doi: 10.1002/jmv.24327. Epub 2015 Jul 21.
4
Redox control of viral carcinogenesis: The human papillomavirus paradigm.病毒致癌作用的氧化还原调控:人乳头瘤病毒范例
Biochim Biophys Acta. 2015 Aug;1850(8):1622-32. doi: 10.1016/j.bbagen.2014.12.016. Epub 2014 Dec 19.
5
Human papillomavirus type 16 E6* induces oxidative stress and DNA damage.人乳头瘤病毒 16 型 E6*诱导氧化应激和 DNA 损伤。
J Virol. 2014 Jun;88(12):6751-61. doi: 10.1128/JVI.03355-13. Epub 2014 Apr 2.
6
Deregulation of the miRNAs expression in cervical cancer: human papillomavirus implications.宫颈癌中微小RNA表达失调:人乳头瘤病毒的影响
Biomed Res Int. 2013;2013:407052. doi: 10.1155/2013/407052. Epub 2013 Dec 31.
7
Localization of HPV-18 E2 at mitochondrial membranes induces ROS release and modulates host cell metabolism.HPV-18 E2 定位于线粒体膜上诱导 ROS 释放并调节宿主细胞代谢。
PLoS One. 2013 Sep 24;8(9):e75625. doi: 10.1371/journal.pone.0075625. eCollection 2013.
8
The E1 proteins.E1 蛋白。
Virology. 2013 Oct;445(1-2):35-56. doi: 10.1016/j.virol.2013.07.020. Epub 2013 Sep 10.
9
The papillomavirus E2 proteins.乳头状瘤病毒 E2 蛋白。
Virology. 2013 Oct;445(1-2):57-79. doi: 10.1016/j.virol.2013.06.006. Epub 2013 Jul 10.
10
HPLC-based monitoring of products formed from hydroethidine-based fluorogenic probes--the ultimate approach for intra- and extracellular superoxide detection.基于高效液相色谱法监测由基于氢化乙锭的荧光探针形成的产物——细胞内和细胞外超氧化物检测的终极方法。
Biochim Biophys Acta. 2014 Feb;1840(2):739-44. doi: 10.1016/j.bbagen.2013.05.008. Epub 2013 May 10.