Suppr超能文献

竖脊肌平面阻滞可能有助于多根肋骨骨折患者脱机:两例病例报告

Erector spinae plane block may aid weaning from mechanical ventilation in patients with multiple rib fractures: Case report of two cases.

作者信息

Nandhakumar Amar, Nair Amritha, Bharath V Kiran, Kalingarayar Sriraam, Ramaswamy Balaji P, Dhatchinamoorthi D

机构信息

Department of Anaesthesia, Kovai Medical Center and Hospital, Coimbatore, Tamil Nadu, India.

出版信息

Indian J Anaesth. 2018 Feb;62(2):139-141. doi: 10.4103/ija.IJA_599_17.

Abstract

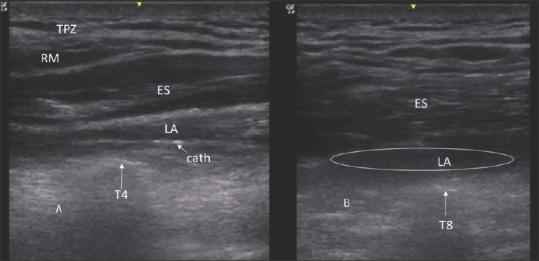
Uncontrolled pain in patients with rib fracture leads to atelectasis and impaired cough which can progress to pneumonia and respiratory failure necessitating mechanical ventilation. Of the various pain modalities, regional anaesthesia (epidural and paravertebral) is better than systemic and oral analgesics. The erector spinae plane block (ESPB) is a new modality in the armamentarium for the management of pain in multiple rib fractures, which is simple to perform and without major complications. We report a case series where ESPB helped in weaning the patients from mechanical ventilation. Further randomised controlled studies are warranted in comparing their efficacy in relation to other regional anaesthetic techniques.

摘要

肋骨骨折患者的疼痛若未得到控制,会导致肺不张和咳嗽功能受损,进而可能发展为肺炎和呼吸衰竭,需要进行机械通气。在各种疼痛治疗方式中,区域麻醉(硬膜外麻醉和椎旁麻醉)优于全身和口服镇痛药。竖脊肌平面阻滞(ESPB)是用于治疗多根肋骨骨折疼痛的一种新方法,操作简单且无重大并发症。我们报告了一组病例,其中ESPB有助于患者脱离机械通气。有必要进一步开展随机对照研究,以比较其与其他区域麻醉技术的疗效。

https://cdn.ncbi.nlm.nih.gov/pmc/blobs/3daf/5827482/5fb80503e998/IJA-62-139-g001.jpg

文献AI研究员

20分钟写一篇综述,助力文献阅读效率提升50倍。

立即体验

用中文搜PubMed

大模型驱动的PubMed中文搜索引擎

马上搜索

文档翻译

学术文献翻译模型,支持多种主流文档格式。

立即体验